Rp

Penis Anatomy Radiology

Penis Anatomy Radiology

Understanding penis anatomy radiology is essential for clinicians, radiologists, and urologists tasked with diagnosing complex conditions affecting the male genitalia. While external examination is the first line of diagnostic assessment, imaging modalities such as magnetic resonance imaging (MRI) and ultrasound have become indispensable for mapping the internal architecture of the penis. Precise anatomical knowledge allows for the accurate staging of pathologies ranging from traumatic injuries and erectile dysfunction to Peyronie’s disease and penile neoplasms.

Core Anatomical Structures Relevant to Radiology

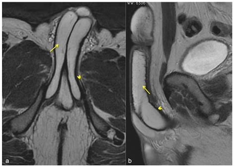
To accurately interpret imaging studies, one must have a granular understanding of the soft tissue compartments of the penis. The organ is primarily composed of three cylindrical bodies wrapped in a dense fibrous sheath known as the tunica albuginea.

  • Corpora Cavernosa: These are the two primary erectile cylinders located dorsally. On MRI, they appear as symmetric structures with intermediate signal intensity.
  • Corpus Spongiosum: Located ventrally, this structure houses the urethra. It typically demonstrates a slightly different signal intensity compared to the corpora cavernosa, particularly on T2-weighted imaging.
  • Tunica Albuginea: This robust layer of connective tissue is crucial in radiology. Its integrity is the primary focus when assessing for penile fractures. In MRI, it appears as a distinct, low-signal intensity (dark) rim surrounding the corpora cavernosa.
  • Buck’s Fascia: A deep layer of fascia that invests the erectile bodies, acting as a barrier to the spread of infection or hematoma.

Imaging Modalities for Penile Evaluation

The choice of imaging depends heavily on the suspected pathology. Each modality offers unique advantages in visualizing penis anatomy radiology markers.

Ultrasound (US)

High-frequency ultrasound is the preferred modality for initial evaluation, especially in cases of suspected Peyronie’s disease or vascular-related erectile dysfunction. Color Doppler ultrasound allows for the assessment of blood flow within the cavernosal arteries, which is vital for diagnosing venous leak or arterial insufficiency.

Magnetic Resonance Imaging (MRI)

MRI is the gold standard for high-resolution imaging of the penis. Its superior soft-tissue contrast makes it the preferred tool for local staging of penile cancer and identifying occult injuries.

Imaging Modality Primary Clinical Application Key Diagnostic Advantage
Ultrasound Peyronie’s, Vascular ED Dynamic flow assessment; low cost.
MRI Penile Cancer, Fractures High anatomical detail; tissue characterization.
CT Scan Trauma, Bone Involvement Rapid acquisition; better for fractures involving bone.

⚠️ Note: When performing MRI for penile pathologies, using a multi-coil array is highly recommended to achieve the necessary signal-to-noise ratio for detailed anatomical visualization.

Radiological Assessment of Pathologies

When applying penis anatomy radiology principles to pathological cases, practitioners look for specific deviations from normal signal intensity or anatomical symmetry.

Penile Fracture

A penile fracture is a rupture of the tunica albuginea due to blunt trauma while the penis is erect. The classic radiological finding is a defect or “discontinuity” in the low-signal-intensity tunica albuginea. MRI is particularly useful here to demonstrate the exact site of the tear and the extent of the surrounding hematoma.

Peyronie’s Disease

This condition involves the development of fibrous plaques within the tunica albuginea. Ultrasound is excellent for detecting these calcified or non-calcified plaques, showing them as focal thickening or hyperechoic areas within the tunica. MRI can further characterize the inflammatory status of these plaques, which may assist in determining the appropriate timing for surgical intervention.

Penile Neoplasms

Staging penile carcinoma requires accurate assessment of the depth of invasion into the tunica albuginea and the corpora cavernosa. Gadolinium-enhanced MRI provides a detailed map of tumor extension, which is critical for surgeons planning organ-sparing procedures. Radiologists pay close attention to the preservation of the tunica albuginea, as its involvement significantly changes the surgical prognosis and approach.

Technical Considerations for Optimal Imaging

Achieving clear images requires proper patient positioning and imaging protocols. For MRI studies, the penis is often positioned against the abdominal wall or held in a neutral position to prevent artifacts. Artifacts caused by movement or signal drop-off can obscure subtle anatomical changes, making patient cooperation and precise coil placement vital.

Furthermore, standardizing the protocol across the radiology department ensures that findings are reproducible. Whether evaluating the vascular supply or the integrity of the fibrous sheaths, maintaining consistent slice thickness and sequence orientation (axial, sagittal, and coronal planes) is necessary for comprehensive diagnostic reports.

💡 Note: Always ensure the patient is informed about the nature of the examination, as the sensitive location of the imaging target may cause discomfort or anxiety, which can lead to movement artifacts.

In the final assessment of penile health, the synergy between clinical examination and radiological findings remains the cornerstone of modern urologic medicine. By leveraging the high resolution of MRI and the dynamic capabilities of ultrasound, clinicians can visualize internal anatomy with unprecedented clarity. This diagnostic accuracy not only guides life-altering treatment decisions but also ensures that structural abnormalities are identified early, leading to better functional outcomes for the patient. Mastery of these imaging techniques and a deep familiarity with the complex, layered structure of the penile anatomy are fundamental requirements for any radiologist working within the specialized field of male genital diagnostics.

Related Terms:

  • Corpora Spongiosum Anatomy
  • Pelvic Muscle Anatomy MRI
  • Testicular Cancer CT Scan
  • Prostate Cancer MRI
  • Cavernosal Artery
  • Angiography