Cleve

Portal Vein Thrombosis

Portal Vein Thrombosis

Portal Vein Thrombosis (PVT) is a serious medical condition characterized by the formation of a blood clot within the portal vein, the major vessel responsible for carrying blood from the gastrointestinal tract and spleen to the liver. When this vessel becomes blocked or narrowed by a thrombus, it can disrupt normal blood flow, potentially leading to increased pressure in the portal venous system—a condition known as portal hypertension—and severe complications if left untreated. Understanding the causes, symptoms, and treatment options for this condition is crucial for both patients and healthcare providers, as early detection significantly improves clinical outcomes.

Understanding the Causes and Risk Factors of Portal Vein Thrombosis

Medical professional analyzing patient data

The development of Portal Vein Thrombosis is rarely due to a single factor. Instead, it typically arises from a complex interplay of systemic conditions that promote hypercoagulability (an increased tendency for blood to clot) and localized factors that contribute to vessel damage or slow blood flow (stasis). Identifying the underlying risk factor is a vital step in managing the condition effectively.

The primary risk factors can be categorized into local and systemic causes:

  • Cirrhosis and Liver Disease: This is the most common cause. Chronic liver scarring disrupts the natural flow of blood through the liver, leading to stasis in the portal vein, which facilitates clot formation.
  • Prothrombotic Disorders (Thrombophilia): Inherited or acquired conditions that make the blood more prone to clotting, such as Factor V Leiden, Protein C or S deficiency, or antiphospholipid syndrome.
  • Inflammatory Conditions: Infections or inflammation in the abdomen, such as acute pancreatitis, appendicitis, or inflammatory bowel disease (IBD), can trigger a localized inflammatory response in the portal vein, leading to thrombosis.
  • Malignancies: Certain cancers, particularly those affecting the liver, pancreas, or stomach, can compress the vein or release substances into the blood that promote coagulation.
  • Recent Surgeries or Trauma: Procedures involving the liver, biliary tract, or spleen can damage the portal vein, initiating the clotting process.

⚠️ Note: Many patients are found to have more than one underlying risk factor contributing to the development of the thrombus, necessitating a comprehensive diagnostic workup.

Common Symptoms and Clinical Presentation

The clinical presentation of Portal Vein Thrombosis can vary significantly depending on whether the clot developed suddenly (acute) or gradually over time (chronic).

In acute PVT, symptoms tend to be abrupt and severe. Patients may experience:

  • Sudden onset of abdominal pain.
  • Fever and chills.
  • Nausea and vomiting.
  • Ascites (fluid accumulation in the abdomen), which may develop rapidly.

In contrast, chronic PVT is often asymptomatic initially, as the body attempts to form collateral vessels (bypass routes for blood) to compensate for the blockage. However, over time, the resulting portal hypertension can cause complications such as:

  • Variceal Bleeding: The pressure buildup forces blood into smaller veins in the esophagus or stomach, which can rupture and cause life-threatening gastrointestinal bleeding.
  • Splenomegaly: Enlargement of the spleen due to blood backing up into it.
  • Hypersplenism: A condition where the enlarged spleen begins to sequester and destroy blood cells, leading to low platelet counts (thrombocytopenia) or low white blood cell counts.

Diagnostic Approaches

Confirming a diagnosis of Portal Vein Thrombosis requires advanced imaging techniques to visualize the blood flow and the clot itself. Physicians will typically utilize non-invasive tools as the first line of defense.

Diagnostic Tool Purpose
Doppler Ultrasound Often the first test; it can visualize the portal vein and assess the speed and direction of blood flow.
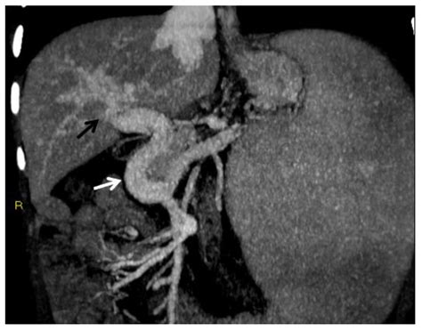
CT Angiography Provides detailed, cross-sectional images of the abdomen, clearly highlighting the thrombus and the extent of the blockage.
Magnetic Resonance Imaging (MRI) Excellent for detailed soft tissue visualization and helpful when CT contrast agents are not ideal.

Treatment Strategies

The primary goal in treating Portal Vein Thrombosis is to restore blood flow to the liver, prevent the clot from propagating further, and manage the complications arising from portal hypertension.

Treatment is highly individualized and may include:

  • Anticoagulation Therapy: This is the cornerstone of treatment, particularly in acute cases, to prevent the clot from expanding and to allow the body's natural fibrinolytic system to dissolve the thrombus.
  • Management of Portal Hypertension: Medications such as beta-blockers may be prescribed to reduce the pressure in the portal system and lower the risk of variceal bleeding.
  • Endoscopic Treatment: For patients with esophageal varices, procedures like variceal banding or sclerotherapy are essential to prevent or treat life-threatening bleeding.
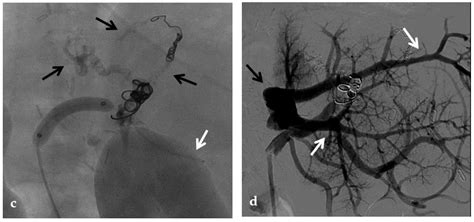
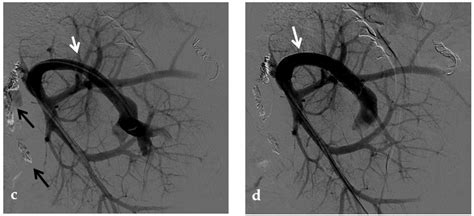
  • Interventional Radiology: In severe, treatment-resistant cases, procedures such as Transjugular Intrahepatic Portosystemic Shunt (TIPS) may be necessary to bypass the obstructed vein and relieve portal hypertension.

💡 Note: Anticoagulation therapy carries a risk of bleeding, particularly in patients with cirrhosis who may already have compromised clotting factors. The decision to use blood thinners must be made carefully by a hepatologist or gastroenterologist.

Prognosis and Long-Term Management

The prognosis for individuals with Portal Vein Thrombosis is largely dependent on the underlying cause, the severity of any liver disease, and how promptly treatment is initiated. While acute PVT can often be successfully managed with timely anticoagulation, chronic PVT requires lifelong monitoring to manage potential complications like variceal bleeding and portal hypertension.

Ongoing care generally involves regular imaging studies to monitor the status of the thrombus and the development of collateral circulation, as well as periodic endoscopies to screen for esophageal varices. Maintaining close communication with a specialist, typically a hepatologist, ensures that any new symptoms are addressed quickly and that the treatment plan remains optimized for the patient’s changing health status. With proactive management and adherence to medical advice, many individuals can effectively manage the condition and lead active, productive lives, minimizing the impact of the thrombosis on their daily well-being.

Related Terms:

  • portal vein thrombosis radiology
  • portal vein thrombosis treatment
  • portal vein thrombosis radiopaedia
  • portal vein thrombosis causes
  • portal vein thrombosis management
  • portal vein anatomy