Cleve

Polyps In Oesophagus

Polyps In Oesophagus

Discovering an abnormality during a routine medical examination can be a source of significant anxiety, particularly when it concerns the gastrointestinal tract. Among these findings, polyps in oesophagus are relatively rare occurrences compared to those found in the colon or stomach, yet they warrant professional medical attention to ensure patient safety. Understanding what these growths are, why they develop, and how they are managed is essential for anyone dealing with this diagnosis or simply seeking to improve their digestive health knowledge. While the term "polyp" often sounds alarming, it is important to understand that in the esophageal context, many of these lesions are benign, though they still require careful clinical evaluation.

What Are Polyps In Oesophagus?

Medical examination of the throat

In medical terminology, a polyp is essentially a small clump of cells that forms on the lining of a hollow organ. When we talk about polyps in oesophagus, we are referring to abnormal tissue growths protruding into the lumen of the esophagus—the muscular tube connecting your throat to your stomach. Unlike the frequent screenings done for colon polyps, esophageal polyps are usually discovered incidentally during an endoscopy performed for other symptoms, such as persistent heartburn, difficulty swallowing, or unexplained chest discomfort.

These growths can vary significantly in their origin. Some are inflammatory in nature, resulting from chronic irritation, while others may be neoplastic, meaning they involve abnormal cell growth. Because the esophagus is a critical pathway for food and liquid, even small polyps can sometimes interfere with swallowing mechanics, making diagnosis and management a priority for gastroenterologists.

Common Types of Esophageal Growths

To better understand polyps in oesophagus, it is helpful to categorize them based on their histological characteristics. Not all polyps are the same, and their potential for becoming malignant differs based on their classification:

  • Inflammatory Fibroid Polyps: These are often associated with chronic inflammation and are typically benign.
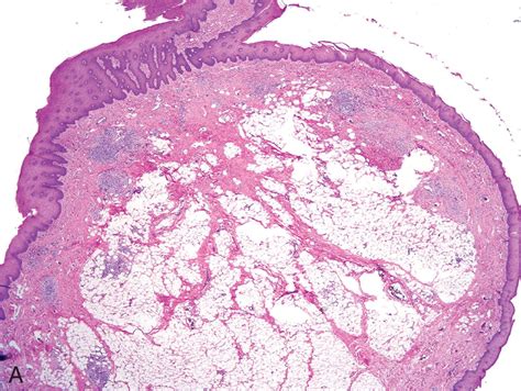
  • Fibrovascular Polyps: These are rare, benign lesions that consist of fibrous, adipose, and vascular tissue. They can sometimes grow quite large and cause obstructive symptoms.
  • Squamous Papillomas: These are wart-like growths that are often associated with the human papillomavirus (HPV) or chronic mechanical irritation.
  • Leiomyomas: While technically tumors of the smooth muscle, they are often grouped into the discussion of esophageal masses. They are almost always benign.
  • Glandular Polyps: These arise from the mucus-secreting glands of the esophagus and are usually related to conditions like Barrett’s esophagus.

Diagnostic Procedures and Evaluation

Diagnosing polyps in oesophagus requires a systematic approach. Since these growths rarely cause symptoms until they reach a certain size, doctors rely on imaging and direct visualization. The primary diagnostic tools include:

Diagnostic Tool Purpose
Upper Endoscopy (EGD) Direct visualization of the esophagus and biopsy collection.
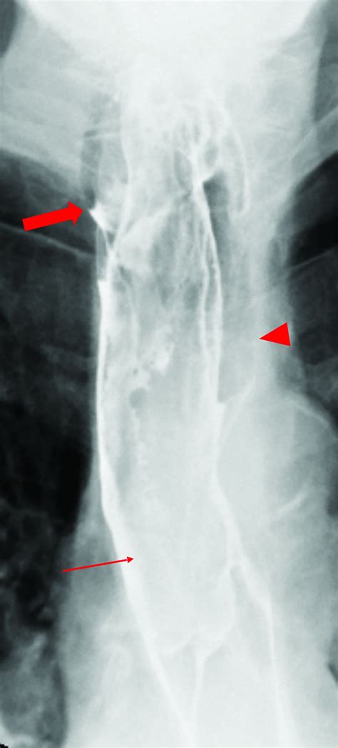
Barium Swallow X-ray imaging to see how the esophagus functions and if a mass is obstructing flow.
Endoscopic Ultrasound (EUS) Provides detailed images of the layers of the esophageal wall to determine the depth of the polyp.
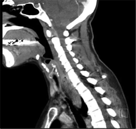
CT Scan Used for staging or if the mass is suspected to be large or complex.

💡 Note: Always consult with a board-certified gastroenterologist to discuss the risks and benefits of each diagnostic procedure. Never ignore persistent swallowing difficulties or chest pain, as these are primary indicators for an endoscopy.

Treatment Options for Esophageal Polyps

Once a polyp is identified, the treatment plan is tailored to its size, location, and potential for progression. For small, asymptomatic polyps, doctors may opt for a “watch and wait” approach, conducting periodic follow-up endoscopies to monitor for any changes. However, if the polyp is causing symptoms or if it shows signs of dysplasia, intervention is necessary.

Common intervention methods include:

  • Endoscopic Polypectomy: This is a minimally invasive procedure where the doctor removes the polyp using a wire snare passed through the endoscope.
  • Endoscopic Mucosal Resection (EMR): Used for larger or flatter polyps, this involves lifting the lesion and removing it systematically.
  • Surgical Excision: In rare cases where the polyp is exceptionally large, pedunculated (attached by a stalk), or located in a difficult area, surgical removal may be required.

Risk Factors and Preventive Measures

While there is no single way to prevent all polyps in oesophagus, managing the overall health of your digestive tract can reduce your risk of developing associated conditions. Chronic acid reflux (GERD) is one of the most significant contributors to esophageal mucosal damage, which can lead to inflammatory growths. Implementing lifestyle changes such as eating smaller meals, avoiding trigger foods, and maintaining a healthy weight can help alleviate chronic irritation.

Furthermore, regular health check-ups play a vital role. If you have a family history of gastrointestinal issues or if you experience chronic heartburn for more than a few weeks, schedule an appointment with a specialist. Early detection is the gold standard for managing any esophageal abnormality effectively, ensuring that what might be a minor issue today does not evolve into a significant health complication tomorrow.

💡 Note: Chronic smoking and alcohol consumption are known to increase the risk of esophageal inflammation and secondary tissue changes. Limiting or eliminating these habits is highly recommended for long-term esophageal health.

Managing the health of your digestive system starts with being informed and proactive. While the presence of polyps in oesophagus might feel daunting, modern medical technology, particularly high-definition endoscopy, allows for the precise identification and treatment of these growths with minimal recovery time. By maintaining open communication with your healthcare provider and attending regular screening appointments if you are at risk, you can stay ahead of any potential complications. Always prioritize your digestive wellness by listening to your body’s signals—such as persistent difficulty swallowing, regurgitation, or ongoing chest discomfort—and seeking professional evaluation promptly to ensure that any abnormalities are addressed early and effectively.

Related Terms:

  • are esophagus polyps cancerous
  • polyp in esophagus symptoms
  • types of esophageal polyps
  • polyps of oesophagus pathology outlines
  • what are esophageal polyps
  • esophageal polyps pictures