Cleve

Orthodontic Palatal Expander

Orthodontic Palatal Expander

When you hear the term orthodontic palatal expander, it might sound like a complex dental device, but its purpose is straightforward and highly effective for patients experiencing crossbites or dental crowding. Often used during the growth phase of children and adolescents, this appliance is designed to gradually widen the upper jaw, creating the necessary room for permanent teeth to erupt in their proper positions. By addressing skeletal imbalances early, orthodontists can prevent more severe complications later in life, ensuring a healthier and more functional bite.

What Exactly is an Orthodontic Palatal Expander?

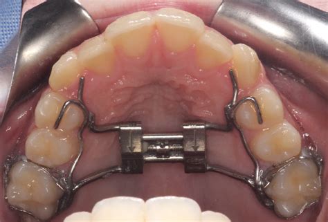
An orthodontic palatal expander is a customized oral appliance that fits across the roof of the mouth. It works by applying gentle, constant pressure to the two halves of the upper jaw, known as the maxillary bones. In younger patients, these bones have not yet fused together, meaning they can be coaxed apart to increase the width of the dental arch. This expansion not only creates space for crowded teeth but also helps align the upper and lower teeth so they fit together correctly when the mouth is closed.

Orthodontic procedure

Common Reasons for Using a Palatal Expander

Orthodontists typically recommend this device when they observe specific developmental issues. Identifying these issues early can significantly reduce the length and complexity of future orthodontic treatments. Here are the most common reasons an orthodontic palatal expander is prescribed:

  • Crossbite: This occurs when the upper teeth sit inside the lower teeth instead of resting outside them.
  • Severe Crowding: When there isn't enough space for permanent teeth to come in straight, causing them to overlap.
  • Impacted Teeth: Expanding the arch can provide the necessary room for teeth that are stuck in the gum tissue.
  • Breathing Issues: A narrow palate can sometimes restrict nasal passages, and widening it may assist with airway health.

How the Expansion Process Works

The device features a small expansion screw in the center. Through a process called "activation," the patient or parent uses a special key to turn this screw a fraction of a millimeter each day. This constant, light force triggers the natural growth process at the mid-palatal suture, the line where the two halves of the jaw meet. Over several weeks, the bones move apart, and new bone fills in the gap, effectively widening the jaw permanently.

Phase Description Typical Duration
Active Expansion Turning the screw to initiate jaw widening. 2 to 4 weeks
Stabilization Device stays in place to let bone solidify. 3 to 6 months
Retention Monitoring alignment after removal. Ongoing

⚠️ Note: It is normal to see a small gap develop between the two front teeth during the active expansion phase. This is actually a positive sign that the device is working effectively. The gap usually closes on its own once the expansion is complete.

Living with Your Appliance

Adapting to an orthodontic palatal expander typically takes about a week. Initially, you may experience increased saliva production, minor speech changes, or mild pressure. These symptoms are temporary and generally fade as your mouth adjusts. Maintaining good oral hygiene is critical while wearing the device to prevent plaque buildup around the appliance.

  • Brush thoroughly around the metal bands and the plastic components.
  • Use a water flosser to dislodge debris stuck under the central screw.
  • Avoid sticky or hard foods like caramel, popcorn, or gum that could damage the device.
  • Rinse your mouth after every meal to keep the area clean.

💡 Note: If you feel significant pain rather than just pressure, or if the device feels loose or broken, contact your orthodontist immediately to avoid potential injury or treatment delays.

Benefits of Early Intervention

Choosing to use an orthodontic palatal expander during childhood can be a game-changer. Because a child’s skeletal structure is still malleable, the expansion is easier to perform compared to adult cases, which might eventually require surgery to achieve the same result. By widening the arch, you are not just fixing teeth; you are improving the overall foundation of the smile. This leads to better chewing efficiency, a more symmetrical facial appearance, and a reduced likelihood of needing tooth extractions in the future.

Every case is unique, and the success of the treatment depends heavily on following the customized activation schedule provided by your orthodontist. Consistency is the most important factor in ensuring the jaw expands at the proper rate. Once the active phase is finished, the device remains in place for several months acting as a retainer. This waiting period is just as vital as the active turning because it ensures the new bone is strong enough to support the permanent teeth in their new positions. By prioritizing this phase, you are investing in a lifetime of oral health, better breathing, and a confident smile that will serve you well into adulthood.

Related Terms:

  • removable palate expander
  • orthodontic palatal expander cost
  • what is a palate expander
  • removable orthodontic expander
  • palate expander online
  • orthodontic palatal expander toorak