Rp

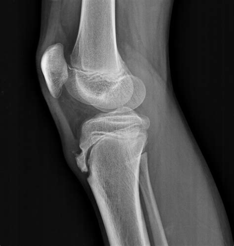
Osgood Schlatter X Ray

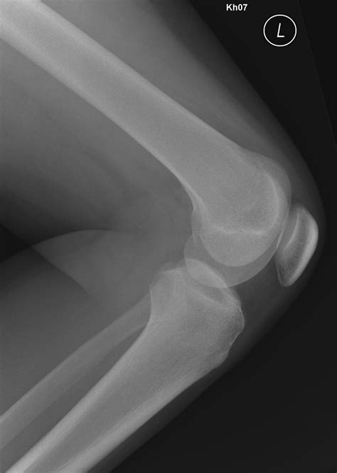
Osgood Schlatter X Ray

If you are a parent of a young athlete or a teenager experiencing persistent knee pain, you may have heard of Osgood-Schlatter disease. It is a common cause of knee pain in growing adolescents, particularly those who are active in sports involving running, jumping, or rapid changes in direction. When symptoms persist, medical professionals often turn to diagnostic imaging to confirm the diagnosis and rule out more serious conditions. Specifically, an Osgood Schlatter X ray is the standard procedure used to evaluate the structural changes occurring at the top of the shinbone.

Understanding Osgood-Schlatter Disease

Osgood-Schlatter disease is essentially an overuse injury caused by repetitive stress on the growth plate of the upper tibia. During growth spurts, bones, muscles, and tendons grow at different rates. The patellar tendon, which attaches the kneecap to the shinbone (tibia), can pull on the tibial tubercle—the bony bump just below the kneecap. This constant tension, combined with the physical demands of sports, leads to inflammation, swelling, and pain.

While the condition is typically diagnosed through a physical examination, doctors may order imaging if the symptoms are atypical or if they want to assess the extent of the bone involvement. This is where the Osgood Schlatter X ray becomes a valuable tool for orthopedic specialists.

Also read: Best Face Mask Brands Plastic Surgery Recovery

The Role of an Osgood Schlatter X Ray

The primary purpose of an Osgood Schlatter X ray is not necessarily to "diagnose" the condition, as that is primarily a clinical diagnosis, but rather to look for specific findings that confirm the stress at the insertion point of the patellar tendon. When reviewing these images, medical professionals look for:

  • Soft tissue swelling: Visible inflammation around the patellar tendon.
  • Fragmentation: In more chronic or severe cases, the X-ray may show small bony fragments pulling away from the tibial tubercle.
  • Irregularity: The surface of the bone may appear rough or jagged rather than smooth.
  • Rule-out conditions: It is crucial to ensure the pain is not caused by bone tumors, fractures, or infections, which may present similarly.

⚠️ Note: An X-ray might appear completely normal in the early stages of the condition. Absence of visible bone changes does not necessarily mean the patient does not have Osgood-Schlatter disease.

What to Expect During the Procedure

If your doctor requests an Osgood Schlatter X ray, you should not be concerned. It is a quick, painless, and low-radiation diagnostic procedure. Typically, the technician will take images from a few different angles, most notably a lateral (side) view of the knee, to get a clear picture of the tibial tubercle.

Aspect Details
Preparation No special preparation required; remove metal objects near the knee.
Duration Usually takes less than 10 minutes.
Safety Uses a very low dose of ionizing radiation; generally considered safe.
Results Available shortly after the images are captured and interpreted by a radiologist.

Differentiating Osgood-Schlatter from Other Conditions

Sometimes, knee pain in teenagers can stem from issues that are more concerning than a simple growth-related inflammation. An Osgood Schlatter X ray is vital for differential diagnosis. Here is a brief comparison of how imaging helps distinguish common knee issues:

  • Sinding-Larsen-Johansson Syndrome: Similar to Osgood-Schlatter, but the pain occurs at the bottom of the kneecap rather than the tibial tubercle.
  • Patellar Tendonitis: This is inflammation of the tendon itself, which usually does not show significant bone changes on an X-ray.
  • Osteochondritis Dissecans: This involves damage to the cartilage and bone surface within the joint, which is often visible on X-rays as a loose fragment inside the joint space.

💡 Note: Always provide the radiologist or technician with the exact location of your pain to ensure they capture the correct angle of the tibial tubercle.

Treatment Approaches Following Diagnosis

Once an Osgood Schlatter X ray confirms the diagnosis, the management plan typically shifts toward symptom control and lifestyle adjustments. Since the condition is self-limiting and usually resolves when the growth plate closes, treatment is focused on comfort:

  • Rest: Reducing activities that cause pain, such as jumping and sprinting.
  • Ice: Applying ice packs to the affected area after activity to reduce inflammation.
  • Stretching and Strengthening: Physical therapy focusing on the quadriceps and hamstrings can help reduce the pull on the patellar tendon.
  • Protective Padding: Using a knee sleeve or patellar strap can offer extra protection against direct impact.

In rare cases where bony fragments become very large or painful even after skeletal maturity, surgical intervention might be discussed, but this is almost never the first line of treatment. Most patients simply need time and patience while their bodies complete the growth process.

When to Seek Further Medical Evaluation

While Osgood-Schlatter is a benign condition, there are instances where you should return to your physician for additional evaluation. If an Osgood Schlatter X ray was performed and the pain continues, or if new symptoms arise, consider the following red flags:

  • Pain that persists even while at rest or during the night.
  • Visible deformity that continues to grow or changes shape significantly.
  • Presence of systemic symptoms such as fever, unexplained weight loss, or persistent localized redness and warmth.
  • Difficulty bearing weight on the leg that does not improve with activity modification.

Managing the health of young athletes requires a balanced perspective. While the condition can be frustrating for a teenager who wants to stay on the field, understanding that it is a temporary stage of development can make the recovery process easier to navigate. The diagnostic process, starting with the clinical exam and supplemented by the Osgood Schlatter X ray, ensures that the treatment plan is appropriate for the specific needs of the patient. By following medical advice and prioritizing rest, most adolescents can return to their favorite activities pain-free once their bones have fully developed.

Related Terms:

  • osgood schlatter disease symptoms
  • osgood schlatter disease imaging
  • osgood schlatter mri
  • osgood schlatter radiopaedia
  • osgood schlatter disease radiology
  • osgood schlatter x ray images