Rp

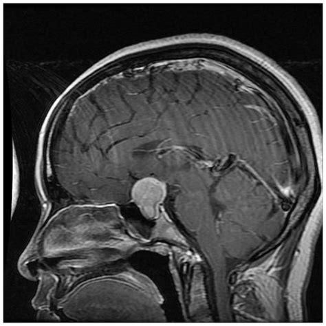
Pituitary Microadenoma Mri

Pituitary Microadenoma Mri

Receiving a diagnosis or a suggestion from your doctor to undergo a Pituitary Microadenoma MRI can be an anxiety-inducing experience. However, understanding what this procedure entails, why it is necessary, and what the results actually mean can significantly alleviate that stress. A pituitary microadenoma is a small, typically benign tumor located in the pituitary gland—a pea-sized structure at the base of the brain often referred to as the "master gland" because it controls many vital functions of the endocrine system. Because these growths are small (defined as less than 10 millimeters in diameter), specialized imaging is required to visualize them accurately, making the MRI the gold standard for diagnosis.

Understanding Pituitary Microadenomas

The pituitary gland produces essential hormones that regulate growth, blood pressure, metabolism, and reproductive functions. When a microadenoma develops, it may be "functioning"—meaning it secretes excessive amounts of these hormones—or "non-functioning," meaning it does not disrupt hormone production but may cause symptoms due to its physical presence as it grows.

Common symptoms that may lead a physician to order an MRI include:

  • Persistent, unexplained headaches.
  • Vision changes, such as loss of peripheral vision (bitemporal hemianopsia), though this is more common with larger macroadenomas.
  • Unexplained hormonal imbalances (e.g., irregular periods, unexpected lactation, or changes in growth).
  • Chronic fatigue or sudden, unexplained weight changes.

Because these symptoms are vague and often mimic other conditions, the Pituitary Microadenoma MRI is the critical diagnostic tool that allows radiologists to confirm or rule out the presence of these small lesions with high precision.

The Importance of MRI for Pituitary Diagnosis

When it comes to identifying lesions under 10mm, not all imaging techniques are created equal. A standard brain MRI may sometimes miss a microadenoma. Consequently, a dedicated pituitary protocol is essential. This specialized scan focuses heavily on the sella turcica, the bony structure housing the pituitary gland.

The key components that make a specialized Pituitary Microadenoma MRI effective include:

  • Contrast Enhancement: Using a contrast agent (typically gadolinium) is vital. Because the pituitary gland takes up contrast differently than the tumor, this difference allows the microadenoma to "pop" on the scan images.
  • Thin-Section Imaging: The radiologist will request thin slices (often 2mm or 3mm) to ensure small lesions are not lost between image slices.
  • Dynamic Imaging: In some protocols, images are taken rapidly immediately after the contrast is injected to capture the exact moment of differential enhancement between the gland and the adenoma.

⚠️ Note: Always inform your healthcare provider if you have any history of kidney disease or allergies to contrast dye, as these factors may alter the protocol used for your MRI.

Preparing for Your MRI Appointment

Proper preparation ensures that the imaging process is smooth and that the resulting scans are of the highest diagnostic quality. Before scheduling, ensure that your physician has specifically requested a pituitary protocol to ensure the radiology department is prepared to perform the necessary thin-slice, contrast-enhanced sequences.

Preparation Step Details
Check for Metal Remove all jewelry, piercings, watches, or hairpins.
Medical Devices Inform staff about pacemakers, cochlear implants, or metal implants.
Fasting Ask if fasting is required, especially if contrast will be used.
Claustrophobia If you struggle with tight spaces, ask about open MRIs or mild sedatives.

Once you are in the scanner, you must remain as still as possible. The machine will make loud knocking or whirring sounds, so you will likely be provided with earplugs or headphones to block the noise. The entire procedure usually takes between 30 to 45 minutes.

Interpreting the Findings

After the scan is complete, a radiologist will interpret the images and send a report to your doctor. It is important to remember that finding a small lesion on an MRI does not automatically mean it requires surgery or aggressive treatment. Many microadenomas are discovered incidentally and are entirely asymptomatic.

If a tumor is identified, your endocrinologist and neurosurgeon will weigh several factors:

  • Hormone Levels: Are blood tests showing an excess of hormones?
  • Tumor Size: Is there potential for the tumor to expand and impact nearby structures, like the optic chiasm?
  • Symptom Severity: Is the tumor actively causing health problems or quality-of-life issues?

In many cases, the recommended management plan is "watchful waiting." This involves periodic follow-up MRIs and ongoing blood work to ensure the adenoma remains stable and does not progress. In other cases, medication may be sufficient to shrink the tumor or normalize hormone levels. Surgery is generally reserved for cases where vision is threatened or medical management has failed.

💡 Note: Do not attempt to interpret your own MRI images. Radiologists are trained to distinguish between anatomical variations and actual pathology. Always wait for a consultation with your specialist to discuss the implications of your specific scan report.

Reflections on Diagnostic Imaging

Navigating the path from suspecting a pituitary issue to getting a definitive diagnosis requires patience and the right diagnostic tools. A Pituitary Microadenoma MRI is an incredibly safe and highly effective procedure that provides the clarity needed to determine the best course of action for your health. Whether the result confirms a microadenoma or provides a clean bill of health, obtaining this information is the most proactive step you can take toward peace of mind and, if necessary, effective treatment. By understanding the importance of specialized protocols, preparing properly, and working closely with an endocrinologist, you ensure that the imaging process yields the most accurate information possible for your unique clinical situation.

Related Terms:

  • symptoms of pituitary adenoma
  • mri pituitary adenoma pictures
  • tumor on pituitary gland symptoms
  • pituitary tumor images on mri
  • micro vs macroadenoma pituitary
  • pituitary adenoma images