Rp

Normal Appendix Size

Normal Appendix Size

Understanding the anatomy and health of your digestive system often leads to questions about specific organs, particularly when concerns about abdominal pain arise. One of the most common topics clinicians and patients discuss is the normal appendix size. While often forgotten until it causes discomfort, the appendix is a small, tube-like structure attached to the large intestine. Knowing what constitutes a typical measurement can be incredibly helpful for doctors when evaluating abdominal scans, such as ultrasound or CT images, to determine if the organ is healthy or inflamed.

What is the Appendix and Why Does Size Matter?

The appendix is a small, pouch-like structure located at the junction of the small and large intestines, specifically in the lower right abdomen. In many medical contexts, it is considered a vestigial organ, meaning it has lost most of its original evolutionary function. However, recent studies suggest it may play a role in housing beneficial gut bacteria, acting as a reservoir to reboot the digestive system after illness.

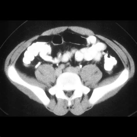
When patients present with abdominal pain—particularly in the lower right quadrant—medical professionals must quickly determine if the appendix is inflamed, a condition known as appendicitis. The primary diagnostic tool used in this process is imaging (ultrasound, CT scan, or MRI). By measuring the normal appendix size against current imaging, radiologists can identify inflammation, as an inflamed appendix will almost always appear enlarged due to swelling and fluid accumulation.

Defining Normal Appendix Size

In medical imaging, radiologists generally rely on a specific diameter measurement to distinguish between a healthy appendix and one that is pathological. While anatomical variations exist among individuals, consensus in medical literature provides a clear guideline for what is considered within the normal range.

Typically, a normal appendix size is defined by a maximum outer diameter of 6 millimeters or less when measured on a cross-sectional image. If the diameter measures above 6 millimeters, clinicians become concerned about potential appendicitis, especially if other clinical symptoms are present.

It is important to note that size alone is not the only diagnostic criterion. Radiologists look for several secondary signs to confirm a diagnosis, including:

  • Wall thickening: Whether the walls of the appendix appear thicker than normal.
  • Fat stranding: Increased density in the surrounding fatty tissue, indicating inflammation.
  • Fluid presence: The presence of free fluid around the appendix.
  • Appendicolith: A calcified stone-like deposit within the appendix.

Quick Reference: Diagnostic Size Indicators

Diameter (Outer) Clinical Interpretation
≤ 6 mm Generally considered within the normal appendix size range.
> 6 mm Suspicious for inflammation (appendicitis) when combined with other symptoms.

⚠️ Note: These measurements are general guidelines. A measurement slightly over 6mm does not automatically guarantee appendicitis, just as a measurement under 6mm does not completely rule it out without clinical context. Always consult a healthcare professional for imaging interpretation.

Factors Influencing Measurement and Diagnosis

While the 6-millimeter threshold is a standardized benchmark, interpreting imaging is not always straightforward. Several factors can influence how the appendix appears on a scan, potentially leading to misinterpretation if not accounted for by a trained radiologist.

First, the imaging modality plays a significant role. CT scans are generally considered the gold standard for visualizing the appendix because they provide high-resolution, cross-sectional views. Ultrasounds are often used, especially in children or pregnant individuals to avoid radiation, but they can be limited by bowel gas or the patient's body habitus, making it harder to obtain an accurate measurement of the normal appendix size.

Furthermore, the physiological state of the appendix matters. If the appendix is not fully distended or if it is collapsed, it may measure differently. However, an inflamed appendix is typically filled with fluid, causing it to become rigid and distended, which actually makes it easier to measure compared to a normal, collapsed, or gas-filled appendix that may be difficult to visualize entirely.

Clinical Symptoms of Appendicitis

Because the normal appendix size is relatively small and can be difficult to locate on imaging when healthy, doctors rely heavily on clinical presentation. If you or someone you know is experiencing symptoms, do not wait for imaging alone to seek help.

Typical warning signs of appendicitis include:

  • Dull pain near the navel or upper abdomen that becomes sharp as it moves to the lower right abdomen.
  • Loss of appetite.
  • Nausea and vomiting shortly after abdominal pain begins.
  • Abdominal swelling.
  • Fever that may increase as the illness progresses.
  • Inability to pass gas.

If you experience sharp pain that intensifies when coughing, walking, or making jarring movements, seek emergency medical care immediately, as this may indicate a ruptured appendix.

ℹ️ Note: If you have been told your appendix appears enlarged, the doctor will likely perform a physical examination to check for tenderness, rebound tenderness, and rigidity in the lower right abdomen to confirm the diagnosis.

Frequently Asked Questions

Many patients wonder if the appendix can be larger than 6 millimeters without being infected. In some cases, a naturally larger appendix—sometimes called a "mega-appendix"—may be discovered, though this is rare. If the patient is asymptomatic, the radiologist may categorize this as an anatomical variant rather than a pathological condition.

Another common question is whether the appendix can be seen on every scan. Surprisingly, no. Because the appendix is small and its position in the abdomen can vary significantly, it is not uncommon for it to be "not visualized" on a standard CT scan. If the patient has no symptoms of appendicitis, a non-visualized appendix is typically considered a normal finding.

Understanding these nuances helps demystify medical reports. When a radiologist notes that the appendix is "not visualized" or is "within normal appendix size limits," it is generally reassuring news, provided the patient is not experiencing acute pain or other indicative symptoms.

In summary, the normal appendix size is widely accepted in the medical community to be an outer diameter of 6 millimeters or less. While this measurement is a crucial diagnostic tool for clinicians using CT scans or ultrasounds to identify inflammation, it is only one piece of the puzzle. An accurate diagnosis of appendicitis requires balancing these imaging metrics with a physical examination, the presence of specific symptoms, and laboratory blood tests. If you are experiencing concerning abdominal pain, especially in the lower right area, it is imperative to seek professional medical evaluation immediately rather than attempting to interpret imaging reports on your own. Understanding these anatomical benchmarks allows for better communication with your healthcare provider and a clearer understanding of your diagnostic journey.

Related Terms:

  • appendicitis diameter
  • normal appendix size pediatric
  • normal appendix size child
  • normal appendix size in children
  • normal appendix size radiopaedia
  • normal appendix size ct