Cleve

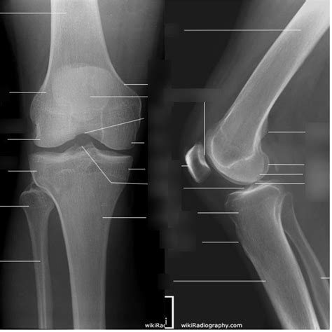
Normal Knee Xray

Normal Knee Xray

When you experience persistent knee pain, stiffness, or after a sudden injury, your primary care physician or orthopedist will often recommend imaging studies to determine the root cause. One of the first diagnostic tools utilized in clinical practice is a normal knee xray. While the term "normal" might sound dismissive if you are currently in pain, in the world of radiology, it is a crucial piece of information. It signifies that your bone structure, alignment, and joint space do not show immediate signs of fracture, severe dislocation, or advanced degenerative disease. Understanding what this medical imaging report actually means can help you navigate your treatment plan more effectively.

What Does a Normal Knee Xray Look Like?

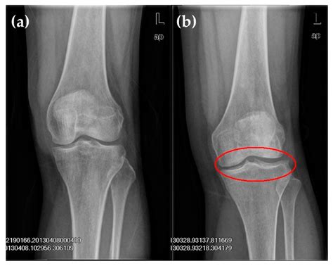
Radiology imaging of a knee

A radiologist interprets a knee X-ray by looking at several key anatomical landmarks. When a report comes back as a normal knee xray, it means the technician and radiologist have observed the following components as being within standard clinical limits:

  • Bone Integrity: There are no visible breaks, hairline fractures, or bony abnormalities.
  • Joint Space: The gap between the femur (thigh bone) and the tibia (shin bone) is symmetrical and maintained, which suggests that the articular cartilage has not significantly eroded.
  • Alignment: The bones are in their proper anatomical position, indicating there are no major dislocations or congenital malalignments.
  • Soft Tissue Shadows: While X-rays are primarily for bones, they can sometimes show swelling or fluid accumulation (effusion) around the knee joint.

Because X-rays primarily capture dense tissue, a "normal" result confirms that the structural framework of your knee is intact. This is excellent news if you were concerned about a broken bone or severe bone deformity.

Understanding the Limitations of X-ray Imaging

It is important to manage expectations regarding medical imaging. Many patients are surprised when they continue to feel pain despite receiving a result indicating a normal knee xray. This is because standard X-rays have clear limitations in what they can visualize. Most soft tissue injuries, which are among the most common causes of knee pain, are essentially invisible on a standard radiograph.

If you have suffered a soft tissue injury, you might experience pain and mobility issues that do not show up on an X-ray. These include:

Condition Visibility on X-ray
ACL or PCL Tear Not visible
Meniscus Injury Not visible
Tendonitis Not visible (only severe calcification)
Bone Fracture Highly visible
Severe Arthritis Visible (loss of joint space)

⚠️ Note: If your pain persists despite a clear X-ray, your physician may order an MRI (Magnetic Resonance Imaging), which provides detailed views of ligaments, tendons, and cartilage.

Common Causes of Knee Pain with a Normal X-ray

If your X-ray is clean, it does not mean your pain is "in your head." It simply means the issue likely resides in the soft tissues or is related to mechanical function. Common culprits include:

  • Ligament Sprains: The ACL, PCL, MCL, or LCL may be strained, which causes inflammation and pain.
  • Meniscal Tears: Small tears in the cartilage padding that acts as a shock absorber for the knee.
  • Patellofemoral Pain Syndrome: Often called "runner's knee," this involves irritation where the kneecap rests against the thigh bone.
  • Bursitis: Inflammation of the small, fluid-filled sacs that cushion the outside of your knee joint.
  • Overuse Injuries: Repetitive motion can lead to tendon inflammation (tendonitis) that doesn't affect bone density.

Next Steps After a Normal Diagnosis

Receiving a normal knee xray result is actually a productive step in the diagnostic process. It allows your healthcare provider to rule out high-acuity bone issues like fractures or bone tumors. Once these are eliminated, your doctor can focus on a functional assessment. This often involves:

  • Physical Examination: Checking for range of motion, stability tests (like the Lachman test for ACL), and palpating for tender points.
  • Physical Therapy: Often the gold standard for soft tissue injuries, focusing on strengthening the quadriceps, hamstrings, and glutes to better support the joint.
  • Anti-inflammatory Management: Using medication or icing protocols to reduce swelling.
  • Advanced Imaging: If physical tests suggest a ligament or meniscal tear, your doctor will proceed to an MRI to visualize the soft tissues.

💡 Note: Always keep a copy of your radiology report. Even if it is considered normal, it serves as a baseline comparison should you experience future knee issues.

The Importance of Ongoing Monitoring

Even if an X-ray shows your knee is structurally sound today, it does not prevent future issues. Preventive care is essential for maintaining joint health. This includes maintaining a healthy weight, which significantly reduces the mechanical load on the knee joints, and incorporating low-impact exercises like swimming or cycling into your weekly routine. By focusing on muscular endurance, you can protect your knee from injuries that might not be visible on a basic scan but can significantly impact your quality of life.

Navigating the path to pain relief can be frustrating, especially when diagnostic tests return a clean bill of health. Remember that a normal knee xray is a positive milestone; it confirms your bones are stable and healthy, allowing you and your medical team to pivot toward treatments that address muscles, tendons, and ligaments. If your knee pain continues, be persistent in describing your symptoms and asking about functional physical therapy or specialized imaging to ensure you get to the bottom of the discomfort. With the right clinical approach, you can successfully address the underlying cause of your pain and return to your daily activities with confidence.

Related Terms:

  • knee x rays abnormalities
  • normal knee x rays female
  • normal knee xray series
  • normal knee x ray symptoms
  • knee replacement x ray
  • typical knee xray