Cleve

Plasma Cell Leukemia

Plasma Cell Leukemia

Plasma Cell Leukemia (PCL) is a rare and highly aggressive form of plasma cell dyscrasia, characterized by the presence of abnormal plasma cells circulating in the peripheral blood. Unlike multiple myeloma, where malignant cells are primarily confined to the bone marrow, PCL represents a more advanced, systemic phase of disease. Because it manifests rapidly and can cause severe complications, understanding the early signs, diagnostic criteria, and therapeutic pathways is crucial for both patients and healthcare providers aiming to manage this complex hematologic malignancy.

Understanding Plasma Cell Leukemia

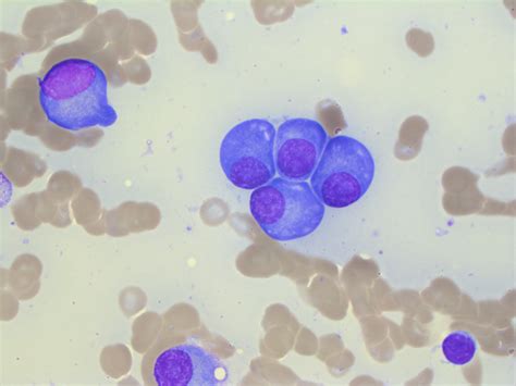
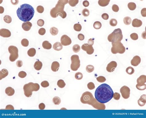
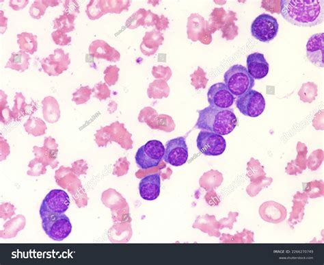
To comprehend Plasma Cell Leukemia, one must first understand the role of plasma cells. These are a type of white blood cell derived from B-lymphocytes, responsible for producing antibodies to fight infections. In PCL, these cells undergo malignant transformation and multiply uncontrollably. The hallmark diagnostic feature that differentiates PCL from multiple myeloma is the absolute count of circulating plasma cells in the blood. Specifically, if plasma cells constitute more than 20% of the white blood cell count, or if the absolute count exceeds 2,000 cells per microliter, the diagnosis shifts from myeloma to PCL.

This condition is broadly categorized into two types:

  • Primary Plasma Cell Leukemia: This occurs in patients with no prior history of multiple myeloma, accounting for the majority of new cases.
  • Secondary Plasma Cell Leukemia: This develops in patients who have been previously diagnosed with multiple myeloma and represent a terminal stage of the disease progression.

Common Symptoms and Clinical Presentation

Because the malignant cells in Plasma Cell Leukemia proliferate rapidly and infiltrate the bloodstream, the clinical presentation is often more severe than that of standard multiple myeloma. Patients frequently experience symptoms related to bone marrow failure, organ damage, and high levels of abnormal proteins (paraproteins) in the blood.

Key clinical indicators often include:

  • Extreme Fatigue and Anemia: Caused by the crowding out of healthy blood cell production in the marrow.
  • Bone Pain: Resulting from the infiltration of plasma cells into the skeletal structure.
  • Renal Impairment: High levels of monoclonal proteins can lead to kidney strain or failure.
  • Hypercalcemia: Excess calcium in the blood, which can cause confusion, nausea, and dehydration.
  • Splenomegaly or Hepatomegaly: Enlargement of the spleen or liver due to extramedullary involvement.

