Rp

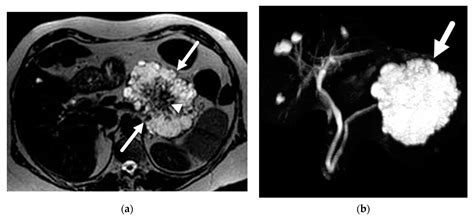
Pancreas On Ct

Pancreas On Ct

When you undergo medical imaging for abdominal pain, digestive issues, or general screenings, your doctor may order an imaging study to get a clear look at your internal organs. Among these, the pancreas on CT scan is a gold-standard diagnostic tool. Because the pancreas is located deep within the abdomen, situated behind the stomach and in front of the spine, it is difficult to visualize through simpler methods like a standard physical exam or sometimes even ultrasound. A Computed Tomography (CT) scan provides the cross-sectional, high-resolution imagery necessary for radiologists to evaluate the structure, size, and health of this vital organ.

Understanding the Role of CT Imaging for the Pancreas

The pancreas plays a crucial dual role in your health: it acts as an endocrine gland by regulating blood sugar through insulin production and as an exocrine gland by secreting enzymes that aid in digestion. Given these essential functions, any abnormality in the pancreas can have systemic effects on the body. A pancreas on CT is examined to identify a wide range of conditions, from acute or chronic inflammation to benign cysts and cancerous tumors.

Radiologists utilize CT scans because they can detect subtle density changes within the organ. By using intravenous contrast dye—a material that highlights blood vessels and soft tissues—the scan can clearly distinguish between the healthy pancreatic tissue, potential lesions, and surrounding structures like the bile ducts, gallbladder, and major blood vessels.

What Doctors Look For When Evaluating the Pancreas

When a radiologist reviews the images of the pancreas on CT, they follow a systematic approach to ensure nothing is overlooked. They are looking for specific indicators that define the health of the organ. Key focus areas include:

  • Size and Shape: The pancreas should have a uniform appearance. Enlargement, atrophy, or unusual contours can indicate inflammation (pancreatitis) or other structural issues.
  • Density and Texture: Normal pancreatic tissue has a specific density. Areas that appear brighter or darker than the surrounding tissue—known as hypoattenuating or hyperattenuating lesions—often warrant further investigation.
  • Ductal Dilation: The pancreatic duct, which carries enzymes to the intestines, should ideally remain narrow. If this duct is dilated, it could suggest a blockage caused by stones, scarring, or a mass.
  • Surrounding Fat Stranding: In cases of inflammation, the fat surrounding the pancreas often appears "strandy" or hazy on the scan, which is a hallmark sign of pancreatitis.

Comparing Imaging Modalities

While a CT scan is highly effective, it is useful to understand how it compares to other common diagnostic tools. The following table provides a quick reference to help you understand why a healthcare provider might choose one over the other.

Imaging Method Best Used For Pros
CT Scan Detailed anatomy, trauma, cancer screening High resolution, fast, widely available.
MRI/MRCP Soft tissue characterization, ductal detail No ionizing radiation, excellent soft tissue contrast.
Ultrasound Gallstones, initial screening No radiation, real-time imaging, portable.

⚠️ Note: Always inform your radiologist or technician if you have known allergies to iodine or shellfish, as the contrast dye used in many CT scans is iodine-based and may trigger an allergic reaction in some patients.

Preparing for Your CT Scan

Proper preparation is key to obtaining high-quality images of the pancreas on CT. While specific instructions may vary based on your medical center's protocols, there are general guidelines to keep in mind:

  • Fasting: You may be asked to avoid eating or drinking for several hours before the procedure, especially if contrast dye is required, to minimize the risk of nausea.
  • Hydration: Staying well-hydrated before the scan helps your kidneys process and excrete the contrast dye more efficiently afterward.
  • Medication Review: Provide a complete list of your medications to your doctor. Certain medications, particularly those for diabetes (like metformin), may need to be adjusted temporarily before the scan.
  • Clothing: Wear comfortable, loose-fitting clothing without metal fasteners, as metal can interfere with the imaging quality and cause artifacts on the scan.

ℹ️ Note: If you have a history of impaired kidney function, ensure your doctor is aware. They may order a simple blood test (e.g., creatinine or eGFR) prior to your appointment to ensure your kidneys can safely handle the contrast agent.

What Happens After the Scan

Once the imaging process is complete, the data is processed into detailed 3D images. A board-certified radiologist will analyze the pancreas on CT scan and prepare a comprehensive report for your referring physician. This report will describe any findings, such as calcifications, pseudocysts, or inflammation. It is important to remember that a "normal" scan doesn't always rule out every condition; sometimes, doctors combine CT findings with blood tests, such as amylase and lipase levels, to form a complete clinical picture.

Following the scan, it is generally recommended to drink plenty of water to help flush the contrast agent from your system. Most patients return to their normal daily activities immediately after the procedure. If you experience any unusual symptoms like itching, hives, or difficulty breathing, seek medical attention immediately, as this could indicate a delayed reaction to the contrast.

The Significance of Regular Monitoring

For individuals with a family history of pancreatic disease, chronic pancreatitis, or genetic predispositions, the pancreas on CT or similar imaging may be used for surveillance. Regular imaging allows healthcare professionals to monitor for any changes over time, facilitating early intervention if a problem arises. Technology continues to advance, and modern CT scanners now use lower doses of radiation while providing even sharper, more detailed images, making it a safer and more precise diagnostic tool than ever before.

Evaluating the pancreas through diagnostic imaging is an essential step in maintaining digestive and metabolic health. By relying on the clarity and detail provided by a CT scan, medical professionals can accurately pinpoint the cause of abdominal distress or track the progression of existing conditions. Understanding the procedure, the preparation required, and the information that radiologists look for can help demystify the process and alleviate any anxiety associated with medical imaging. Always consult with your primary care provider or a gastroenterologist to discuss your specific symptoms and determine if this diagnostic approach is the right path forward for your unique health journey. With accurate data provided by high-quality imaging, you and your medical team can make informed decisions to protect your long-term well-being.

Related Terms:

  • ct scan of pancreas images
  • ct pancreas indications
  • pancreas location ct abdomen
  • pancreas location ct
  • normal pancreas on ct abdomen
  • ct pancreas protocol pdf