Cleve

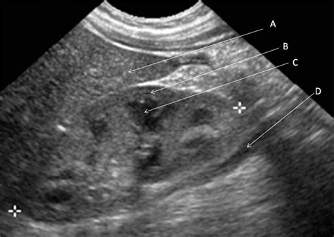
Normal Ultrasound Of Kidneys

Normal Ultrasound Of Kidneys

Receiving medical test results can often be a source of anxiety, particularly when it comes to vital organs like the kidneys. When a physician orders an imaging study, one of the most common findings patients hope to hear is a Normal Ultrasound Of Kidneys. An ultrasound is a non-invasive, radiation-free diagnostic tool that provides a real-time window into the structure of your urinary system. Understanding what this report actually means and how the imaging process works can provide immense peace of mind and clarify your next steps in maintaining long-term health.

Understanding the Role of Kidney Ultrasound

A kidney ultrasound, or sonography, uses high-frequency sound waves to create images of the kidneys, ureters, and bladder. It is frequently the first line of investigation for clinicians because it is safe, widely available, and highly effective at identifying structural abnormalities. When a radiologist reviews the images, they are looking for specific markers that indicate health versus disease.

When you receive a report stating you have a Normal Ultrasound Of Kidneys, it means that the radiologist has evaluated several specific parameters and found them to be within expected clinical ranges. The kidneys are evaluated for their size, shape, position, and internal architecture. If these elements match the standard anatomical profile for a healthy adult, the organ is considered functioning structurally as intended.

Primary areas examined during the scan include:

  • Cortical Echogenicity: The brightness of the outer layer of the kidney.
  • Corticomedullary Differentiation: The clear visual distinction between the outer cortex and the inner medulla.
  • Size and Dimensions: Ensuring the kidneys are not too small (atrophied) or abnormally enlarged.
  • Presence of Hydronephrosis: Checking for swelling caused by a backup of urine.
  • Masses or Cysts: Looking for abnormal growths, tumors, or fluid-filled sacs.

💡 Note: A normal ultrasound finding specifically refers to the structure of the kidney. It does not always confirm that the kidney is filtering blood perfectly, as that requires blood and urine lab tests (like Creatinine or GFR). Always discuss your full clinical picture with your doctor.

What Constitutes Normal Findings?

The term Normal Ultrasound Of Kidneys is standardized by medical imaging professionals. During the procedure, the sonographer maneuvers a transducer over your abdomen and back, capturing images from multiple angles. The following table summarizes what clinicians identify as normal characteristics compared to potential abnormal findings.

Parameter Expected Normal Finding Potential Abnormal Finding
Kidney Size Typically 9–12 cm in length Small/shrunken (chronic disease) or enlarged
Echogenicity Less than or equal to the liver/spleen Increased (suggests parenchymal disease)
Calyceal System No dilation or collection of fluid Hydronephrosis (dilation/obstruction)
Renal Outline Smooth, regular borders Irregular, lobulated, or scarred
Fluid Presence None, unless simple benign cysts Complex masses or stones (calculi)

Why Doctors Order the Procedure

Even if you feel perfectly healthy, your healthcare provider may order an ultrasound as a baseline or to investigate specific symptoms. Common triggers for this imaging study include flank pain, hematuria (blood in the urine), recurrent urinary tract infections, or elevated blood pressure that is difficult to control. Finding a Normal Ultrasound Of Kidneys in these scenarios allows your doctor to rule out structural mechanical issues, such as kidney stones or physical blockages, and pivot their focus toward other potential causes of your symptoms.

The test is also used for patients with a history of kidney disease to monitor the progression of conditions over time. By comparing current images to past scans, doctors can observe if the kidneys are maintaining their size and structural integrity, which is vital for managing long-term renal health.

Preparation and What to Expect

Preparing for a kidney ultrasound is relatively simple. In many instances, you may be asked to arrive with a full bladder, as this can help provide a better acoustic window for imaging the lower poles of the kidneys and the bladder itself. The procedure itself is painless and usually takes between 15 to 30 minutes.

During the exam:

  • You will lie on an exam table, usually on your side or stomach.
  • A warm, water-based gel is applied to the skin over the kidney area.
  • The sonographer slides the transducer back and forth to capture high-resolution images.
  • You may be asked to hold your breath for a few seconds to prevent image blurring.

⚠️ Note: If you have mobility issues or back pain, inform the technician before the exam begins so they can assist you in finding a position that is comfortable yet effective for imaging.

Interpreting Your Results

After the radiologist interprets the images, they issue a report. If the report highlights a Normal Ultrasound Of Kidneys, it is a significant indicator that there are no major obstructive or structural pathologies present at that moment. However, medical results should always be contextualized. For example, some people have anatomical variations, such as a "horseshoe kidney" or a duplex collecting system, which are congenital differences that are not necessarily "diseased" but are considered variations of normal.

If the report comes back with "normal" findings but you are still experiencing symptoms, do not be discouraged. It simply means that the cause of your discomfort is likely not structural. Your doctor may then proceed with blood tests to measure kidney function, or perhaps an imaging study that looks at blood flow, such as a renal Doppler ultrasound, if they suspect issues with the renal arteries.

Maintaining Long-Term Renal Health

Achieving a clean bill of health regarding your kidney structure is an excellent milestone, but maintaining that status requires proactive habits. Even with a Normal Ultrasound Of Kidneys, it is important to protect your kidneys by managing blood pressure, staying hydrated, and maintaining a balanced diet low in excessive sodium. Regular screenings are the best defense against silent conditions that can develop over time. Always keep copies of your imaging reports in a personal health file, as having a record of "normal" scans provides an invaluable reference point for future check-ups.

Understanding that a normal result is a highly positive outcome is the first step in effective health management. By demystifying the terminology used in reports and recognizing the role of structural imaging, you become a more informed participant in your own care. While the ultrasound does not provide a complete picture of microscopic kidney function, it effectively eliminates many of the most concerning physical causes of renal distress. Moving forward, use this information to maintain an open dialogue with your healthcare provider, ensuring that your lifestyle choices continue to support the long-term integrity of your urinary system. Regular follow-ups, combined with an awareness of your baseline health, represent the most effective strategy for ensuring your kidneys continue to function at their best for years to come.

Related Terms:

  • ultrasound picture of healthy kidney
  • normal kidney appearance on ultrasound
  • normal vs abnormal kidney ultrasound
  • normal adult kidney ultrasound
  • normal kidney measurements ultrasound
  • kidney looks like on ultrasound