Cleve

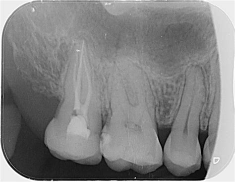
Periapical X Ray

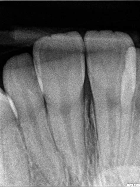
Periapical X Ray

When you visit your dentist for a toothache or a routine check-up, they may recommend a specific type of dental imaging to get a clearer picture of your oral health. Among the various diagnostic tools available in modern dentistry, the Periapical X Ray stands out as an essential imaging technique. Unlike broader panoramic X-rays that capture the entire jaw, a periapical image focuses on one or two specific teeth, providing an incredibly detailed view of the tooth from the crown down to the very tip of the root and the surrounding bone structure. Understanding what this procedure entails can help alleviate any anxiety you might feel about your upcoming dental appointment.

What Exactly is a Periapical X Ray?

A Periapical X Ray, often referred to simply as a "PA," is a close-up, high-resolution diagnostic image. The term "periapical" literally translates to "around the apex," with the apex being the tip of the tooth root. This specific type of X-ray is designed to show the entirety of the tooth—from the biting surface (crown) down to the root end—as well as the surrounding supporting bone.

Because it offers such fine detail, dentists utilize this scan to diagnose specific problems that might be missed by broader imaging methods. Whether you are experiencing localized pain, sensitivity, or require a procedure that demands precision, this X-ray is often the first step toward an accurate diagnosis.

Dentist examining a digital X-ray on a monitor

Why Do Dentists Require a Periapical X Ray?

The primary purpose of a Periapical X Ray is to identify issues that are hidden from the naked eye. While a dentist can see the surface of your teeth, they cannot see the bone, the roots, or the hidden areas of decay between teeth without imaging. Here are the most common reasons why your dentist might order this scan:

  • Detecting Abscesses: To see infections or pockets of pus forming at the tip of the root.
  • Root Canal Planning: To visualize the shape, length, and condition of the root canals before performing a root canal treatment.
  • Identifying Bone Loss: To evaluate the health of the bone supporting the teeth, which is crucial for diagnosing periodontal disease.
  • Diagnosing Impacted Teeth: To determine the exact position of wisdom teeth or other teeth that haven't fully erupted.
  • Trauma Assessment: To check for fractures or damage to the root after an injury to the mouth or jaw.

How the Procedure Works

The process for taking a Periapical X Ray is straightforward, quick, and generally painless. Modern dental offices have transitioned almost entirely to digital radiography, which makes the process even faster and safer than traditional film methods.

  1. Preparation: You will be given a lead-lined apron to wear, which protects your body from unnecessary radiation exposure.
  2. Sensor Placement: The dental assistant or technician will place a small, digital sensor (or film) inside your mouth, positioned directly behind the tooth or teeth being imaged.
  3. Positioning: The X-ray machine head is positioned carefully near your cheek, aimed precisely at the sensor.
  4. Exposure: You will be asked to hold still while the X-ray machine emits a brief, low-dose burst of radiation. This takes less than a second.
  5. Processing: With digital X-rays, the image appears almost instantly on the dentist's computer monitor, allowing for immediate analysis.

💡 Note: While you might feel slight pressure in your mouth when the sensor is placed, the procedure is not painful. If you have a strong gag reflex, let your dental team know; they can often adjust the sensor placement to make you more comfortable.

Comparison of Dental Imaging Techniques

Understanding the difference between common dental X-rays can help you know what to expect. While a Periapical X Ray provides deep detail for a single area, other types serve different purposes.

X-Ray Type Area Covered Primary Use
Periapical 1–2 Teeth (Full length) Root infections, fractures, abscesses
Bitewing Crowns of upper/lower teeth Cavities between teeth, gum health
Panoramic Entire mouth and jaw Orthodontics, wisdom teeth, jaw joints

Safety Considerations and Radiation Exposure

One of the most frequent questions patients ask is about the safety of radiation. It is important to understand that the radiation dose from a modern Periapical X Ray is extremely low. Dentists follow the ALARA principle—"As Low As Reasonably Achievable"—to ensure that patients receive the minimum amount of radiation necessary for a high-quality diagnostic image.

Digital radiography has significantly reduced the radiation dose compared to older, film-based X-rays. Furthermore, the focus of the beam is highly targeted, meaning radiation is not scattered across your entire head. The benefit of diagnosing a serious infection or decay far outweighs the minimal risk associated with the diagnostic scan.

💡 Note: Always inform your dentist if there is any chance you are pregnant, as they may take extra precautions or delay non-emergency X-rays.

The Benefits of Early Detection

Choosing to move forward with a recommended Periapical X Ray can be a crucial decision for your long-term oral health. By catching issues early—such as a small fracture or an incipient abscess—you can often avoid more invasive and expensive treatments later on. For example, treating a minor infection at the root tip is significantly simpler than managing a full-blown dental emergency caused by a neglected abscess. This diagnostic tool allows your dentist to practice proactive, rather than reactive, dentistry.

By providing an incredibly detailed view of both the tooth and its supporting structures, the periapical radiograph serves as a cornerstone of modern diagnostic dentistry. Whether you are dealing with localized pain or preparing for a specific dental procedure, this imaging technique offers the clarity required for accurate assessment and effective treatment planning. With minimal radiation exposure and a quick, painless process, it is a highly safe and necessary tool for maintaining your long-term dental health. Always discuss any concerns you have with your dentist, who can provide personalized guidance regarding your specific oral health needs.

Related Terms:

  • periapical x rays meaning
  • periapical x rays dental code
  • bitewing vs periapical x rays
  • dental x ray periapical
  • periapical x rayimages
  • intraoral periapical x