Mayo

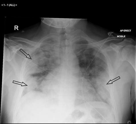
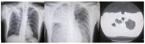
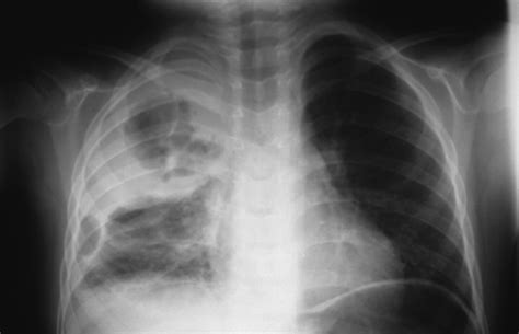
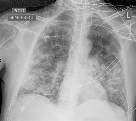
Pneumonia On Cxr

Pneumonia On Cxr

When a patient presents with symptoms such as persistent cough, fever, shortness of breath, and chest pain, healthcare providers frequently turn to medical imaging to confirm a diagnosis. Among these diagnostic tools, the chest X-ray (CXR) remains the gold standard for initial assessment. Specifically, identifying pneumonia on CXR is a critical skill for clinicians, as prompt recognition allows for the immediate initiation of appropriate antibiotic therapy and supportive care. While modern imaging technologies like computed tomography (CT) offer higher sensitivity, the chest X-ray provides a rapid, cost-effective, and low-radiation way to visualize inflammation or infection within the pulmonary parenchyma.

Understanding Pneumonia on CXR: What Does It Look Like?

Pneumonia is an infection that inflames the air sacs (alveoli) in one or both lungs. When these air sacs fill with fluid or pus, they appear denser than the surrounding healthy air-filled lung tissue on an X-ray. Radiologists look for specific patterns of opacity, often referred to as infiltrates or consolidations, to confirm a diagnosis of pneumonia on CXR.

The appearance of pneumonia can vary significantly depending on the causative organism, the patient's immune status, and the timing of the imaging. Generally, radiologists categorize these findings into several distinct patterns:

  • Lobar Consolidation: This is the classic appearance of bacterial pneumonia, such as that caused by Streptococcus pneumoniae. A defined portion of a lung lobe appears white (opaque) due to the consolidation of fluid, often featuring air bronchograms—dark, branching lines representing air-filled bronchi surrounded by consolidated alveoli.
  • Bronchopneumonia (Patchy Opacities): Common in hospital-acquired infections or atypical pathogens, this pattern presents as scattered, poorly defined opacities throughout one or both lungs, rather than being confined to a single lobe.
  • Interstitial Infiltrates: Often associated with viral or atypical pneumonia (such as Mycoplasma pneumoniae), this appears as fine, lace-like (reticular) markings throughout the lungs, focusing on the interstitial space rather than the alveoli.

⚠️ Note: A clear chest X-ray does not definitively rule out pneumonia, particularly in the very early stages of the disease, in dehydrated patients, or in those with significant neutropenia, where the inflammatory response is muted.

Common Imaging Findings and Their Clinical Significance

Interpreting pneumonia on CXR requires a systematic approach. Radiologists do not just look for "white spots"; they evaluate the entire film for signs of secondary complications, such as pleural effusions, cavitation, or hilar lymphadenopathy. The following table summarizes the typical radiological findings associated with different types of pneumonia.

Pattern Typical Causes Radiological Description
Lobar Bacterial (e.g., Pneumococcus) Homogeneous opacity involving a single lobe, defined by fissures.
Bronchopneumonia Bacterial, Hospital-acquired Patchy, multifocal consolidations, often bilateral.
Interstitial Viral, Atypical Fine, reticular or ground-glass opacities.
Cavitation Anaerobes, Staph aureus, TB Lucent area within a consolidation, indicating necrosis.

Diagnostic Challenges in Radiographic Interpretation

While identifying pneumonia on CXR is routine, it is not without challenges. Many conditions can mimic the radiographic appearance of pneumonia, leading to potential diagnostic pitfalls. Clinicians must correlate imaging findings with the patient's clinical presentation, physical examination, and laboratory results (such as white blood cell count and inflammatory markers).

Common conditions that can be mistaken for pneumonia include:

  • Pulmonary Edema: Fluid buildup due to congestive heart failure often presents with bilateral opacities, which can mimic bronchopneumonia.
  • Atelectasis: Collapsed lung segments can look like consolidation. Unlike pneumonia, atelectasis often results in volume loss in the affected area, causing adjacent structures like the diaphragm or trachea to shift toward the opacity.
  • Pulmonary Embolism: While often showing a "normal" CXR, small infarctions can cause peripheral opacities known as Hampton’s humps, which may be misdiagnosed as pneumonia.
  • Lung Malignancy: A tumor or mass can sometimes obscure or simulate a consolidation, requiring follow-up imaging to ensure the opacity clears after treatment.

💡 Note: Always compare current imaging with previous chest X-rays if available. A new opacity is significantly more likely to represent an acute process like pneumonia compared to a stable, chronic finding.

The Role of Follow-Up Imaging

One of the most frequent questions patients and clinicians ask is whether a follow-up chest X-ray is necessary to confirm that the pneumonia on CXR has resolved. Current clinical guidelines generally suggest that repeat imaging is not required for healthy adults who have a clear clinical recovery, as radiographic resolution often lags behind clinical improvement by several weeks.

However, follow-up imaging is strongly recommended in the following scenarios:

  • Older Patients: In patients over the age of 50, especially those who smoke, a repeat CXR is important to ensure the opacity was not masking underlying malignancy.
  • Persistent Symptoms: If the patient fails to improve clinically despite appropriate antibiotic treatment, repeat imaging is necessary to rule out treatment failure, resistant organisms, or alternative diagnoses.
  • Severe Pneumonia: In cases of severe infection requiring hospitalization, follow-up imaging helps confirm that the infection is adequately resolving.

The decision to order additional imaging should always be based on the clinical context rather than an arbitrary timeline. Relying solely on the X-ray image without considering the patient's breathing, temperature, and general well-being can lead to unnecessary radiation exposure and increased healthcare costs.

In summary, while the chest X-ray remains a cornerstone in diagnosing pneumonia, it is a tool that must be wielded with clinical context and careful interpretation. Recognizing the various patterns of pneumonia on CXR—from lobar consolidation to interstitial infiltrates—allows healthcare providers to distinguish infection from potential mimics like heart failure or atelectasis. By combining radiographic findings with a thorough clinical assessment, clinicians can make accurate diagnoses, guide effective treatment, and ensure appropriate follow-up. Ultimately, the chest X-ray serves not as a standalone answer, but as a vital piece of the diagnostic puzzle that improves patient outcomes in the face of respiratory illness.

Related Terms:

  • aspiration pneumonia on cxr
  • atypical pneumonia on cxr
  • chest x ray showing pneumonia
  • signs of pneumonia on cxr
  • pictures of lungs with pneumonia
  • Atypical Pneumonia CXR