Cleve

Nutcracker Syndrome Symptoms

Nutcracker Syndrome Symptoms

Living with unexplained pelvic or abdominal pain can be an exhausting journey, often leading patients down a path of misdiagnoses and frustration. One rare but significant vascular condition that frequently flies under the radar is Nutcracker Syndrome. This condition occurs when the left renal vein—the vein that carries blood away from the left kidney—becomes compressed between the abdominal aorta and the superior mesenteric artery. Because this compression mimics other common ailments, recognizing the specific Nutcracker Syndrome symptoms is vital for early intervention and effective management.

Understanding the Mechanics of the Condition

To grasp why this syndrome causes such intense discomfort, it helps to visualize the anatomy. Under normal circumstances, blood flows freely from the kidney back to the heart. In Nutcracker Syndrome, the angle between the aorta and the mesenteric artery becomes too narrow, effectively "pinching" the left renal vein. This leads to increased venous pressure, which can cause the vein to swell and potentially lead to the formation of collateral veins as the body desperately tries to redirect blood flow.

The severity of these symptoms can vary drastically from one individual to another. Some people may remain asymptomatic for years, while others may experience debilitating pain that impacts their quality of life. Understanding the nuance of these symptoms is the first step toward reclaiming your health.

Key Nutcracker Syndrome Symptoms to Monitor

The clinical presentation of this condition is often grouped into two categories: hematuric (related to blood in the urine) and non-hematuric (related to pelvic congestion). Recognizing these Nutcracker Syndrome symptoms early can prevent long-term complications.

  • Hematuria: This is one of the most classic signs. You might notice blood in your urine, which can be visible to the naked eye (gross hematuria) or only detectable through lab tests (microscopic hematuria). It occurs because high venous pressure causes the delicate walls of the renal veins to rupture into the kidney's collecting system.
  • Left-sided Flank and Abdominal Pain: This is often described as a dull, aching sensation that may become sharp or stabbing during physical activity.
  • Pelvic Congestion Syndrome: In women, the pressure can back up into the ovarian vein, leading to chronic pelvic pain, painful intercourse (dyspareunia), and discomfort that worsens after long periods of standing.
  • Varicocele: In men, the backup of pressure in the left renal vein can cause varicocele, which is a collection of enlarged veins within the scrotum, potentially affecting fertility and causing persistent aching.
  • Fatigue and Anemia: Chronic low-level blood loss through the urine can sometimes lead to iron-deficiency anemia, leaving you feeling chronically exhausted.

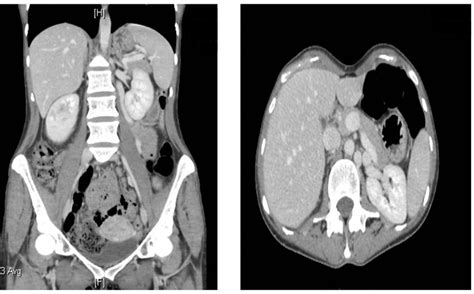
⚠️ Note: Because these symptoms often overlap with urinary tract infections or kidney stones, always seek professional diagnostic imaging, such as a CT angiography or a Doppler ultrasound, to confirm the presence of vascular compression.

Diagnostic Procedures and Clinical Evaluation

Physicians typically look for a combination of clinical history and imaging evidence. Because the Nutcracker Syndrome symptoms are non-specific, it is common to undergo a series of tests to rule out other issues first. Below is a summary of the diagnostic tools typically employed in a clinical setting:

Diagnostic Test What It Evaluates
Doppler Ultrasound Measures the velocity of blood flow to detect narrowing in the renal vein.
CT Angiography Provides a clear visual of the "nutcracker" anatomy and the compression of the vein.
Magnetic Resonance Venography Uses magnetic fields to map out veins, often used if CT scans are inconclusive.
Urinalysis Checks for the presence of blood or protein, identifying the hematuric aspect of the syndrome.

Managing the Impact on Daily Life

Once a diagnosis is confirmed, the treatment path depends on the severity of the symptoms. For mild cases, doctors often recommend a "watchful waiting" approach, which includes increasing physical activity to build muscle or gaining weight to create a larger fat pad between the arteries, which can sometimes relieve the pressure on the vein.

However, if the symptoms are severe, affecting your ability to work, exercise, or maintain normal life activities, surgical intervention may be required. This could involve placing a stent inside the renal vein to keep it open or performing a vascular reconstruction to move the vein into a less compressed position. It is important to discuss these options with a vascular specialist who has specific experience with compression syndromes.

Consistency is key to symptom management. Keeping a detailed symptom journal can help your doctor understand the frequency and triggers of your pain. Note things like:

  • Whether the pain is worse after sitting or standing for long periods.
  • If there is any correlation between your cycle (for women) and the intensity of the pain.
  • Any changes in urine color or frequency.

💡 Note: Avoiding heavy lifting or high-impact exercises might be necessary during the acute phases of the syndrome to prevent further vascular strain.

Long-term Outlook and Wellness

While the prospect of a vascular compression condition can be daunting, many individuals find significant relief through targeted medical care. The key is advocacy. Because Nutcracker Syndrome symptoms can mimic so many other issues, you may need to persist in requesting the right imaging tests. Do not settle for "everything looks normal" if you know your body is signaling pain that is not typical for you. Researching specialized vascular centers can often lead to a faster and more accurate diagnosis compared to general practice settings.

Remember that your mental health is as important as your physical health throughout this journey. Living with chronic pain can be isolating, and finding support groups for rare vascular disorders can provide both comfort and practical advice from those who truly understand your experience. By staying informed and working closely with a knowledgeable medical team, you can manage the physical challenges of the syndrome and improve your overall quality of life.

Taking control of your health requires patience and persistence. By recognizing the patterns of your pain and speaking up for the necessary diagnostic tests, you create the opportunity for effective treatment. Whether you manage the condition through lifestyle adjustments or more advanced medical procedures, being proactive is the best way to move forward and minimize the disruption these symptoms have on your daily life. Keep listening to your body, maintain open communication with your healthcare provider, and stay committed to finding the care you deserve.

Related Terms:

  • nutcracker syndrome symptoms in men
  • nutcracker syndrome treatment options
  • nutcracker phenomenon of renal vein
  • who treats nutcracker syndrome
  • nutcracker syndrome nhs
  • nutcracker syndrome cause