Mayo

Pacemaker En Icd

Pacemaker En Icd

Heart rhythm disorders can be frightening, but modern medical technology offers life-saving solutions for patients diagnosed with chronic heart conditions. Among the most common interventions are cardiac implantable electronic devices, specifically the Pacemaker en ICD. While these terms are often used interchangeably by patients, they serve distinct purposes in managing heart health. Understanding the differences, functions, and maintenance requirements of these devices is essential for anyone navigating a diagnosis of arrhythmia or heart failure. By demystifying how these technologies work, patients can feel more empowered and confident in their treatment plans and long-term heart health management.

Understanding the Core Differences

To grasp the role of a Pacemaker en ICD, one must first understand what they do. A pacemaker is primarily designed to treat bradycardia—a condition where the heart beats too slowly. It monitors the heart’s electrical rhythm and sends small, painless electrical impulses to the heart muscle to keep it beating at a normal, healthy rate. It acts as an internal regulator, ensuring the heart provides enough oxygenated blood to the body.

On the other hand, an Implantable Cardioverter Defibrillator (ICD) is designed to treat tachycardia, specifically life-threatening arrhythmias like ventricular fibrillation or ventricular tachycardia. These conditions cause the heart to beat dangerously fast or erratically, which can lead to sudden cardiac arrest. An ICD monitors the heart and, if it detects a lethal rhythm, delivers a therapeutic shock to reset the heart to its normal rhythm.

Some devices, often referred to as CRT-D (Cardiac Resynchronization Therapy with Defibrillator), combine both pacemaker and ICD functions, making them versatile tools for patients with complex heart failure. Choosing the right device depends entirely on the patient’s specific underlying heart condition and their risk profile for sudden cardiac events.

How the Devices Function

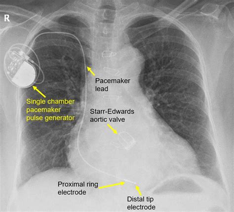
Both a Pacemaker en ICD are implanted under the skin, usually just below the collarbone. The procedure is typically minimally invasive, involving thin, flexible wires called leads that are threaded through a vein and into the chambers of the heart. The main unit, or generator, contains a battery and a computer circuit that monitors heart activity 247.

  • Pacemaker Monitoring: Detects if the heart rate drops below a programmed threshold and triggers a pacing pulse.
  • ICD Monitoring: Continuously analyzes the heart’s rhythm and distinguishes between benign fast rhythms (like during exercise) and dangerous, chaotic rhythms.
  • Data Logging: Both devices record diagnostic data, which cardiologists download during follow-up visits to adjust settings and monitor the progression of the heart condition.
Feature Pacemaker ICD
Primary Target Slow heart rhythm (Bradycardia) Dangerous fast rhythm (Tachycardia)
Method of Action Constant or demand pacing Defibrillation or antitachycardia pacing
Weight Typically smaller/thinner Slightly larger to accommodate capacitors
Indications Heart block, sinus node disease History of cardiac arrest, high-risk heart failure

Living with a Device

After the implantation of a Pacemaker en ICD, most patients experience a significant improvement in their quality of life. However, there are lifestyle adjustments necessary for safety. Modern devices are well-shielded against common household appliances like microwaves and televisions, but patients should remain cautious around strong magnetic fields.

High-energy equipment, such as industrial welders or heavy-duty motors, can interfere with device function. Furthermore, medical procedures such as MRI scans require coordination with the cardiology team to ensure the device is safely programmed for the duration of the scan. It is also recommended to keep a device identification card in your wallet at all times, especially when traveling through security scanners at airports.

⚠️ Note: Always consult your cardiologist before undergoing any medical procedure involving strong electromagnetic fields, such as therapeutic radiation or certain surgical tools, to prevent device interference.

Regular Follow-Ups and Maintenance

The longevity of a Pacemaker en ICD is determined by the battery life, which typically ranges from five to ten years depending on usage. Regular clinic visits are non-negotiable. During these appointments, the physician will perform “interrogations,” which involve placing a special wand over the chest to retrieve data from the device without needing another surgery.

Remote monitoring has become a standard, allowing the device to send data automatically to the clinic via a secure bedside transmitter. This ensures that any signs of battery depletion or changes in heart rhythm are identified promptly, often before the patient even feels symptoms. If the battery levels drop, a simple procedure is performed to replace the pulse generator, though the existing leads usually remain in place.

Psychological Well-being and Support

It is perfectly normal to feel anxious about having an Pacemaker en ICD. Patients often report fear regarding “shocks” from their ICD or anxiety about device failure. Connecting with support groups or discussing these fears with a heart rhythm specialist can significantly improve your mental outlook. Physical activity is generally encouraged, but it is important to avoid contact sports that could result in a direct blow to the chest, which might damage the device or dislodge the leads.

Physical therapy or cardiac rehabilitation programs are excellent ways to regain confidence after the implantation procedure. These programs provide a monitored environment where patients can learn their limits and safely increase their exercise tolerance. Remember, the device is there to protect you, allowing you to participate in your daily activities with a greater sense of security rather than limiting your life.

Managing your heart health with a Pacemaker en ICD represents a commitment to both modern medicine and personal wellness. By keeping scheduled follow-up appointments, adhering to safety guidelines regarding electromagnetic interference, and maintaining open communication with your healthcare provider, you can lead an active and fulfilling life. These devices are sophisticated companions designed to monitor your heart’s every beat, providing the intervention necessary to ensure safety and stability. While the transition may feel daunting at first, the peace of mind gained from knowing your heart is supported is an invaluable outcome of the procedure. Ultimately, regular monitoring and a healthy lifestyle form the cornerstone of successful long-term management for anyone living with these life-preserving technologies.

Related Terms:

  • icd 10 code pacemaker
  • icd code pacemaker
  • icd implant
  • icd pacemaker icd 10
  • defibrillator
  • what is an aicd device