Rp

Nodular Hyperplasia Liver

Nodular Hyperplasia Liver

Discovering a diagnosis of nodular hyperplasia liver can be an overwhelming experience, often filled with medical jargon and uncertainty. Understanding what this condition truly represents is the first step toward managing your health with confidence. In medical terms, Focal Nodular Hyperplasia (FNH) is a benign, non-cancerous growth of the liver. Unlike malignant tumors, it does not spread to other parts of the body, yet its presence often warrants careful medical observation to distinguish it from more serious liver conditions. For those navigating this diagnosis, knowledge serves as the most effective tool in working alongside healthcare providers to ensure the liver continues to function optimally.

Understanding Nodular Hyperplasia Liver: What It Is

The liver is an incredibly resilient organ, yet it can develop various lesions due to localized blood flow issues or developmental anomalies. Nodular hyperplasia liver occurrences typically arise from a hyperplastic response to a pre-existing vascular malformation. When the blood flow to a specific area of the liver is abnormal, the liver tissue may react by overgrowing in a non-cancerous fashion, forming a distinct nodule or mass. These growths are commonly identified during routine ultrasound or CT scans performed for entirely unrelated health concerns, making them often asymptomatic.

Most patients diagnosed with this condition fall into the category of young to middle-aged adults. Research suggests that hormonal factors, including the use of oral contraceptives, may play a role in the growth of these nodules, although they are not strictly tied to hormonal use. Because they lack the malignant potential associated with liver cancer, the primary clinical focus is on accurate diagnosis rather than immediate surgical intervention.

Common Symptoms and Clinical Presentation

One of the most defining characteristics of a nodular hyperplasia liver mass is that it is frequently asymptomatic. In many cases, these nodules are discovered as “incidentalomas,” meaning they are found by chance while the patient is being investigated for digestive issues, abdominal pain, or other non-related conditions. When symptoms do appear, they are usually mild and non-specific, which can sometimes lead to confusion with other gastrointestinal issues.

  • Mild abdominal fullness or discomfort in the upper right quadrant.
  • A palpable mass in cases where the nodule has grown significantly.
  • Generalized nausea or feelings of indigestion, though these are rarely directly caused by the nodule itself.
  • Tenderness localized to the liver area during physical examination.

Diagnostic Procedures for Liver Nodules

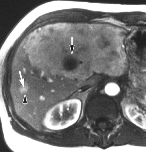
Distinguishing a benign nodular hyperplasia liver lesion from a malignant tumor requires precise diagnostic imaging. Because the texture of the growth is different from surrounding healthy liver tissue, radiologists use specific protocols to identify the classic “scar” often associated with FNH. The goal of the medical team is to avoid invasive procedures like biopsies whenever possible.

Diagnostic Tool Purpose in Diagnosis
Ultrasound Provides an initial look at the nodule; often the first step in detection.
Contrast-Enhanced MRI The gold standard for identifying the central scar and blood flow patterns.
CT Scan Useful for visualizing the nodule’s shape and its relationship to nearby vessels.
Liver Function Tests Ensures the surrounding liver tissue is healthy and functioning correctly.

💡 Note: Always consult with a hepatologist or a liver specialist to interpret imaging results, as differentiating benign nodules from adenomas or malignant masses requires specialized expertise in radiology.

Management and Monitoring Strategies

Because nodular hyperplasia liver lesions are benign, the standard management approach is usually conservative. In many instances, the medical team will recommend a “wait and see” strategy. This involves periodic monitoring through imaging tests to ensure the size and appearance of the nodule remain stable over time. Surgery is rarely the first line of defense; it is typically only considered if the mass becomes painful, grows rapidly, or presents a significant risk of rupture, which is extremely uncommon for this specific condition.

Living with this diagnosis involves focusing on general liver health. Even though the nodule is benign, the liver remains a vital organ responsible for detoxification and metabolism. Supporting your liver through healthy lifestyle choices can improve overall well-being:

  • Maintain a balanced, nutrient-dense diet to reduce metabolic load on the liver.
  • Limit alcohol consumption, as it places additional stress on liver cells.
  • Stay hydrated to assist the liver in its natural filtering processes.
  • Consult your doctor regarding any new medications or herbal supplements to ensure they do not interact poorly with liver function.

💡 Note: While these lifestyle tips support liver health, they do not cause the nodule to disappear; they are strictly for supporting the organ's overall capacity to function effectively.

Also read: Plastic Surgery For Men Face

Addressing Potential Complications

While the risk of complications is exceedingly low, patients often worry about the potential for growth. It is important to remember that FNH nodules do not undergo malignant transformation. They do not turn into cancer. The primary concerns, if any, are related to the physical size of the mass and whether it puts pressure on surrounding organs. If the nodule is large, it may cause mechanical discomfort, but this is usually addressed through elective discussions with a surgical team rather than emergency measures.

Regular check-ups serve as a preventive measure. By tracking the growth through imaging, physicians can intervene early if they notice any unusual changes. This proactive communication with your healthcare provider ensures that you are never left guessing about the status of your condition.

Final Perspectives on Health Maintenance

Navigating a diagnosis of nodular hyperplasia liver requires a balanced approach of vigilance and peace of mind. Since these lesions are benign and typically do not pose a threat of malignancy, the condition is often manageable with minimal disruption to your daily life. The emphasis should always remain on routine monitoring and maintaining a liver-friendly lifestyle. By keeping regular appointments with your medical team, staying informed about your test results, and fostering open dialogue with your doctor, you can effectively monitor your liver health. Remember that most individuals with this diagnosis live full, active lives, and with appropriate clinical oversight, the presence of such a nodule becomes a manageable aspect of your overall health profile rather than a central concern.

Related Terms:

  • focal nodular hyperplasia of liver
  • focal nodular hyperplasia liver ultrasound
  • focal nodular hyperplasia liver pathology
  • nodular hyperplasia liver dog
  • treatment for focal nodular hyperplasia
  • nodular hyperplasia liver icd 10