Cleve

Placenta Accreta Spectrum

Placenta Accreta Spectrum

The pregnancy journey is often filled with anticipation and joy, but it also carries potential medical complexities that expectant parents and healthcare providers must navigate with vigilance. One of the most serious and complex conditions in modern obstetrics is Placenta Accreta Spectrum (PAS). As maternal health awareness grows, understanding what this condition entails, why it happens, and how it is managed has become crucial for informed prenatal care. PAS represents a range of pathological placental adherence, where the placenta attaches too deeply into the uterine wall, posing significant risks during childbirth that require specialized medical intervention.

Understanding Placenta Accreta Spectrum

Placenta Accreta Spectrum refers to a group of conditions that occur when the placenta grows too deeply into the uterine wall. In a typical pregnancy, the placenta attaches to the uterine lining and detaches easily after the baby is born. However, in cases of PAS, the placenta fails to separate or separates only partially, which can lead to life-threatening hemorrhage during delivery.

The spectrum is classified based on the depth of the placental invasion:

  • Placenta Accreta: The placenta attaches directly to the myometrium (the uterine muscle) rather than just the uterine lining. This is the most common form.
  • Placenta Increta: The placenta invades further into the uterine muscle.
  • Placenta Percreta: The most severe form, where the placenta penetrates through the entire uterine wall and may attach to nearby organs, such as the bladder.

Early diagnosis is the cornerstone of managing this condition safely, as it allows for a multidisciplinary team approach to be planned well in advance of the delivery date.

Primary Risk Factors and Causes

The incidence of Placenta Accreta Spectrum has risen significantly over the past few decades. The most significant contributing factor is the increasing rate of cesarean sections. When a woman has had a previous cesarean section, scar tissue forms in the uterus. If the placenta implants over this scar, it is significantly more likely to invade the muscle layer.

Key risk factors include:

  • History of prior cesarean sections (risk increases with each subsequent C-section).
  • Placenta previa (where the placenta covers all or part of the cervix).
  • Previous uterine surgeries, such as myomectomy or other uterine scarring procedures.
  • Advanced maternal age.
  • Previous uterine curettage (e.g., for miscarriage management).

When placenta previa is combined with a history of a cesarean delivery, the risk of developing Placenta Accreta Spectrum increases exponentially, making it a critical screening point during routine ultrasound examinations.

