Cleve

Nut Midline Carcinoma

Nut Midline Carcinoma

Nut Midline Carcinoma (NMC) represents one of the most aggressive and rare forms of squamous cell carcinoma known to oncology. Often misdiagnosed due to its deceptive appearance under a microscope, this malignancy is characterized by a specific genetic rearrangement involving the NUTM1 gene. Because it typically arises in the midline structures of the body—such as the head, neck, and thorax—it earns its name, yet it remains a formidable challenge for clinicians and patients alike. Understanding the nuances of this diagnosis is essential, as early detection and aggressive, multidisciplinary treatment are the only avenues for managing a disease that frequently behaves with relentless progression.

Understanding the Genetic Basis of Nut Midline Carcinoma

At the heart of every Nut Midline Carcinoma case is a chromosomal translocation. Most frequently, the NUTM1 gene on chromosome 15 fuses with the BRD4 gene on chromosome 19. This fusion creates a chimeric protein that essentially locks cells in an undifferentiated, proliferative state. Unlike typical cancers that lose their identity slowly, these cells remain “stuck” in a primitive developmental phase, causing them to divide rapidly and ignore the body’s standard biological “stop” signals.

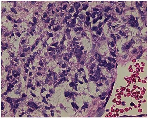
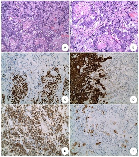
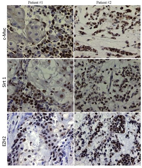
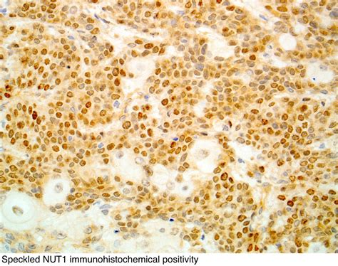
Because these tumors lack the differentiated features of normal tissue, pathologists often struggle to identify them using standard staining techniques. Diagnosis requires advanced molecular testing, specifically Fluorescence In Situ Hybridization (FISH) or immunohistochemistry for the NUT protein. Without these specific tests, a case of NMC might be incorrectly labeled as poorly differentiated squamous cell carcinoma, leading to inappropriate treatment protocols.

Clinical Presentation and Common Symptoms

The symptoms of Nut Midline Carcinoma are highly variable, largely depending on the site of origin. Because the tumor can develop anywhere along the midline, patients may present with vastly different clinical pictures. However, most patients report a rapidly growing mass accompanied by localized pain or obstruction. Common areas of involvement include:

  • The Head and Neck: Often manifesting as a persistent neck lump, sore throat, or difficulty swallowing.
  • The Thorax/Mediastinum: Frequently causing shortness of breath, persistent coughing, or chest pressure as the mass expands against the lungs or airway.
  • Systemic Signs: Unexplained weight loss, fatigue, and night sweats are common as the body struggles to cope with the high metabolic demands of the tumor.

⚠️ Note: Because Nut Midline Carcinoma is often mistaken for other, more common cancers, any rapidly enlarging mass that does not respond to standard antibiotics or initial therapy should trigger a referral to an academic cancer center for specialized molecular genetic evaluation.

Diagnostic and Staging Procedures

Once a clinical suspicion arises, a definitive diagnosis is paramount. The diagnostic journey usually involves a combination of imaging and tissue biopsy. Below is a summary of the diagnostic tools typically utilized in the clinical setting:

Diagnostic Tool Purpose in NMC Evaluation
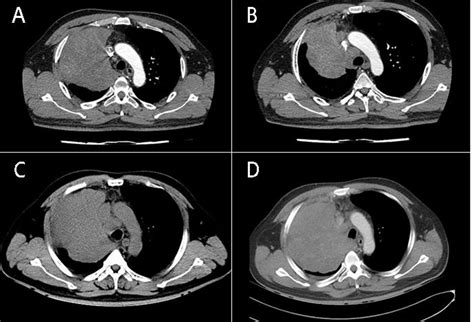
CT and PET Scans Identifying the primary tumor site and assessing for metastatic spread.
Core Needle Biopsy Obtaining a sample of the tumor for pathological review.
IHC Staining Detecting the expression of the NUT protein within the biopsy sample.
Molecular Testing (FISH) Confirming the specific NUTM1 gene translocation.

Current Approaches to Treatment

There is currently no singular “standard of care” for Nut Midline Carcinoma due to its rarity, but treatment generally involves a “multimodality” approach. Because the tumor is so aggressive, clinicians often combine several therapies to attempt to achieve disease control. These may include:

  • Surgery: If the tumor is localized and surgically accessible, total resection is often the first goal. However, due to the midline location, these tumors are often near critical structures, making complete removal difficult.
  • Chemotherapy: Intensive, multi-agent chemotherapy regimens are used to shrink the tumor and treat potential systemic spread.
  • Radiation Therapy: High-dose radiation is frequently employed to target the primary tumor site, especially when surgical margins are positive.
  • Targeted Therapy: Emerging research into BET inhibitors—drugs that specifically disrupt the proteins created by the NUTM1 fusion—shows promise in clinical trials, though these are typically reserved for refractory cases.

The decision-making process for treatment should always happen within a multidisciplinary tumor board. Surgeons, medical oncologists, radiation oncologists, and pathologists must coordinate closely to tailor the approach to the patient’s specific anatomical constraints and overall health status.

Receiving a diagnosis of Nut Midline Carcinoma is an overwhelming life event. Given the rarity of the disease, many patients find themselves searching for information in a landscape that is still evolving. It is vital to seek care from major cancer centers that maintain dedicated sarcoma or rare tumor programs. These institutions are more likely to have seen previous cases and possess the specialized equipment necessary for accurate genetic testing and access to the latest clinical trials.

Support systems are also a critical component of the care plan. Whether through clinical social workers, patient advocacy groups for rare cancers, or mental health professionals, patients and families are encouraged to build a strong network. Managing the side effects of intensive chemotherapy and the emotional toll of a fast-moving diagnosis requires a holistic approach that prioritizes quality of life alongside aggressive tumor suppression.

While the outlook for Nut Midline Carcinoma remains guarded due to its highly aggressive nature, advancements in genetic profiling and targeted systemic therapies are providing new avenues of hope. The shift toward personalized medicine has allowed researchers to move beyond broad chemotherapy approaches and begin targeting the specific molecular machinery driving this cancer. By prioritizing rapid diagnostic confirmation through molecular testing and integrating multidisciplinary expertise early in the treatment path, the medical community continues to refine how this rare disease is managed. Ongoing participation in research and clinical trials remains the most viable way to improve outcomes, as each case contributes to a larger, necessary understanding of how to disrupt the genetic pathways that make this carcinoma so persistent. Patients are encouraged to remain engaged with their oncology teams, advocate for molecular diagnostics, and utilize all available resources to support their health journey throughout every stage of care.

Related Terms:

  • nut carcinoma lung cancer
  • midline nut carcinoma definition
  • what is a nut carcinoma
  • how rare is nut carcinoma
  • ihc profile of nut carcinoma
  • nut carcinoma translocation