Rp

Pi Rads 4

Pi Rads 4

Receiving a radiology report containing the term Pi Rads 4 can be an unsettling experience for many patients. Understanding what this diagnostic classification means is the first step toward navigating your prostate health journey with clarity and confidence. The PI-RADS (Prostate Imaging-Reporting and Data System) scoring system is a standardized framework used by radiologists to interpret multiparametric MRI (mpMRI) scans of the prostate. It helps clinicians assess the likelihood of clinically significant prostate cancer being present. A score of 4 indicates a high suspicion of malignancy, which necessitates a structured follow-up approach to ensure accurate diagnosis and appropriate management.

What Exactly is a PI-RADS Score?

The PI-RADS framework was developed to reduce inconsistency in how prostate MRI scans are reported across different medical centers. By using a 1 to 5 scale, radiologists can communicate the level of risk to urologists more effectively. The scores represent the likelihood that a lesion found on the scan is a clinically significant cancer, which refers to cancer that requires treatment rather than just observation.

  • PI-RADS 1: Very low likelihood of clinically significant cancer.
  • PI-RADS 2: Low likelihood.
  • PI-RADS 3: Intermediate likelihood.
  • PI-RADS 4: High likelihood of clinically significant cancer.
  • PI-RADS 5: Very high likelihood.

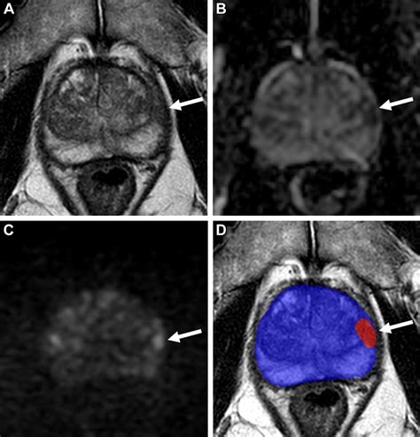
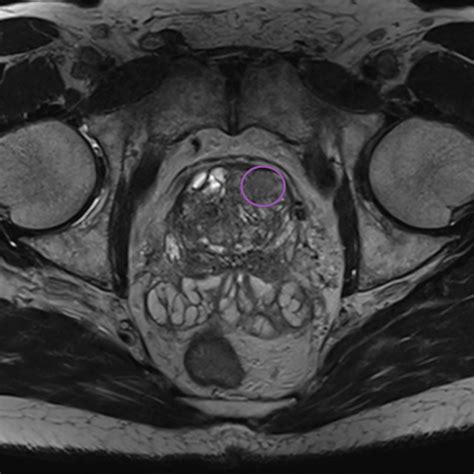
When a patient is assigned a Pi Rads 4 score, it means that there is a well-defined lesion on the MRI that exhibits characteristics highly suggestive of a potentially aggressive tumor. Specifically, for peripheral zone lesions, this means a focal, low-signal intensity lesion on T2-weighted imaging and marked diffusion restriction on Diffusion-Weighted Imaging (DWI). For transition zone lesions, it refers to a lenticular or non-circumscribed, encapsulated, moderately hypointense lesion.

The Clinical Implications of a PI-RADS 4 Finding

A Pi Rads 4 result is not a definitive diagnosis of cancer; it is a clinical indicator of high risk. It is vital to understand that imaging alone cannot confirm the presence of cancer with 100% certainty. The primary purpose of this score is to guide the urologist in determining whether a biopsy is necessary. In almost all cases, a Pi Rads 4 finding will lead to a recommendation for a targeted prostate biopsy to gather tissue samples for histological examination under a microscope.

PI-RADS Score Risk Level Typical Clinical Recommendation
1-2 Low Active surveillance or standard follow-up
3 Intermediate Individualized assessment, possible biopsy
4 High Biopsy recommended
5 Very High Biopsy highly recommended

⚠️ Note: Always consult with a specialized urologist to discuss your specific PI-RADS score in the context of your PSA levels, digital rectal exam (DRE) results, and overall medical history.

Diagnostic Procedures Following a PI-RADS 4 Report

Once a Pi Rads 4 lesion is identified, the standard protocol typically involves a fusion biopsy. This procedure combines the real-time ultrasound imaging used during the biopsy with the previously taken MRI scan. By "fusing" these images, the urologist can accurately guide the biopsy needle directly into the suspicious area identified as Pi Rads 4 on the MRI. This technique is significantly more accurate than traditional, random biopsies, which may miss small or localized lesions.

Before proceeding with a biopsy, your medical team will likely consider several factors:

  • PSA Density: The ratio of your PSA level to the volume of your prostate.
  • PSA Velocity: How rapidly your PSA levels have changed over recent years.
  • Family History: Genetic predispositions to prostate cancer.
  • Physical Examination: Findings from a DRE.

The Role of MRI-Ultrasound Fusion Biopsy

The advancement of fusion biopsy technology has been a game-changer for patients with Pi Rads 4 findings. Because the biopsy is targeted, there is a higher probability of catching clinically significant cancer if it is present. This reduces the risk of false negatives that could occur with systematic sampling. If the biopsy results return as negative, despite the Pi Rads 4 score, your doctor may suggest short-term follow-up imaging or a repeat biopsy at a later date, depending on clinical concern.

💡 Note: While a biopsy is the definitive diagnostic step, it is a routine procedure performed by urologists to provide clarity and prevent delayed treatment if cancer is present.

Psychological Impact and Managing Expectations

Facing a potential cancer diagnosis is inherently stressful. It is essential to recognize that a Pi Rads 4 finding is a tool for early detection. Early detection remains the most effective way to ensure successful treatment outcomes. Engaging in a candid conversation with your healthcare provider about what the results mean for you personally can help alleviate some of the anxiety associated with the waiting period between the MRI and the biopsy.

Focus on gathering information from reputable sources and avoid jumping to conclusions before the pathology report is available. Remember that many men with suspicious imaging findings are found to have benign conditions or slow-growing lesions that do not require immediate, aggressive intervention.

Final Thoughts on Your Next Steps

Receiving a Pi Rads 4 classification on your prostate MRI is a serious finding that requires professional medical attention, but it should not be viewed as an automatic diagnosis of advanced cancer. The scoring system serves its purpose best by acting as a roadmap for your medical team, allowing them to pinpoint areas that need closer investigation. By opting for a targeted biopsy as recommended by your urologist, you are taking a proactive and evidence-based approach to managing your health. Stay in close contact with your medical team, ask detailed questions about the location and characteristics of the lesion, and ensure that you understand the full context of your diagnosis. Armed with the right information and a coordinated care plan, you are in the best position to manage your prostate health effectively and move forward with the necessary diagnostic or therapeutic steps.

Related Terms:

  • pi rads 4 prognosis
  • pi rads 4 lesion prognosis
  • is pi rads 4 serious
  • overall pi rads category 4
  • what is pi rads 5
  • pi rads 4 definition