Receiving a letter stating that your mammogram results are normal brings a significant sense of relief for many women. Understanding what constitutes normal mammogram images is a crucial part of breast health awareness. A mammogram is a specialized medical imaging technique that uses low-dose X-rays to create detailed pictures of the breast tissue. When radiologists review these images, they are looking for specific patterns of tissue density, calcifications, or structural changes. By familiarizing yourself with what is considered standard, you can approach your annual screenings with confidence and clarity regarding your breast health.
What Exactly Are Normal Mammogram Images?
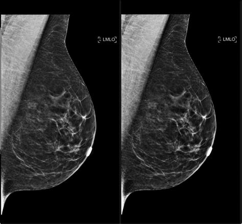
When a radiologist analyzes your scans, they are assessing the appearance of your breast tissue to ensure there are no signs of malignancy. Normal mammogram images typically display a balanced composition of fatty tissue, glandular tissue, and fibrous connective tissue. Because every woman’s breast density is unique, these images do not look identical for everyone; however, a "normal" result means the radiologist has not identified any suspicious masses, architectural distortions, or unusual clusters of microcalcifications that would necessitate further investigation.
Radiologists look for consistency and symmetry between the left and right breasts. While minor asymmetries are common, a significant change in the pattern of your tissue over time is what prompts a "call-back" for further testing. Essentially, normal results indicate that the internal anatomy of your breast appears healthy and consistent with your medical history and age-related tissue changes.

The Role of Breast Density in Mammography
One of the most important factors influencing the appearance of your scan is breast density. Dense breast tissue contains more fibrous and glandular tissue compared to fatty tissue. On a mammogram, fatty tissue appears dark and transparent, while dense tissue appears white and opaque. This is why understanding density is vital when viewing normal mammogram images:
- Fatty Breasts: These are easier to read because masses stand out clearly against the dark background.
- Scattered Fibroglandular Densities: This is a very common classification where most of the tissue is fatty but with some scattered areas of density.
- Heterogeneously Dense: This tissue can make it harder to see small masses, as the white density can "mask" potential concerns.
- Extremely Dense: This classification presents the highest challenge for standard imaging, sometimes requiring additional screening like ultrasound or MRI.
💡 Note: Having dense breast tissue is very common and is not an indicator of cancer, but it does make the detection of abnormalities more challenging for radiologists.
What Radiologists Look For During Screening
Beyond density, the radiologist evaluates the images for specific markers of health. A normal report confirms the absence of specific findings that might require follow-up. The following table illustrates what the radiologist is screening for in a standard examination:
| Finding Type | Description in Normal Results |
|---|---|
| Masses or Lumps | None detected; no abnormal shadows identified. |
| Calcifications | None present, or only benign, scattered, large-sized calcifications. |
| Architectural Distortion | Tissue patterns appear natural and consistent with prior exams. |
| Asymmetry | No significant difference in tissue patterns between left and right. |
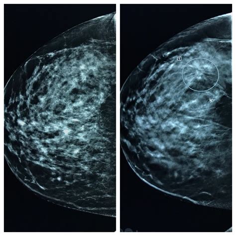
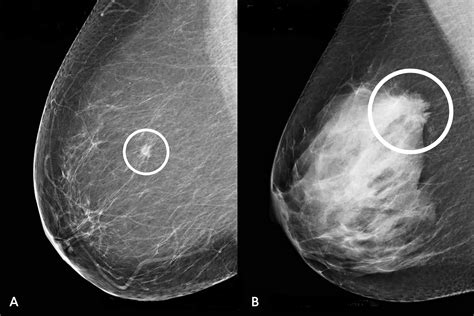
Why Follow-Up Imaging May Still Be Recommended
It is important not to panic if you are asked to return for additional images. Even if your normal mammogram images were overall clear, a radiologist might request a "diagnostic mammogram" or an ultrasound if they see something that is not clearly benign but is likely harmless. This often happens because:
- The initial images were blurry or had movement artifact.
- There was a small area of overlapping tissue that looked suspicious but was actually just normal anatomy.
- You have a new baseline, and the radiologist wants a more detailed view of a specific area to be absolutely sure.
Diagnostic imaging acts as a safety net, ensuring that you receive the most accurate diagnosis possible. Most call-backs do not result in a diagnosis of cancer; rather, they serve as a way for the medical team to get a better look at healthy, albeit complex, breast structures.
⚠️ Note: Always keep your previous mammogram records or know which facility performed them. Radiologists compare your current images to your older ones to spot subtle changes, which is far more effective than looking at one scan in isolation.
Maintaining Regular Screening Schedules
The frequency of your mammograms is just as important as the results themselves. Because normal mammogram images provide a snapshot of your health at a single point in time, regular screenings allow for the monitoring of trends. Yearly or biennial screenings help identify changes that occur slowly over time. If you have a family history of breast cancer or other risk factors, your doctor might recommend starting screenings earlier or increasing the frequency of your appointments.
Staying consistent with your screening schedule ensures that any potential issues are detected at the earliest, most treatable stage. When you view your mammogram as a proactive wellness tool rather than a scary medical procedure, you take an active role in maintaining your long-term health. Remember that the goal of these images is to provide peace of mind and confirm that your breast tissue remains in a stable and healthy state.
Understanding the components of a healthy breast screening empowers you to take control of your health journey. By grasping the significance of tissue density, the importance of historical comparisons, and the reality behind follow-up appointments, you can navigate the mammography process with greater ease. While the primary goal of these screenings is to provide a clear bill of health, remaining informed about how these images are interpreted ensures you are well-prepared for any outcome. Maintaining a consistent screening schedule remains the best strategy for early detection and peace of mind, proving that regular check-ups are a fundamental pillar of lifelong well-being.
Related Terms:
- white spot on breast mammogram
- mammogram vs ultrasound breast
- is a mammogram an ultrasound
- mammogram showing breast cancer image
- mammogram vs ultrasound
- are ultrasounds better than mammograms