Rp

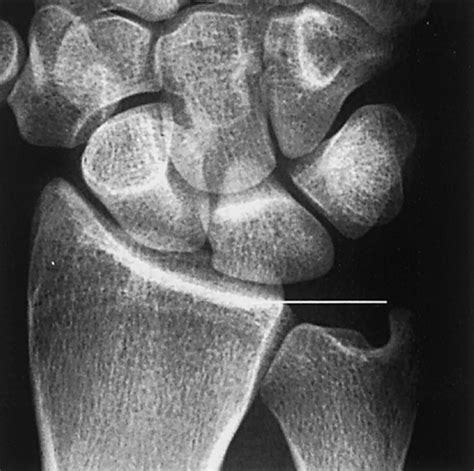
Positive Ulnar Variance

Positive Ulnar Variance

Wrist pain is a common complaint that can significantly impact your daily quality of life, ranging from minor discomfort while typing to debilitating pain during heavy lifting. One structural cause that often goes overlooked during initial examinations is Positive Ulnar Variance. This condition occurs when the ulna—one of the two forearm bones—is longer than the radius at the wrist joint. This subtle anatomical difference can lead to a domino effect of issues, primarily because it alters the load distribution across the wrist. Understanding this condition is crucial for anyone experiencing persistent ulnar-sided wrist pain, as early detection and proper management can prevent long-term joint damage.

What Exactly is Positive Ulnar Variance?

To understand Positive Ulnar Variance, one must first visualize the anatomy of the forearm. The forearm consists of two parallel bones: the radius (on the thumb side) and the ulna (on the pinky side). In a neutral wrist, these bones are relatively even at the wrist joint. When an individual has positive ulnar variance, the ulna extends further toward the hand than the radius does.

This structural discrepancy means that the ulna bears a disproportionately large amount of force when you use your wrist, particularly during gripping, twisting, or weight-bearing activities. Over time, this chronic over-loading can lead to wear and tear of the structures nestled between the ulna and the small bones of the wrist, known as the carpal bones.

Common Symptoms and Associated Conditions

The primary symptom of Positive Ulnar Variance is chronic pain on the ulnar side (the pinky side) of the wrist. This pain often worsens with activity. If you suffer from this condition, you may experience:

  • Pain when twisting the forearm, such as turning a door handle or using a screwdriver.
  • Weakened grip strength, making it difficult to carry objects.
  • A clicking or popping sensation in the wrist during movement.
  • Swelling and tenderness specifically along the ulnar aspect of the wrist.

Because of the altered mechanics, this condition is frequently associated with Ulnar Impaction Syndrome. This syndrome describes the actual impingement of the ulna against the triquetrum and lunate (bones in the wrist) and the triangular fibrocartilage complex (TFCC), leading to degeneration of these structures.

Condition Primary Impact
Positive Ulnar Variance Anatomical discrepancy where the ulna is longer than the radius.
Ulnar Impaction Syndrome The resulting wear and tear/degeneration caused by the variance.
TFCC Tears Damage to the cartilage buffer due to excessive compression.

⚠️ Note: If you experience acute, sharp pain or sudden swelling, it is essential to consult an orthopedic specialist immediately to rule out acute injuries versus chronic mechanical issues.

Diagnostic Procedures

Diagnosing Positive Ulnar Variance requires more than a standard physical exam. Physicians typically rely on specific imaging techniques to accurately measure the variance. An X-ray of the wrist is the gold standard for diagnosis. However, how the X-ray is taken matters significantly.

To ensure accuracy, the patient's arm must be positioned correctly. If the arm is not properly aligned, the measurement of the ulnar variance can be falsely positive or negative. The doctor will likely request a posteroanterior (PA) view of the wrist with the forearm in a neutral position. In more complex cases, magnetic resonance imaging (MRI) may be utilized to evaluate the health of the surrounding soft tissues, such as the TFCC and the cartilage of the wrist bones, to see if damage has already occurred due to the impaction.

Treatment Options: From Conservative to Surgical

Management of Positive Ulnar Variance is tailored to the severity of the symptoms and the extent of the damage found on imaging. Not every case requires surgery.

Conservative Management

For mild cases, conservative treatments are the first line of defense. These methods aim to reduce inflammation and offload the wrist:

  • Rest and Activity Modification: Avoiding activities that exacerbate the pain, particularly those involving heavy rotation or loading.
  • Wrist Bracing: Using a specialized splint that limits wrist motion or specifically supports the ulnar side can help reduce symptoms.
  • Physical Therapy: Working with a therapist to improve forearm muscle strength and stabilize the wrist joint can help alleviate stress on the bones.
  • Non-Steroidal Anti-Inflammatory Drugs (NSAIDs): Medication can help manage pain and reduce inflammation in the soft tissues.

Surgical Intervention

If conservative efforts fail to provide relief after several months, or if significant structural damage is identified, surgery may be necessary. The goal of surgery is to decompress the ulnar side of the wrist by correcting the length discrepancy.

  • Ulnar Shortening Osteotomy: This is the most common surgical procedure for Positive Ulnar Variance. A small portion of the ulna bone is removed to shorten it, and the bone is then secured with a plate and screws. This effectively brings the ulna back to a neutral or slightly negative position, offloading the joint.
  • Wafer Procedure: This involves removing a small piece of the distal (end) part of the ulna arthroscopically, without cutting the bone entirely. This is often used for milder cases of impaction.

💡 Note: Recovery time varies greatly based on the procedure. An ulnar shortening osteotomy typically requires a longer recovery period than a wafer procedure, as the bone must heal completely before full weight-bearing activities are resumed.

The Road to Recovery

Regardless of whether you choose conservative treatment or surgery, consistency is key. Following your healthcare provider's guidelines is paramount for a successful outcome. If surgery is performed, adhering strictly to post-operative rehabilitation protocols will ensure proper bone healing and functional restoration of the wrist.

Furthermore, maintaining healthy habits, such as ensuring adequate calcium and vitamin D intake for bone health, and maintaining a balanced exercise routine that does not put excessive stress on the wrists, can support long-term joint health. Regular follow-ups with your physician are also important to monitor progress and adjust treatment plans if necessary.

Addressing wrist pain early is the most effective way to prevent the progression of mechanical issues like Positive Ulnar Variance. By understanding the anatomical basis of your discomfort and working closely with medical professionals, you can navigate the path toward reduced pain and improved wrist function. Whether through non-invasive lifestyle adjustments or targeted surgical correction, restoring proper mechanics to your wrist joint is achievable, allowing you to return to your daily activities with greater ease and comfort.

Related Terms:

  • ulnar variance
  • positive ulnar variance icd 10
  • positive ulnar variance surgery
  • positive ulnar variance radiopaedia
  • ulnocarpal abutment
  • positive ulnar variance meaning