Cleve

Post Traumatic Arthritis

Post Traumatic Arthritis

When we think of arthritis, the common perception often leans toward age-related wear and tear or autoimmune conditions like rheumatoid arthritis. However, there is a specific, often misunderstood type of joint disease that stems directly from physical trauma: Post Traumatic Arthritis. This condition serves as a stark reminder that our joints have a long memory. Even after a bone has healed or a ligament has been surgically repaired, the structural integrity of the joint may have been permanently altered, setting the stage for chronic inflammation and degeneration long after the initial injury has passed.

Understanding Post Traumatic Arthritis

Post Traumatic Arthritis (PTA) is a form of secondary osteoarthritis that develops after a joint injury. Unlike primary osteoarthritis, which develops slowly due to aging, PTA is often the "late-stage" consequence of an acute incident. Whether it is a sports injury, a fall, or an accident, any trauma that disrupts the smooth surface of the cartilage—the protective cushion covering the ends of our bones—can initiate a cascade of biological and mechanical changes leading to joint destruction.

When a joint is fractured or dislocated, the mechanical alignment of the limb can shift, or the cartilage may be bruised or torn. Over time, these abnormalities cause abnormal friction, much like a car running on an misaligned tire. The body attempts to repair this damage, but in the process, it often leads to the thickening of bone and the formation of bony growths known as osteophytes, which restrict motion and increase pain.

Common Causes of Joint Injury

While almost any joint can be affected by Post Traumatic Arthritis, it is most common in weight-bearing joints like the knees, ankles, and hips. The trauma that triggers this condition can range from microscopic damage to severe fractures. Common scenarios include:

  • Ligament Tears: An ACL tear in the knee is a classic example. Even after surgical reconstruction, the joint may never be 100% biomechanically perfect, increasing the risk of PTA.
  • Fractures: Any fracture that extends into the joint space (an intra-articular fracture) is a primary risk factor.
  • Meniscus Injuries: Cartilage tears within the knee provide a less stable environment, causing abnormal wear patterns.
  • Repetitive Micro-trauma: Frequent, small injuries sustained through high-impact sports or heavy manual labor can accumulate over time.

Stages of Development and Symptomatology

The timeline for developing this condition varies wildly. Some patients notice stiffness within a few months, while others may not experience significant pain for years or even decades after the original injury. The primary symptoms generally mimic those of standard osteoarthritis:

  • Persistent aching or pain in the affected joint.
  • Swelling and warmth, particularly after physical activity.
  • Decreased range of motion or a feeling of "locking" in the joint.
  • Grinding sensations (crepitus) during movement.

⚠️ Note: If you experience sudden, locking, or "giving way" sensations in a previously injured joint, consult an orthopedic specialist immediately, as this may indicate internal derangement that requires non-invasive management or physical therapy.

Comparison of Joint Health Conditions

To better distinguish how Post Traumatic Arthritis differs from other common joint ailments, consider the following table:

Condition Primary Cause Speed of Onset
Post Traumatic Arthritis Physical Injury/Trauma Variable (Months to Decades)
Osteoarthritis Aging / Wear and Tear Slow (Progressive)
Rheumatoid Arthritis Autoimmune System Rapid / Episodic

Diagnosis and Management Strategies

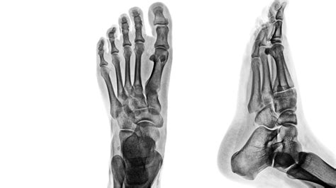
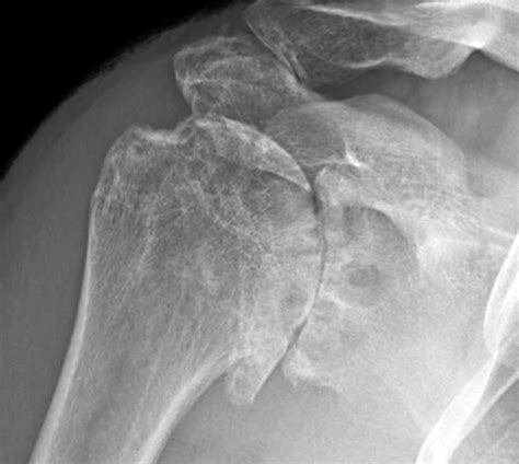
Diagnosing Post Traumatic Arthritis usually involves a combination of clinical history and imaging. A physician will review your history of past injuries and order X-rays to check for joint space narrowing or bone spurs. In more complex cases, an MRI may be requested to visualize the soft tissues and determine the extent of current cartilage damage.

Management is generally focused on pain control and maintaining function rather than a total "cure," as cartilage damage is difficult to reverse. Common approaches include:

  • Physical Therapy: Strengthening the muscles around the joint is the most effective way to offload stress from the damaged cartilage.
  • Weight Management: Reducing the load on lower extremity joints can significantly slow the progression of PTA.
  • Anti-inflammatory Medications: Non-steroidal anti-inflammatory drugs (NSAIDs) help manage the chronic inflammation associated with the condition.
  • Assistive Devices: Using braces or orthotic shoe inserts can improve alignment and reduce mechanical stress during daily activities.

The Role of Early Intervention

One of the most critical aspects of handling a joint injury is ensuring proper rehabilitation from the very beginning. Many people assume that if a bone "looks" healed on an X-ray, they can return to full-impact activities. However, the internal landscape of the joint may require long-term stability exercises to prevent the onset of Post Traumatic Arthritis. Working closely with a physical therapist ensures that joint mechanics are optimized, which may prevent the long-term, degenerative cycle from gaining momentum.

For those already living with the symptoms, modern regenerative medicine and advanced surgical techniques continue to evolve. While total joint replacement is often the "gold standard" for end-stage damage, early identification and lifestyle modifications can delay the need for such procedures by many years.

By understanding that an old injury is not necessarily a closed chapter, you can take proactive steps to monitor your joint health. Recognizing the early warning signs of Post Traumatic Arthritis allows for timely intervention, helping to preserve mobility and quality of life. Whether through targeted exercise, anti-inflammatory nutrition, or regular consultations with medical professionals, managing the long-term impact of injury is an essential part of maintaining a healthy, active lifestyle. Staying informed and consistent with your care plan remains the most effective strategy for managing your joint health over the long term.

Related Terms:

  • post traumatic arthritis recovery time
  • degenerative arthritis caused by trauma
  • post traumatic shoulder arthritis
  • symptoms of post traumatic arthritis
  • post traumatic osteoarthritis development time
  • causes of post traumatic arthritis