Rp

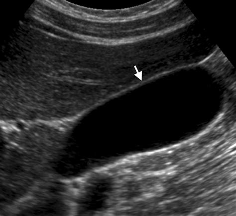
Normal Gallbladder Wall Thickness

Normal Gallbladder Wall Thickness

Understanding the anatomical health of your internal organs is a fundamental aspect of preventive medicine, and the gallbladder is no exception. Often overlooked until discomfort arises, this small organ plays a significant role in your digestive system by storing bile. One of the most critical metrics radiologists and physicians use to assess gallbladder health during diagnostic imaging is the normal gallbladder wall thickness. When this measurement falls outside the typical range, it serves as an early indicator that something may be wrong, ranging from simple inflammation to more complex medical conditions.

What is the Normal Gallbladder Wall Thickness?

In clinical practice, the standard threshold used to define a normal gallbladder wall thickness is 3 millimeters (mm) or less. When a patient undergoes an ultrasound—the gold standard for evaluating this organ—the radiologist measures the wall when the gallbladder is in a distended state (filled with bile). If the wall appears thicker than 3 mm, it is clinically described as "gallbladder wall thickening."

It is important to understand that while 3 mm is the widely accepted cutoff, individual physiological variations exist. However, a thickness consistently exceeding this limit often triggers further clinical investigation to determine the underlying cause. Measuring the wall accurately is crucial because an thickened wall is often the first visual evidence of cholecystitis (inflammation) or other underlying pathologies.

Diagnostic Imaging and Measurement Accuracy

Ultrasound is the preferred method for measuring gallbladder wall thickness due to its accessibility, safety (no radiation), and high sensitivity for detecting abnormalities. When a technician performs the scan, they look for specific criteria to ensure the measurement is valid.

  • Distension: The measurement is most accurate when the gallbladder is full. A collapsed or partially filled gallbladder can create a false appearance of thickening.
  • Positioning: The measurement is typically taken at the anterior wall, perpendicular to the ultrasound beam, to avoid artificial elongation or distortion.
  • Equipment: High-frequency transducers are used to provide the clearest visualization of the layered wall structure.

If the ultrasound results show a wall thickness significantly greater than the normal gallbladder wall thickness, the clinician will correlate this finding with the patient's symptoms, medical history, and blood work, such as liver function tests or white blood cell counts.

Causes of Gallbladder Wall Thickening

While a thick gallbladder wall is a common finding, it is not a specific diagnosis in itself; it is a clinical sign that something is impacting the organ. The causes are generally divided into intrinsic (related to the gallbladder itself) and extrinsic (related to surrounding organs or systemic conditions).

Intrinsic Causes:

  • Acute Cholecystitis: The most frequent cause, usually resulting from a gallstone blocking the cystic duct.
  • Chronic Cholecystitis: Repeated episodes of inflammation leading to fibrosis and structural changes in the wall.
  • Adenomyomatosis: A benign condition characterized by the overgrowth of the gallbladder mucosa.
  • Gallbladder Carcinoma: A rare but serious condition that requires immediate differentiation from benign thickening.

Extrinsic Causes:

  • Hepatitis: Inflammatory processes in the liver can secondarily affect the gallbladder.
  • Heart Failure: Congestive heart failure can lead to venous congestion and localized edema.
  • Hypoalbuminemia: Low levels of albumin in the blood, often due to liver or kidney disease, can cause generalized edema, including the gallbladder wall.
  • Pancreatitis: Inflammation of the nearby pancreas can affect the gallbladder through proximity.

Comparing Gallbladder Findings

The following table provides a quick reference guide to help understand how measurements are interpreted in a clinical setting:

Thickness Measurement Clinical Interpretation
< 3 mm Within normal range; likely healthy.
3 mm - 4 mm Borderline; often requires clinical correlation.
> 4 mm Typically considered significant thickening.

⚠️ Note: Always consult with a healthcare professional or radiologist to interpret your specific ultrasound results, as measurements must be considered in the context of your overall health and clinical symptoms.

When Should You Seek Medical Attention?

It is rarely the case that someone discovers their gallbladder wall thickness incidentally without having any symptoms. However, understanding when to see a doctor is vital. If you experience symptoms related to the gallbladder, an ultrasound is usually ordered to measure the wall thickness to confirm or rule out inflammation.

Common symptoms that often lead to a diagnostic scan include:

  • Severe pain in the upper right abdomen or center of the abdomen.
  • Pain that radiates to the right shoulder or back.
  • Nausea and vomiting.
  • Fever and chills, which may indicate an infection.
  • Jaundice (yellowing of the skin or eyes).

If these symptoms are present alongside an imaging finding of a wall thickness greater than the normal gallbladder wall thickness, it strongly supports a diagnosis of cholecystitis. In such cases, the treatment plan may involve dietary changes, pain management, or, in many cases, a cholecystectomy (surgical removal of the gallbladder).

The Role of Follow-Up Imaging

In cases where the gallbladder wall is slightly thicker than normal but the patient is asymptomatic, doctors might recommend "watchful waiting" or a follow-up ultrasound after a few months. This is to determine if the thickening is a transient inflammatory response or a chronic condition. For individuals with underlying systemic conditions like heart failure or liver disease, the gallbladder wall thickness is monitored as part of the overall management of their primary condition.

For benign conditions like adenomyomatosis, doctors monitor for any changes in the pattern of the wall, such as the development of specific markers like comet-tail artifacts, which help distinguish benign findings from more concerning processes. Advances in imaging, such as CT scans and MRI/MRCP, are often utilized if the ultrasound results are inconclusive or if the physician suspects pathology outside the gallbladder that might be affecting it.

ℹ️ Note: Lifestyle factors, such as maintaining a healthy weight and following a balanced, low-fat diet, can help reduce the workload on your gallbladder and lower the risk of developing conditions that cause wall thickening.

Final Thoughts

Monitoring the health of your digestive organs is a proactive step toward long-term wellness. The normal gallbladder wall thickness of 3 mm or less serves as a key benchmark for medical professionals when evaluating abdominal pain or suspected digestive dysfunction. While a thickened gallbladder wall is an important finding, it is essential to remember that it represents a clinical symptom rather than a disease on its own. When identified through diagnostic imaging, it allows healthcare providers to identify the root cause, whether it be inflammation, systemic disease, or other issues, and implement an effective treatment strategy. By focusing on early detection and maintaining open communication with your medical team, you can manage gallbladder health effectively and ensure any necessary interventions are timely and appropriate.

Related Terms:

  • normal gallbladder wall thickness us
  • normal common bile duct size
  • gallbladder wall thickness for cholecystitis
  • normal cbd wall thickness
  • is gallbladder wall thickening dangerous
  • normal gallbladder size