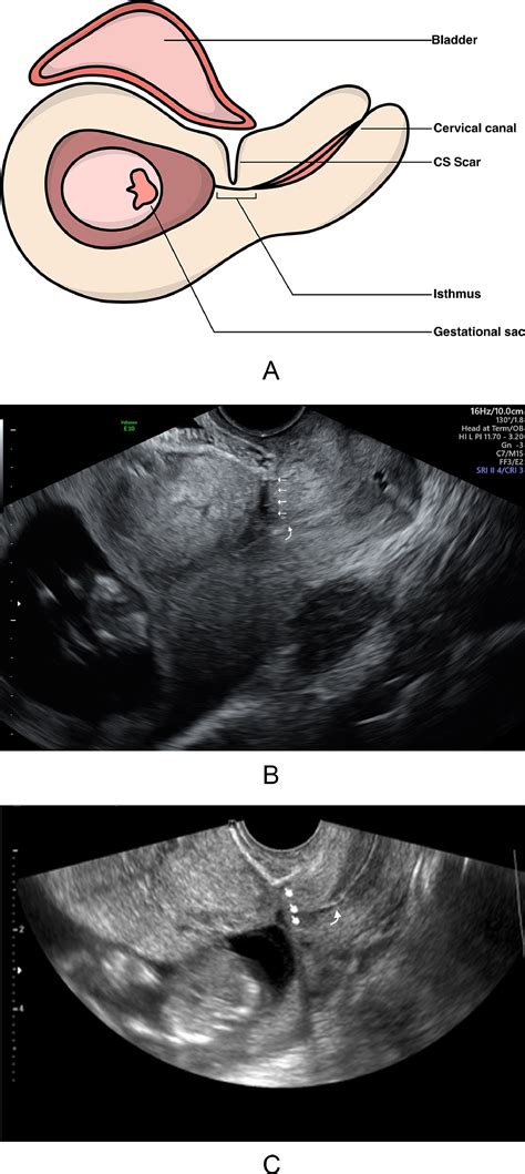
Diagnostic Procedures and Imaging

Modern obstetric imaging has made the identification of Placenta Accreta Spectrum much more reliable than in the past. Most cases are identified during the second or third-trimester ultrasound, where specific markers of abnormal placental vascularity are sought by trained sonographers.

Diagnostic Marker Description
Loss of Retroplacental Clear Zone The thin, hypoechoic area between the placenta and the uterus disappears.
Abnormal Placental Lacunae Large, irregular vascular spaces within the placenta that may resemble "Swiss cheese."
Bladder Wall Interruption The interface between the bladder and the uterus appears irregular, suggesting deep invasion.
Exophytic Mass Placental tissue bulging beyond the normal uterine contour.

⚠️ Note: While ultrasounds are highly effective, MRI is often utilized as an adjunct imaging tool to provide better visualization of the depth of invasion, especially in cases where the placenta is located on the posterior wall of the uterus.

Management Strategies and Surgical Care

Once a diagnosis of Placenta Accreta Spectrum is confirmed, the standard of care is a planned cesarean hysterectomy. This is performed at a specialized medical center with a high-level multidisciplinary team, including obstetricians, gynecologic oncologists, urologists, and specialized anesthesiologists.

By planning the delivery, surgeons can ensure that blood products are readily available and that the patient is in the best possible condition to handle the potential blood loss associated with the surgery. Attempting to detach the placenta manually in a patient with PAS can trigger massive, uncontrollable hemorrhage, which is why hysterectomy—leaving the placenta in situ while removing the uterus—is the safest approach to preserve the patient’s life.

In very specific, rare instances where the patient desires future fertility, conservative management may be discussed, though it carries extremely high risks of infection and delayed hemorrhage. This approach involves leaving the placenta in the uterus and using medical therapy to encourage resorption, but this is not considered standard or universally recommended due to the high mortality risks involved.

Preparing for a High-Risk Delivery

Preparing for delivery when diagnosed with Placenta Accreta Spectrum involves more than just clinical management; it involves significant emotional and logistical preparation. Patients are encouraged to discuss every aspect of the surgical plan with their medical team.

  • Blood Bank Coordination: Preparing for massive blood transfusion requirements.
  • Pelvic Arterial Embolization: Occasionally used to reduce blood flow to the uterus prior to or during the surgery.
  • Post-operative ICU Care: Planning for recovery in a setting where specialized nurses can monitor for complications.

⚠️ Note: Ensure that your birthing center is a Level III or IV maternal care facility. These hospitals are specifically equipped with the blood banks and surgical specialists necessary to manage complex, high-risk obstetric cases like PAS.

Final Thoughts and Key Takeaways

Navigating a pregnancy affected by Placenta Accreta Spectrum is undeniably challenging, but modern advancements in medical imaging and surgical techniques have significantly improved safety outcomes. Early detection through routine prenatal care is the most vital step in protecting both the mother and the infant. By identifying the condition early, medical teams can coordinate the necessary specialists, resources, and surgical protocols to manage the risks effectively. While the diagnosis may feel overwhelming, it is important to remember that with a dedicated care team and a proactive approach, mothers can receive the specialized intervention required for a successful recovery and the best possible outcome for their growing family.

Related Terms:

  • placenta accreta spectrum mri
  • placenta accreta spectrum ultrasound
  • placenta accreta spectrum radiopaedia
  • placenta accreta spectrum diagnosis
  • placenta accreta spectrum grading
  • placenta accreta spectrum causes