Cleve

Optical Coherence Tomography Macular Degeneration

Optical Coherence Tomography Macular Degeneration

For individuals facing the risk or diagnosis of vision-threatening conditions, Optical Coherence Tomography (OCT) has revolutionized the way eye care professionals monitor retinal health. When it comes to Optical Coherence Tomography Macular Degeneration, this non-invasive imaging technology serves as the gold standard for both early detection and long-term management. By providing high-resolution, cross-sectional views of the retina, OCT allows ophthalmologists to visualize the microscopic layers of the macula, identifying subtle changes long before they manifest as significant vision loss.

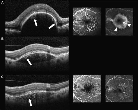
Age-related Macular Degeneration is a progressive eye condition that affects the macula—the small, central portion of the retina responsible for sharp, detailed vision. As the condition advances, it can lead to blurred vision, blind spots, or a complete loss of central vision, making tasks like reading, driving, and recognizing faces increasingly difficult.

There are two primary forms of the condition:

  • Dry AMD: The more common form, characterized by the thinning of the macula and the accumulation of fatty deposits known as drusen.
  • Wet AMD: A more aggressive form where abnormal blood vessels grow underneath the retina, leaking fluid or blood and causing rapid damage.

How OCT Works for Macular Imaging

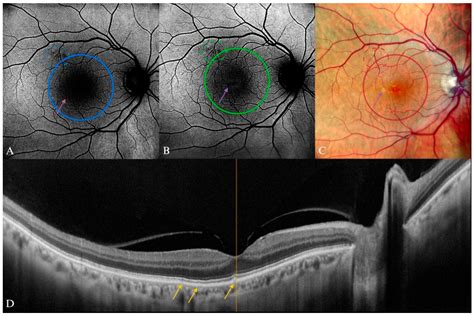
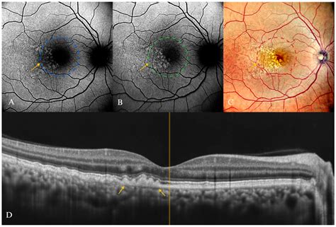
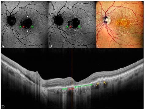
OCT works similarly to an ultrasound, but instead of using sound waves, it utilizes light waves to capture images. Because light travels much faster than sound, OCT can achieve a level of detail that is nearly equivalent to an optical biopsy. When a patient undergoes an OCT scan for suspected Optical Coherence Tomography Macular Degeneration, the device measures the reflection of light from the various layers of the retina.

The resulting images are incredibly precise, allowing clinicians to:

  • Identify the presence and size of drusen.
  • Detect subretinal fluid or intraretinal edema caused by leaking vessels.
  • Measure retinal thickness to track atrophy over time.
  • Evaluate the efficacy of anti-VEGF injection treatments.
Feature OCT Capability Clinical Benefit
Cross-sectional view Detailed layering analysis Early structural diagnosis
Fluid detection High-contrast mapping Determining treatment timing
Retinal thickness Quantifiable data points Monitoring disease progression

The Role of OCT in Early Detection

One of the most critical aspects of Optical Coherence Tomography Macular Degeneration management is the ability to detect disease activity before the patient experiences symptomatic vision changes. In the “dry” stage, OCT can highlight the presence of intermediate drusen, prompting more frequent monitoring. In the “wet” stage, the immediate detection of fluid accumulation allows for timely intervention, which is vital for preserving remaining vision.

⚠️ Note: OCT scans are completely painless and non-invasive, usually taking only a few minutes to perform for both eyes, and do not require the use of contrast dyes.

Monitoring Treatment with OCT

For patients diagnosed with wet AMD, treatment typically involves periodic injections of anti-VEGF medication into the eye. These medications help stop the growth of abnormal blood vessels and reduce leakage. OCT is the primary tool used to guide these treatment protocols. By comparing scan results from follow-up visits, doctors can determine if the fluid has resolved or if the patient requires a repeat injection.

This “treat-and-extend” approach has become significantly more effective thanks to the precise data provided by OCT. Instead of following a rigid, one-size-fits-all schedule, physicians can tailor treatment intervals based on the patient’s individual retinal response, minimizing the number of unnecessary procedures while ensuring the disease remains under control.

What to Expect During an OCT Exam

Undergoing an OCT scan is a routine part of a comprehensive eye examination for high-risk patients. During the process:

  • You will be asked to sit in front of the OCT machine and place your chin on a rest.
  • The technician will align the device with your eye.
  • You will be instructed to look at a small target light inside the machine.
  • The device will perform a quick scan of the retina without touching your eye.

Technological Advancements in OCT

The field of retinal imaging continues to evolve rapidly. Newer versions of the technology, such as OCT Angiography (OCTA), allow doctors to visualize the blood flow within the retina without the need for intravenous dye. This is a game-changer for patients with Optical Coherence Tomography Macular Degeneration, as it provides a non-invasive way to identify neovascularization—the hallmark of wet AMD—with unprecedented clarity.

Furthermore, artificial intelligence (AI) is being integrated into OCT software. These algorithms can automatically analyze scans to detect markers of progression or predict which patients are at the highest risk of converting from dry to wet AMD. This technological synergy helps clinicians make faster, more informed decisions regarding patient care and long-term vision preservation.

💡 Note: While OCT is an invaluable diagnostic tool, it should always be combined with a dilated fundus exam and visual acuity testing to provide a complete picture of your ocular health.

Final Thoughts on Retinal Care

Managing age-related macular degeneration requires a proactive approach to eye health. Optical Coherence Tomography stands as an essential pillar of modern ophthalmology, bridging the gap between clinical observation and microscopic pathology. By providing clear, objective data, it empowers doctors to stay ahead of the disease, ensuring that treatment is administered precisely when needed. For patients, this translates to better control over their condition, a clearer understanding of their ocular status, and, most importantly, the best possible chance at maintaining independence and vision quality for as long as possible. If you are at risk or have been diagnosed with macular degeneration, discussing the regular use of OCT imaging with your retina specialist is a vital step toward long-term eye health and comprehensive disease management.

Related Terms:

  • oct test for macular degeneration
  • oct eye test side effects
  • optical coherence tomography oct imaging
  • oct scan for eye problems
  • optical coherence tomography meaning
  • what does oct macula mean