Cleve

Partial Empty Sella

Partial Empty Sella

The human brain is a marvel of biological engineering, tucked away within the protective cradle of the skull. Deep within this structure lies a small, pea-sized gland known as the pituitary, often referred to as the "master gland" due to its role in regulating vital hormones. Sometimes, during a routine brain scan or an investigation into unexplained health issues, a radiologist might identify an anomaly called a Partial Empty Sella. While the name might sound alarming, it is frequently an incidental finding that does not always signify a life-threatening condition, though it does warrant a thorough understanding of what it means for your endocrine health.

What is a Partial Empty Sella?

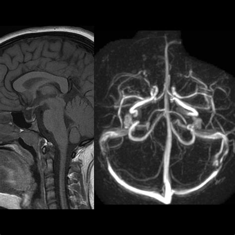
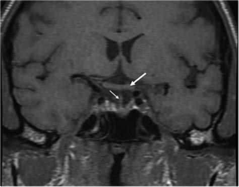
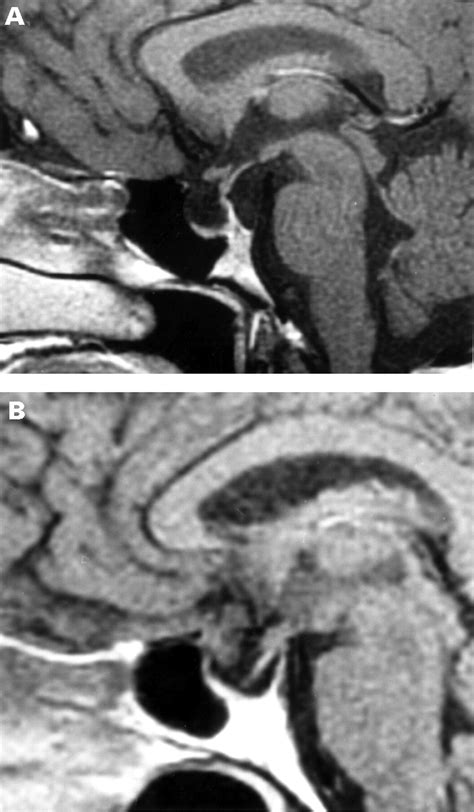
To understand this condition, we must first look at the sella turcica—a bony, saddle-shaped depression at the base of the skull that houses and protects the pituitary gland. In a typical anatomy, the sella is filled primarily by the pituitary gland itself. However, in individuals with an Empty Sella Syndrome (ESS), the sella appears "empty" on imaging results like an MRI or CT scan because it has become filled with cerebrospinal fluid (CSF).

When the condition is classified as a Partial Empty Sella, it means that the sella is only partially filled with CSF, while a significant portion of the pituitary gland remains in its expected position. This can occur due to a defect in the diaphragm sellae—the fold of dura mater that usually acts as a barrier between the brain and the pituitary gland. If this seal is weak, the increased pressure of the CSF can push into the sella, flattening the gland against the bony walls.

Causes and Risk Factors

Medical professionals generally categorize this condition into two types: primary and secondary. Understanding the distinction is crucial for determining the appropriate diagnostic pathway.

  • Primary Partial Empty Sella: This is often congenital or related to increased intracranial pressure. It is frequently seen in individuals who are obese, have hypertension, or in women of middle age.
  • Secondary Partial Empty Sella: This occurs due to an underlying event, such as a previously removed pituitary tumor, radiation therapy, or an injury to the base of the skull.

Several physiological and lifestyle factors are often associated with the development of this condition, as highlighted in the table below:

Factor Impact on Sella Turcica
Obesity Often linked to increased pressure on the intracranial structures.
Hypertension May contribute to changes in CSF dynamics.
Pregnancy Hormonal fluctuations can occasionally influence gland size and position.
Connective Tissue Disorders Weakened tissues may allow the CSF to herniate into the sella more easily.

