Cleve

Non Compaction Cardiomyopathy

Non Compaction Cardiomyopathy

Non Compaction Cardiomyopathy (NCCM) is a relatively rare and complex genetic heart condition that affects the structure of the heart muscle. In a healthy heart, the cardiac muscle tissue develops in a dense, compact fashion before birth. However, in individuals with NCCM, this process is interrupted, leading to the development of a spongy, mesh-like network of muscle fibers in the lower chambers of the heart, known as the ventricles. This distinct structural abnormality can significantly impair the heart's ability to pump blood efficiently, potentially leading to a range of cardiovascular complications.

Understanding the Pathology of Non Compaction Cardiomyopathy

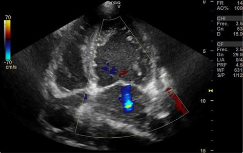
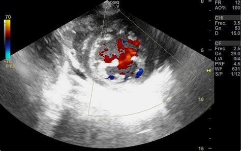
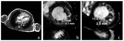
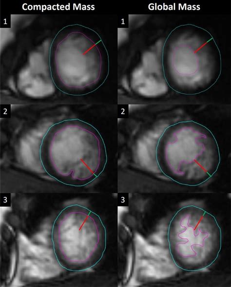
To better understand Non Compaction Cardiomyopathy, it is helpful to visualize the heart's anatomy. Typically, the heart walls are smooth and dense. In patients with NCCM, the myocardium (the heart muscle) remains thin and features excessive trabeculations—small, finger-like projections—and deep inter-trabecular recesses. These structural flaws create a "spongy" appearance when viewed through imaging techniques.

Because the myocardium is abnormally formed, it may not contract with the necessary force to circulate blood effectively. This can lead to:

  • Reduced Cardiac Output: The heart struggles to meet the body's metabolic demands.
  • Arrhythmias: Disruption in electrical signals caused by the irregular muscle structure.
  • Thromboembolic Events: Blood may pool in the deep recesses of the ventricles, increasing the risk of blood clots forming.

Common Symptoms and Clinical Presentation

The clinical presentation of Non Compaction Cardiomyopathy is highly variable. Some individuals may be completely asymptomatic for years, while others may experience severe, life-threatening symptoms early in life. Common indicators include:

  • Fatigue and Exercise Intolerance: A feeling of being unusually tired, even with minimal physical exertion.
  • Dyspnea: Shortness of breath, particularly during physical activity or when lying flat.
  • Palpitations: Sensations of a racing, fluttering, or irregular heartbeat.
  • Syncope: Fainting spells, which may indicate serious electrical issues in the heart.
  • Edema: Swelling in the legs, ankles, or feet due to fluid retention.

⚠️ Note: Symptoms of this condition can often mimic those of other heart ailments. If you experience persistent chest pain, severe shortness of breath, or unexplained fainting, seek immediate medical evaluation.

Diagnosing the Condition

Diagnosing Non Compaction Cardiomyopathy primarily involves advanced cardiac imaging. Physicians utilize specific diagnostic criteria to differentiate NCCM from a normal heart that may just have prominent, yet healthy, trabeculations.

Diagnostic Tool Purpose in Evaluation
Echocardiogram The first-line imaging test to visualize structure and blood flow.
Cardiac MRI Considered the gold standard for accurately measuring myocardial thickness.
Electrocardiogram (ECG) Used to monitor electrical activity and identify arrhythmias.
Genetic Testing Helps identify underlying hereditary mutations associated with the condition.

Managing and Treating NCCM

There is currently no cure for Non Compaction Cardiomyopathy; however, treatment strategies are highly effective at managing symptoms and reducing the risk of complications. Management is usually tailored to the individual’s specific clinical status and may include a combination of medication and medical devices.

Medication Therapy

Physicians often prescribe medications to support heart function and prevent clotting, such as:

  • Beta-blockers: To help control heart rate and blood pressure.
  • ACE Inhibitors or ARBs: To reduce the workload on the heart.
  • Diuretics: To manage fluid buildup and decrease swelling.
  • Anticoagulants: Specifically used for patients at a high risk of developing blood clots.

Implantable Devices

For patients who are at a high risk of dangerous arrhythmias, cardiologists may recommend an Implantable Cardioverter Defibrillator (ICD). This device continuously monitors the heart’s rhythm and can deliver a life-saving shock if it detects a dangerous, rapid heartbeat.

Living with Non Compaction Cardiomyopathy

Living with a diagnosis of Non Compaction Cardiomyopathy requires proactive health management. While the diagnosis can be daunting, many patients live full, productive lives with proper medical supervision. Key lifestyle modifications often include:

  • Adherence to Medication: Consistency is vital for managing symptoms and preventing progression.
  • Heart-Healthy Diet: Reducing sodium intake helps manage fluid retention and blood pressure.
  • Activity Modification: While light exercise is often encouraged, patients should consult their cardiologist regarding intensity levels to avoid excessive strain on the heart.
  • Regular Follow-ups: Ongoing monitoring through echocardiograms or MRIs is essential to track any changes in heart structure or function.

💡 Note: Family screening is strongly recommended, as NCCM is frequently genetic. First-degree relatives of a diagnosed patient should undergo cardiac evaluation to ensure early detection.

Research and Future Outlook

The medical community continues to make significant strides in understanding the genetic basis of Non Compaction Cardiomyopathy. Research into gene editing and personalized medicine offers hope for more targeted therapies in the future. By identifying specific genetic markers, clinicians hope to better predict the clinical course of the disease and implement preventative care strategies earlier in the patient’s life. Increased awareness and the refinement of diagnostic imaging criteria have also led to earlier detection, allowing for intervention before the disease reaches an advanced stage.

Navigating the complexities of this condition underscores the importance of a multidisciplinary approach, often involving cardiologists, electrophysiologists, and genetic counselors. By combining standardized clinical care with the latest research advancements, patients can effectively manage their symptoms and maintain a good quality of life. Understanding the nuances of this heart condition remains the first step toward effective management and ensuring that those affected receive the specialized care they need throughout their journey.

Related Terms:

  • icd 10 non compaction cardiomyopathy
  • non compaction cardiomyopathy criteria
  • non compaction cardiomyopathy radiopaedia
  • non compaction cardiomyopathy echo criteria
  • non compaction cardiomyopathy radiology
  • non compaction cardiomyopathy echo