Diagnostic Approaches

Diagnosing Plasma Cell Leukemia requires a multi-faceted approach involving blood tests, bone marrow biopsies, and advanced imaging. Because the condition is aggressive, time is of the essence. Physicians typically employ the following diagnostic steps:

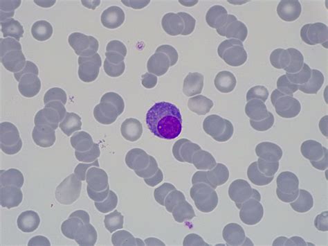
  1. Complete Blood Count (CBC) with Differential: To identify the presence and percentage of circulating plasma cells.
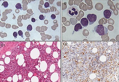
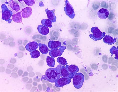
  2. Peripheral Blood Smear: A microscopic examination to observe the morphology of the plasma cells.
  3. Bone Marrow Aspiration and Biopsy: To confirm the infiltration of malignant cells within the marrow environment.
  4. Immunophenotyping (Flow Cytometry): Used to identify specific protein markers on the surface of the cells, confirming their clonal nature.
  5. Cytogenetic Analysis: Checking for specific chromosomal abnormalities (like t(11;14) or del(17p)) that can influence prognosis and treatment selection.

⚠️ Note: Early diagnosis is critical. If you or a loved one present with unexplained bone pain, fatigue, or frequent infections, consult a hematologist-oncologist immediately for comprehensive blood screening.

Comparison of Diagnostic Criteria

Feature Multiple Myeloma Plasma Cell Leukemia
Circulating Plasma Cells Minimal to none > 20% or > 2,000/μL
Clinical Onset Generally insidious Rapid/Acute
Extramedullary Disease Less common Frequent

Modern Treatment Strategies

Given the aggressive nature of Plasma Cell Leukemia, traditional chemotherapy is often insufficient on its own. Modern treatment protocols rely on a combination of targeted therapies and, where appropriate, stem cell transplantation. The primary goal is to induce a rapid response to reduce the tumor burden.

Treatment regimens often incorporate:

  • Proteasome Inhibitors: Drugs such as bortezomib or carfilzomib are staples in the treatment of plasma cell disorders.
  • Immunomodulatory Drugs (IMiDs): Medications like lenalidomide or pomalidomide help the immune system recognize and destroy cancer cells.
  • Monoclonal Antibodies: Agents like daratumumab have revolutionized care by targeting specific proteins on the surface of myeloma cells.
  • Autologous Stem Cell Transplant: For eligible patients, high-dose therapy followed by a stem cell transplant is considered the gold standard to prolong remission.

💡 Note: Treatment plans are highly individualized. Genomic testing of the tumor cells is essential to determine which targeted therapies will be most effective for the patient's specific mutation profile.

Prognostic Factors and Research Directions

The prognosis for Plasma Cell Leukemia has historically been poor; however, emerging therapies are significantly changing the landscape. Researchers are currently focusing on CAR-T cell therapy and novel immunotherapy combinations to better manage the disease. Factors such as patient age, performance status, and specific cytogenetic high-risk markers play a significant role in determining the expected outcome. Ongoing clinical trials remain the most promising avenue for accessing cutting-edge treatments that may not yet be available in standard clinical settings.

Living with a diagnosis of Plasma Cell Leukemia involves not just medical treatment but also strong supportive care. This includes managing pain, ensuring adequate nutrition, and maintaining mental health through support groups and counseling. Patients should work closely with their multidisciplinary medical team to address the systemic impact of the disease, ensuring that renal function, calcium levels, and blood counts are monitored consistently to prevent life-threatening complications.

In wrapping up this overview, it is evident that Plasma Cell Leukemia remains one of the most challenging hematologic malignancies. By recognizing the early warning signs and leveraging current advancements in targeted therapies and stem cell research, clinicians can provide more effective care. While the journey is difficult, early intervention and personalized treatment strategies continue to improve the quality of life and outcomes for those affected by this condition. Staying informed and proactive remains the best course of action for patients and families navigating this medical path.

Related Terms:

  • plasma cell leukemia survival rate
  • plasma cell leukemia icd 10
  • plasma cell leukemia icd
  • plasma cell leukemia symptoms
  • plasma cell leukemia imwg
  • plasma cell leukemia diagnostic criteria