💡 Note: While these factors are statistically correlated, having them does not guarantee the development of a Partial Empty Sella. Consult your healthcare provider for an individualized assessment.

Recognizing the Symptoms

One of the most important things to remember about a Partial Empty Sella is that many people lead healthy, normal lives without ever knowing they have it. It is often discovered "incidentally" when doctors are searching for the cause of headaches or vision changes. However, when the condition does cause symptoms, they are usually related to the compression of the pituitary gland or the secondary effects on hormone production.

Common clinical presentations include:

  • Endocrine Dysfunction: Because the pituitary controls the thyroid, adrenal glands, and sex organs, you might experience fatigue, irregular menstrual cycles, or issues with metabolic regulation.
  • Headaches: Persistent or recurrent headaches are a common complaint among those diagnosed with this structural finding.
  • Vision Changes: Although rare in the partial form, excessive pressure can sometimes affect the optic nerves located near the sella.
  • Elevated Prolactin Levels: The pituitary may sometimes secrete higher levels of prolactin, which can affect libido and reproductive function.

Diagnostic Procedures

If a doctor suspects you have a Partial Empty Sella, they will likely start with an MRI scan, as it provides the most detailed look at the brain structure. Once the imaging confirms the finding, the focus shifts from the "empty" space to the functionality of the gland. A comprehensive evaluation usually involves:

  1. Blood Hormone Panels: This is the most critical step. Your doctor will check levels of TSH (thyroid), ACTH (adrenal), FSH/LH (reproductive), and GH (growth hormone).
  2. Neurological Assessment: A physical exam to rule out ocular or nerve-related symptoms.
  3. Review of Medical History: Determining if you have had any past trauma, surgery, or radiation that might explain the finding.

Management and Treatment Options

The "treatment" for a Partial Empty Sella is usually not focused on the structural anatomy itself, but rather on managing the hormonal consequences. Since surgery is rarely required unless there is a significant tumor or a life-threatening CSF leak, the strategy is typically conservative.

If blood tests reveal that your pituitary function is compromised, your endocrinologist will likely suggest Hormone Replacement Therapy (HRT). This is generally very effective at restoring balance to the body. If headaches are the primary issue, standard analgesic treatments or migraine management protocols are typically sufficient. Monitoring is key; your doctor may suggest periodic follow-up scans to ensure that the condition remains stable over time.

💡 Note: Do not attempt to self-diagnose hormonal imbalances. Always seek a specialist, such as an endocrinologist, to interpret your hormone levels in the context of your imaging results.

Living Well with the Condition

Living with a diagnosis of a Partial Empty Sella does not mean you have to compromise your quality of life. In fact, for the vast majority, this is simply a anatomical variation. Focusing on a healthy lifestyle—maintaining a balanced weight, controlling blood pressure, and managing stress—can help mitigate potential risks associated with intracranial pressure. Regular check-ups with your primary care provider ensure that if any hormonal shifts do occur, they are caught early and treated promptly.

Education is your best tool for peace of mind. By working closely with medical professionals, you can ensure that your health is managed based on hard data rather than speculation. Remember that your pituitary gland is remarkably resilient, and even with structural changes in the sella, the body often continues to function with great efficiency, provided the basic hormonal pathways are supported when necessary.

Ultimately, a finding of a Partial Empty Sella is often a sign of a structural feature that the body has adapted to over time. While it may require periodic monitoring of hormone levels to ensure that your endocrine system remains in balance, most individuals find that their daily lives are unaffected. By prioritizing regular health screenings, staying informed about your specific hormonal profile, and maintaining an open line of communication with your medical team, you can navigate this diagnosis with confidence. Whether it is an incidental finding or a contributing factor to specific health symptoms, understanding the role of the pituitary and the significance of the sella turcica empowers you to take an active, proactive role in your long-term well-being.

Related Terms:

  • partial empty sella mri
  • partial empty sella radiology
  • partial empty sella mri brain
  • empty sella syndrome radiology
  • partial empty sella turcica
  • partial empty sella ct