Cleve

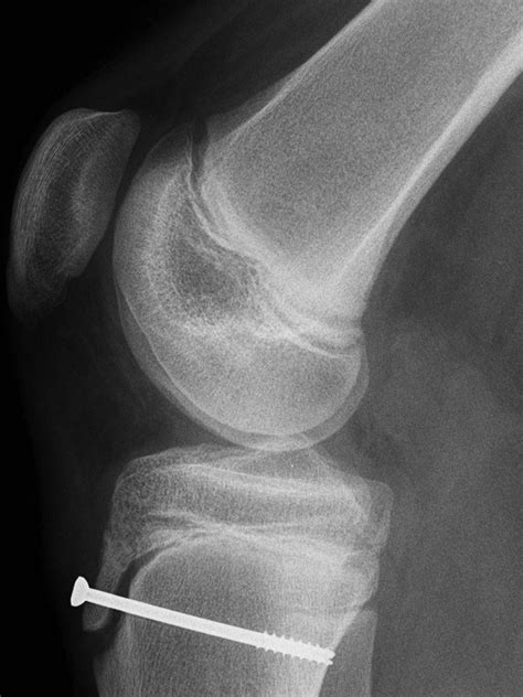
Osgood Schlatter Operation

Osgood Schlatter Operation

Osgood-Schlatter disease is a condition that frequently affects active adolescents during their growth spurts, leading to painful inflammation at the top of the shinbone where the patellar tendon attaches. While the vast majority of cases resolve on their own with rest, ice, and physical therapy, there are rare instances where the symptoms persist into adulthood or cause significant structural deformity. In these specific, chronic cases, patients and medical professionals may begin to discuss an Osgood Schlatter operation as a final option to restore function and alleviate chronic discomfort. Understanding when this procedure is necessary, what it entails, and the recovery process is vital for those who have exhausted conservative treatment methods.

Understanding the Need for Surgical Intervention

Most teenagers outgrow the condition once their bones fully mature and the growth plates close. However, when a patient reaches skeletal maturity and continues to experience pain, it is often due to the formation of a prominent, ossified (bony) bump or a loose fragment of bone that remains trapped within the patellar tendon. An Osgood Schlatter operation is not a first-line treatment; it is strictly reserved for patients who have finished growing and still suffer from:

  • Persistent pain that limits daily physical activities or sports participation.
  • A large, ossicle (bony mass) that causes significant irritation when kneeling or wearing protective gear.
  • Mechanical symptoms, such as sharp stabbing pains during full knee extension or flexion.
  • Failed attempts at long-term physical therapy and activity modification.

The goal of the surgery is generally to excise the painful ossicle—a small piece of bone that failed to fuse with the main tibia—and to clean up any damaged or scarred tissue within the tendon. By removing this focus of inflammation, the surgeon helps the patient regain a pain-free range of motion.

The Procedure and What to Expect

The surgical procedure is typically performed under general or regional anesthesia. The surgeon makes a small incision over the tibial tubercle, the area where the pain is localized. Once the area is exposed, the surgeon carefully identifies the ossicle or the prominent bony protrusion. Using specialized instruments, they remove the bony fragment while being extremely cautious not to damage the attachment point of the patellar tendon itself, as this is critical for knee extension.

Phase Clinical Focus
Pre-Op Clinical assessment and MRI/X-ray confirmation of the ossicle.
Procedure Surgical excision of the ossicle and soft tissue debridement.
Immediate Post-Op Pain management and immobilization (often in a brace).
Rehabilitation Gradual range of motion exercises followed by muscle strengthening.

⚠️ Note: Surgical outcomes are highly dependent on the patient's adherence to a structured post-operative physical therapy program. Rushing back into high-impact sports can compromise the integrity of the tendon attachment.

Recovery and Rehabilitation Protocols

Following an Osgood Schlatter operation, the recovery timeline can vary based on the extent of the bone removal. Most patients will require the use of crutches for a short period to allow the tissue to settle. Initially, the focus is on reducing post-surgical swelling and protecting the surgical site. Once the wound has healed, the rehabilitation phase begins in earnest. This involves:

  • Range of Motion Exercises: Gently working to restore full flexion and extension of the knee joint.
  • Quadriceps Strengthening: Since the patellar tendon is part of the quadriceps mechanism, strengthening these muscles is vital for long-term knee stability.
  • Functional Training: Gradually reintroducing movements like squats, lunges, and eventually, light running.
  • Activity Modification: Avoiding high-impact activities like jumping or sprinting until the physician provides clearance.

It is important to remember that although the surgery removes the physical obstruction or the "bump," it does not automatically correct imbalances in muscle strength or flexibility that might have contributed to the initial condition. Comprehensive physical therapy is essentially the most important component of the recovery journey.

Potential Risks and Considerations

As with any orthopedic procedure, there are inherent risks associated with surgery. Before opting for an Osgood Schlatter operation, patients should have an in-depth conversation with their orthopedic surgeon about these possibilities. Some risks include, but are not limited to, infection at the incision site, persistent numbness around the area due to skin nerves, or in rare cases, a rupture of the patellar tendon if the attachment site was heavily compromised during the removal of the ossicle.

Furthermore, patients should be aware that cosmetic concerns are not always fully resolved. While the surgery removes the internal bony fragment, the overlying skin may still bear a scar, and the contour of the shin may appear different than a non-affected limb. The primary objective must remain functional improvement rather than purely aesthetic goals.

Final Thoughts on Long-Term Knee Health

For those suffering from long-term, disabling symptoms, the decision to undergo surgery can be a life-changing step toward returning to an active lifestyle. While the vast majority of cases in adolescents are managed successfully without surgery, the availability of an Osgood Schlatter operation provides a clear pathway to relief for adults who continue to face chronic pain. By prioritizing a skilled surgeon, adhering strictly to the rehabilitation timeline, and maintaining a commitment to strengthening the surrounding musculature, most individuals are able to return to their favorite physical activities with significantly less discomfort than before. Always consult with a qualified specialist to determine if your specific symptoms necessitate this type of intervention or if further conservative management could still yield positive results.

Related Terms:

  • osgood schlatter disease adult
  • can osgood schlatter get worse
  • adult osgood schlatter surgery recovery
  • osgood schlatter adult
  • osgood schlatter patient portal
  • osgood schlatter disease recovery time