Rp

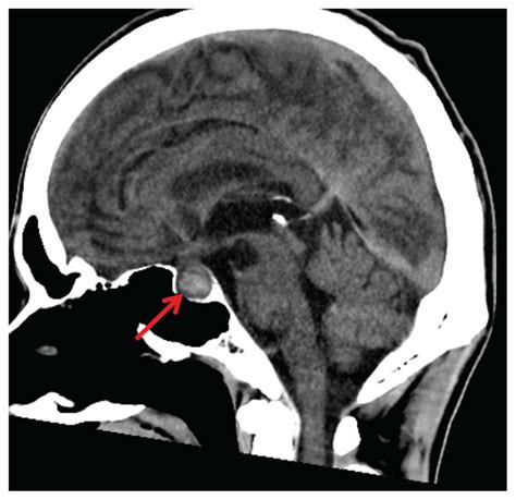
Pituitary Gland Mri

Pituitary Gland Mri

The pituitary gland, often referred to as the "master gland," plays a critical role in regulating numerous bodily functions by releasing essential hormones. Because of its small size and strategic location at the base of the brain, identifying abnormalities within it requires specialized diagnostic tools. A pituitary gland MRI (Magnetic Resonance Imaging) is the gold-standard imaging technique used by physicians to visualize this complex structure in high detail. By utilizing strong magnetic fields and radio waves, this non-invasive test provides clear images that help doctors diagnose conditions ranging from benign tumors to hormonal imbalances.

Understanding the Need for a Pituitary Gland MRI

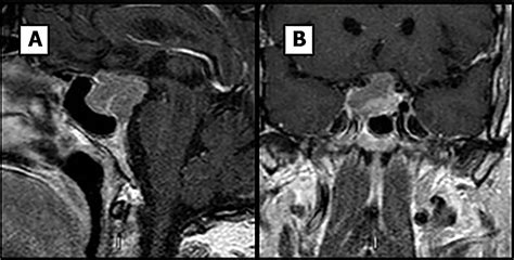
When patients present with symptoms related to hormonal dysregulation, a healthcare provider may order imaging to investigate the pituitary gland. This gland sits within a bony structure called the sella turcica. Because this area is quite intimate, standard brain scans may not always offer the resolution required to see micro-adenomas—very small tumors that can significantly affect hormone production. A dedicated pituitary gland MRI focuses specifically on this region, ensuring that even minute structural changes are identified.

Common clinical reasons for ordering this procedure include:

  • Unexplained elevated hormone levels (detected through blood work).
  • Persistent, unexplained headaches or vision changes (suggesting potential mass effect).
  • Symptoms of Cushing’s disease or acromegaly.
  • Evaluation of secondary hypothyroidism or hypogonadism.
  • Monitoring known pituitary tumors for growth or treatment response.

How the MRI Procedure Works

The process of undergoing a pituitary gland MRI is designed to be as comfortable as possible while ensuring the highest image quality. Unlike X-rays or CT scans, MRI technology does not use ionizing radiation. Instead, it interacts with the hydrogen atoms in your body to create detailed, cross-sectional images.

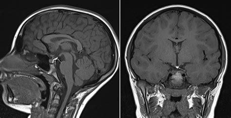
For the most accurate results, a contrast agent (often gadolinium) is frequently used. This substance is injected intravenously to highlight blood flow and differentiate between healthy gland tissue and potential lesions or tumors. The contrast agent allows the radiologist to see the pituitary anatomy in vivid detail, making it easier to spot abnormalities that might otherwise be overlooked.

Aspect Description
Duration Typically 30 to 60 minutes.
Contrast Often required (gadolinium) for better visibility.
Radiation None (uses magnetic fields).
Preparation Minimal, but check for metallic implants.

⚠️ Note: Always inform your radiologist if you have a pacemaker, cochlear implant, metal fragments in your eyes, or if you are pregnant, as these can interfere with the MRI machine’s magnetic field.

Preparing for Your Scan

Preparation for a pituitary gland MRI is generally straightforward. Since the MRI machine creates a powerful magnetic field, safety is the primary concern. You will be asked to remove all metallic objects, including jewelry, watches, hearing aids, and certain types of clothing that may contain metal fasteners.

If you are prone to claustrophobia, it is vital to discuss this with your doctor ahead of time. They may provide a mild sedative to help you stay relaxed during the exam. Once inside the scanning suite, you will lie on a motorized table that slides into the machine. You will hear loud tapping or thumping noises during the scan; this is normal, and you will usually be provided with earplugs or headphones to make the experience more comfortable.

What to Expect During the Scan

The most important part of the pituitary gland MRI is remaining perfectly still. Even slight movement can create "blurriness" in the images, potentially leading to the need for a repeat scan. A technologist will communicate with you throughout the process via an intercom. If contrast dye is used, you might feel a cool sensation in your arm as it is administered. The technologist will monitor you closely during the entire process to ensure your safety and comfort.

Interpreting the Results

Once the images are acquired, they are sent to a radiologist—a doctor who specializes in medical imaging. The radiologist carefully reviews the scans for any signs of enlargement, masses, or structural abnormalities within the pituitary gland or the surrounding tissues, such as the optic chiasm. The findings are documented in a comprehensive report, which is then sent to the physician who ordered the scan. Your doctor will then correlate these findings with your blood work and clinical symptoms to determine the next steps in your care.

Benefits and Risks

The primary benefit of a pituitary gland MRI is its unparalleled ability to differentiate between soft tissues without the use of radiation. It is the most sensitive diagnostic tool for finding pituitary adenomas at an early stage, which is crucial for effective treatment.

Regarding risks, they are minimal but worth noting:

  • Contrast Sensitivity: While gadolinium is generally safe, some individuals may have a mild allergic reaction.
  • Implant Interference: Individuals with specific medical hardware (such as old-style pacemakers) may not be candidates for MRI.
  • Claustrophobia: The confined space of the machine can cause anxiety in some patients.

ℹ️ Note: If you have a history of kidney disease, inform your medical team before the procedure, as this may impact whether contrast dye can be safely administered.

Advanced Imaging Techniques

In some specialized centers, advanced MRI techniques are used for a more nuanced diagnosis. For example, dynamic contrast-enhanced MRI involves taking a series of images in rapid succession immediately after the contrast is injected. This allows radiologists to see exactly how a potential tumor "fills" with blood compared to healthy tissue, offering deeper insight into the nature of the lesion. These specialized approaches are highly beneficial when standard imaging results are inconclusive but clinical suspicion of a pituitary disorder remains high.

Navigating the diagnostic process for a suspected pituitary issue can feel overwhelming, but modern imaging technology provides a clear window into this vital organ. By utilizing a high-resolution pituitary gland MRI, medical professionals can accurately identify and treat conditions that were once far more difficult to diagnose. Through clear communication with your healthcare team, careful preparation, and an understanding of the diagnostic process, you can move forward with confidence in your health management plan. Always consult with your endocrinologist or neurologist to interpret these results accurately, as they are the best equipped to translate radiological data into a personalized treatment strategy for your specific condition.

Related Terms:

  • pituitary gland mri radiopaedia
  • pituitary gland mri axial
  • pituitary gland mri scan
  • pituitary gland mri with contrast
  • pituitary gland mri cpt code
  • pituitary gland ct