Ghc

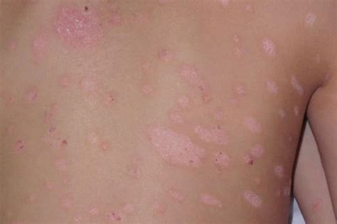
Psoriasis On Back

Psoriasis On Back

Finding a patch of dry, itchy, or scaly skin on your body can be unsettling, especially if it appears in an area that is difficult to see or reach, like your upper or lower torso. If you are dealing with psoriasis on back, you are certainly not alone. This chronic autoimmune condition, which causes skin cells to multiply up to 10 times faster than normal, frequently manifests on the back due to friction, sweat, and the skin's natural folds. While it can be uncomfortable and sometimes embarrassing, understanding what triggers it and how to manage it is the first step toward finding relief.

Understanding Psoriasis on Back: What Is It?

Psoriasis is a systemic condition, not just a skin-deep issue. When it affects the back, it usually presents as plaque psoriasis, the most common form of the disease. These lesions typically appear as raised, red patches covered with a silvery-white buildup of dead skin cells known as scale. Because the back is a large surface area, these patches can vary significantly in size, ranging from small, isolated spots to larger, confluent areas that cause significant discomfort.

The condition occurs when the immune system mistakenly triggers an inflammatory response, leading to the rapid overproduction of skin cells. Because these cells do not shed at a normal rate, they pile up on the surface of the skin, resulting in the characteristic thick, scaly plaques associated with psoriasis on back.

Common Symptoms to Look For

Identifying the symptoms early can help you seek appropriate treatment before the condition flares up severely. The signs of psoriasis on your back may include:

  • Raised, red patches of skin that feel thickened.
  • Silvery-white scales covering the red plaques.
  • Persistent itching or soreness that can make it hard to sleep or sit comfortably.
  • Dry, cracked skin that may occasionally bleed.
  • Stiffness or discomfort in the surrounding skin area due to the plaque formation.

⚠️ Note: If you notice that your skin is weeping, producing pus, or if you develop a fever along with your skin plaques, consult a healthcare professional immediately, as these can be signs of a secondary infection or a more severe form of psoriasis.

Triggers That Worsen Psoriasis on Back

Managing this condition requires a proactive approach to avoiding known triggers. Since the back is constantly exposed to clothing friction and environmental factors, it is often more susceptible to flares. Common triggers include:

Trigger Category Common Examples
Environmental Cold, dry weather; sunburns
Lifestyle High stress levels; excessive alcohol intake
Physical Skin injuries (Koebner phenomenon); tight clothing
Health-Related Infections (like strep throat); certain medications

The "Koebner phenomenon" is particularly relevant for psoriasis on back. This occurs when a minor injury—like a scratch, a bug bite, or even irritation from a tight backpack strap—causes a new plaque to form at the site of the injury.

Effective Management and Treatment Strategies

While there is no permanent cure, modern medicine offers a wide array of treatments to manage symptoms and achieve clear or near-clear skin. A dermatologist will typically tailor a plan based on the severity of your psoriasis.

Topical Treatments

For mild to moderate cases on the back, topical treatments are usually the first line of defense. These include:

  • Corticosteroids: The most common treatment to reduce inflammation and itching.
  • Vitamin D analogues: Help slow the growth of skin cells.
  • Retinoids: Assist in normalizing cell turnover.
  • Salicylic acid: Helps soften and remove the thick scales.

Phototherapy

If topical treatments are not enough, your doctor may recommend phototherapy (light therapy). Exposing the back to specific wavelengths of ultraviolet (UV) light can help slow the rapid cell growth. This is often performed in a clinical setting but can be highly effective for widespread patches on the torso.

Systemic and Biologic Medications

For more severe or persistent cases of psoriasis on back, doctors may prescribe systemic medications that work from within the body to suppress the overactive immune system. Biologics, in particular, have revolutionized the treatment of psoriasis by targeting the specific proteins in the immune system that drive the inflammatory process.

Daily Lifestyle Tips for Soothing the Back

Beyond medical treatments, your daily habits play a crucial role in managing flares. Keeping the skin on your back hydrated and minimizing irritation is essential.

  • Moisturize Regularly: Apply thick, fragrance-free creams or ointments immediately after showering to lock in moisture.
  • Gentle Cleansing: Use mild, soap-free cleansers that won't strip your skin of its natural oils.
  • Choose Breathable Clothing: Opt for loose-fitting cotton clothing to prevent sweat buildup and reduce friction against plaques.
  • Manage Stress: Since stress is a major trigger for many people, incorporate relaxation techniques like yoga, meditation, or deep breathing into your routine.
  • Avoid Scratching: Scratching can lead to open sores and increase the risk of infection. Keep your fingernails trimmed short.

💡 Note: While natural sunlight can sometimes help with psoriasis, it is vital to avoid sunburn, as damage to the skin can actually trigger a flare-up of psoriasis in the days or weeks following the burn.

Dealing with psoriasis on back requires a blend of medical intervention and consistent self-care. By understanding the nature of your skin’s autoimmune response, identifying your unique triggers, and working closely with a dermatologist, you can effectively manage the condition and minimize the impact it has on your daily life. While flare-ups may occur, staying diligent with your skincare routine and treatment plan will empower you to keep your skin healthy and comfortable. Remember that because everyone’s skin reacts differently, it may take some time to find the exact combination of treatments that works best for your body, so patience and communication with your healthcare provider remain the most valuable tools in your journey toward better skin health.

Related Terms:

  • psoriasis on back pictures
  • pics of plaque psoriasis pictures
  • photos of severe psoriasis
  • plaque psoriasis early signs pictures
  • pics of scalp plaque psoriasis
  • psoriasis around the body pictures