Rp

Normal Aorta Diameter

Normal Aorta Diameter

The aorta is the body’s largest artery, acting as the primary highway for oxygenated blood as it travels from the heart to the rest of the body. Because it is under constant pressure from the heart’s rhythmic contractions, maintaining its structural integrity is vital for long-term cardiovascular health. One of the most critical metrics physicians use to assess the health of this vessel is the Normal Aorta Diameter. Understanding what constitutes a normal measurement versus an abnormal one is essential for early detection of potentially life-threatening conditions, such as aortic aneurysms or dissections.

Understanding the Anatomy and Function of the Aorta

Medical illustration of the human heart and aorta

The aorta originates from the left ventricle of the heart and travels through the chest (thoracic aorta) and into the abdomen (abdominal aorta). Along its path, it provides vital branches to the brain, arms, kidneys, and digestive organs. Because the vessel tapers as it moves further away from the heart, the Normal Aorta Diameter is not a single universal number; rather, it varies depending on the anatomical segment being measured.

Physicians generally categorize the aorta into four distinct zones for diagnostic purposes:

  • Aortic Root: The segment attached to the heart valve.
  • Ascending Aorta: The portion rising upward from the heart.
  • Descending Thoracic Aorta: The portion traveling down through the chest.
  • Abdominal Aorta: The terminal portion located below the diaphragm.

Factors that naturally influence the size of a healthy aorta include age, biological sex, body surface area (BSA), and blood pressure history. Consequently, what is considered a normal measurement for a tall male may be different from that of a smaller-statured female.

Diagnostic Guidelines for Normal Aorta Diameter

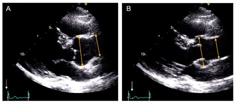
Determining the Normal Aorta Diameter is typically done using non-invasive imaging technologies like Echocardiography, Computed Tomography (CT) scans, or Magnetic Resonance Imaging (MRI). Generally, a measurement in the abdominal aorta that exceeds 3.0 cm is considered the upper limit of normal, whereas anything above 5.0 cm in the thoracic region often triggers clinical concern.

Aortic Segment Estimated Normal Range (Adults)
Aortic Root 2.5 – 3.7 cm
Ascending Aorta 2.5 – 3.5 cm
Descending Thoracic Aorta 2.0 – 2.5 cm
Abdominal Aorta 1.5 – 2.0 cm

⚠️ Note: These values serve as general clinical guidelines. Individual medical history, genetic predispositions, and underlying connective tissue disorders can influence what is considered a healthy baseline for a specific patient.

Risk Factors Influencing Aortic Dilation

While the Normal Aorta Diameter remains stable for most of the adult population, certain factors can cause the vessel to weaken and dilate over time. Aortic dilation occurs when the wall of the vessel loses its elasticity, potentially leading to an aneurysm. Several key drivers contribute to this process:

  • Chronic Hypertension: High blood pressure forces the aortic wall to stretch constantly, leading to structural fatigue.
  • Atherosclerosis: The buildup of plaque can harden the arterial walls, reducing their ability to pulse and expand correctly.
  • Genetic Conditions: Disorders like Marfan syndrome or Ehlers-Danlos syndrome impact the connective tissues of the aorta, making them prone to enlargement regardless of age.
  • Smoking: Tobacco use is strongly linked to the degradation of elastin in the aortic wall, significantly increasing the risk of abdominal aortic aneurysms.
  • Age and Gender: Men over the age of 65 are statistically more prone to aortic enlargement than women.

Monitoring and Maintaining Vascular Health

Routine screenings are the most effective way to monitor changes in the Normal Aorta Diameter, especially for individuals with a family history of aortic disease. When doctors perform an ultrasound or CT scan, they are looking for "ectasia" or "dilation"—a sign that the vessel is beginning to widen beyond its physiological threshold.

Maintaining a healthy aorta often mirrors general heart-healthy lifestyle choices. If you are focused on keeping your cardiovascular system in optimal shape, consider the following strategies:

  • Blood Pressure Management: Keeping your blood pressure in a healthy range is the single most important factor in preventing aortic stress.
  • Regular Physical Activity: Moderate aerobic exercise supports vascular elasticity.
  • Dietary Choices: Reducing salt intake and limiting cholesterol-rich foods helps prevent the progression of atherosclerosis.
  • Regular Check-ups: If you are over 60 or have known risk factors, consult your doctor about whether an abdominal ultrasound screening is appropriate for you.

ℹ️ Note: If an imaging report shows a diameter at the high end of the normal range, do not panic. Physicians often use "serial monitoring," which involves re-scanning the aorta every 6 to 12 months to observe if the size remains stable or if it is actively progressing.

The Importance of Early Detection

Because aortic conditions are often "silent"—meaning they rarely present symptoms until a significant event occurs—understanding the baseline Normal Aorta Diameter is vital. Small changes in diameter are often manageable through medication, such as beta-blockers, which reduce the pressure exerted on the aortic wall. Conversely, identifying significant dilation early allows surgeons to intervene with minimally invasive endovascular repair (EVAR) or open surgery before an emergency rupture occurs.

The health of your aorta is a direct reflection of your long-term cardiovascular vitality. By keeping track of your blood pressure, avoiding smoking, and staying informed about the typical metrics for your demographic, you can play an active role in preventing vascular complications. Always consult with a cardiologist or vascular specialist to interpret your imaging results, as they have the expertise to consider your unique biological markers beyond just the raw numbers on a report. Being proactive with your heart health today ensures that your primary blood vessel remains strong for years to come.

Related Terms:

  • normal proximal aorta diameter
  • aorta size chart by age
  • normal aortic dimensions
  • aorta size chart
  • normal aorta size by age
  • ascending aorta size chart