Rp

Papillary Muscle Rupture

Papillary Muscle Rupture

A papillary muscle rupture is a rare but life-threatening mechanical complication that can occur following an acute myocardial infarction (heart attack). The papillary muscles are essential structures located within the ventricles of the heart; they anchor the mitral valve leaflets to the heart wall via chordae tendineae. When one of these muscles ruptures, the mitral valve can no longer close properly, leading to severe mitral regurgitation—a condition where blood flows backward into the left atrium instead of forward into the body. Because this event results in rapid cardiovascular collapse, it is considered a surgical emergency requiring immediate intervention.

Understanding the Mechanics of Papillary Muscle Rupture

To understand why a papillary muscle rupture is so devastating, it is helpful to look at the anatomy of the mitral valve. The heart has four chambers, and the left ventricle is responsible for pumping oxygenated blood to the rest of the body. The mitral valve acts as a gatekeeper between the left atrium and the left ventricle. During contraction (systole), the papillary muscles pull on the chordae tendineae to keep the mitral valve closed, preventing backflow.

When the blood supply to these muscles is compromised—usually due to a blockage in the coronary arteries—the muscle tissue dies (necrosis). If this area of dead tissue weakens and tears, the valve leaflet becomes “flail” or unanchored. This leads to:

Also read: Symptoms Of Herniated Disc
  • Acute Mitral Regurgitation: A sudden, massive volume of blood returning to the lungs.
  • Pulmonary Edema: Fluid backing up into the air sacs of the lungs.
  • Cardiogenic Shock: The heart’s inability to pump sufficient blood to maintain organ function.

Risk Factors and Causes

While the most common cause of a papillary muscle rupture is an acute heart attack, there are specific risk factors that make this complication more likely. Recognizing these early is crucial for high-risk cardiac patients.

  • Infarct Location: Ruptures are most commonly associated with inferior myocardial infarctions, as the posteromedial papillary muscle has a singular blood supply, making it more vulnerable than the anterolateral muscle.
  • Delayed Reperfusion: Patients who do not receive prompt treatment to restore blood flow to the heart muscle are at higher risk.
  • Advanced Age and Hypertension: Long-term strain on the cardiovascular system can weaken structural tissues.
  • Infective Endocarditis: While less common than ischemia, infection of the valve apparatus can also lead to rupture.

Signs and Symptoms

The presentation of a patient experiencing this rupture is typically dramatic and requires rapid assessment. Symptoms often develop within 2 to 7 days after the initial heart attack, although they can occur sooner.

Symptom Clinical Significance
Sudden onset dyspnea Severe difficulty breathing due to pulmonary fluid accumulation.
New loud murmur A harsh systolic murmur typically heard at the apex of the heart.
Hypotension Low blood pressure indicating the heart is failing to pump effectively.
Tachycardia A rapid heart rate as the body attempts to compensate for low output.

💡 Note: A patient presenting with sudden respiratory distress and signs of shock shortly after a heart attack should always be evaluated for mechanical complications, including papillary muscle rupture.

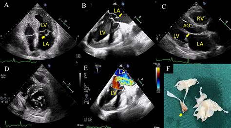
Diagnostic Approach

Speed is the primary priority in diagnosing this condition. Once a doctor suspects a mechanical failure of the mitral valve, they will utilize imaging technology to confirm the diagnosis and assess the extent of the damage.

The gold standard for diagnosis is Echocardiography. Specifically, a Transesophageal Echocardiogram (TEE) provides the most detailed view of the valve structures and the flapping leaflet. It allows the medical team to see the ruptured muscle and the severity of the backflow (regurgitation) in real-time.

Treatment Pathways

Because the mortality rate for papillary muscle rupture is high without intervention, the focus is on stabilizing the patient while preparing for surgery. Medical management is only a bridge to surgical repair or replacement.

  1. Hemodynamic Stabilization: The use of vasopressors and sometimes an intra-aortic balloon pump (IABP) may be necessary to support blood pressure and reduce the workload on the heart.
  2. Surgical Intervention: Surgery is the definitive treatment. This usually involves either repairing the mitral valve or replacing it with a prosthetic valve.
  3. Post-Operative Care: Patients require intensive monitoring in the ICU to manage cardiac output and prevent further ischemic events.

💡 Note: The use of diuretics may be required to manage pulmonary congestion, but these must be used cautiously in patients who are hemodynamically unstable.

Prognosis and Recovery

The outlook for a patient who suffers a papillary muscle rupture depends largely on how quickly the condition is diagnosed and addressed. With modern surgical techniques and rapid diagnostic capabilities, many patients can survive and recover. However, recovery is a long process involving cardiac rehabilitation and lifelong management of underlying coronary artery disease. Patients must adhere strictly to their medication regimen, which often includes antiplatelet therapy, blood pressure management, and lipid-lowering drugs to prevent subsequent heart attacks.

The survival of patients following this critical event relies heavily on the integration of timely emergency care, precise diagnostic imaging, and skilled cardiac surgery. While it remains one of the most frightening complications of a heart attack, the advancement of medical technology and surgical expertise provides a path forward for those affected. Preventing the rupture primarily involves the aggressive management of cardiovascular risk factors and ensuring that any signs of ischemia or heart failure are addressed immediately. By maintaining a vigilant approach to heart health and responding swiftly to acute symptoms, the risk of such severe mechanical complications can be mitigated. Constant communication with healthcare providers and a commitment to heart-healthy lifestyle changes remain the most effective tools in long-term cardiovascular health protection.

Related Terms:

  • papillary muscle rupture ecg
  • papillary muscle rupture echo
  • ventricular free wall rupture
  • papillary muscle rupture icd 10
  • papillary muscle rupture murmur
  • ventricular septal rupture