Mayo

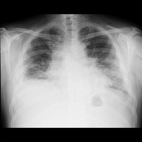
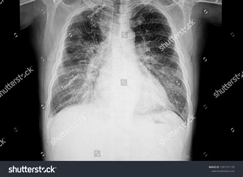
Pulmonary Edema Cxr

Pulmonary Edema Cxr

When a patient presents to the emergency department with acute respiratory distress, rapid diagnostic imaging becomes a cornerstone of clinical decision-making. Among the various tools available to physicians, the Pulmonary Edema Cxr (chest X-ray) remains the most frequently ordered and clinically significant diagnostic exam. Understanding the classic radiographic patterns of pulmonary edema is essential for medical professionals, as this condition represents a life-threatening accumulation of fluid in the pulmonary interstitial and alveolar spaces, often secondary to congestive heart failure or other systemic pathologies.

Understanding Pulmonary Edema on Chest X-ray

The Pulmonary Edema Cxr is highly sensitive for identifying fluid overload, though it requires a keen eye to differentiate between cardiogenic and non-cardiogenic causes. Radiologists and clinicians look for specific markers that indicate increased capillary hydrostatic pressure or altered vascular permeability. When evaluating a chest X-ray for this condition, the focus is placed on vascular prominence, redistribution of blood flow, and the presence of interstitial or alveolar opacities.

Key radiographic signs often appear in a specific sequence as the severity of the fluid overload progresses. Identifying these early can prevent the escalation to severe respiratory failure. The hallmark appearance is often referred to as "pulmonary congestion," which describes the initial phase of fluid accumulation.

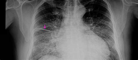
Radiographic Indicators and Findings

There is a standardized progression of findings visible on a Pulmonary Edema Cxr. Recognizing these patterns allows for a systematic approach to diagnosis. The following findings are commonly documented in clinical reports:

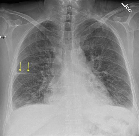
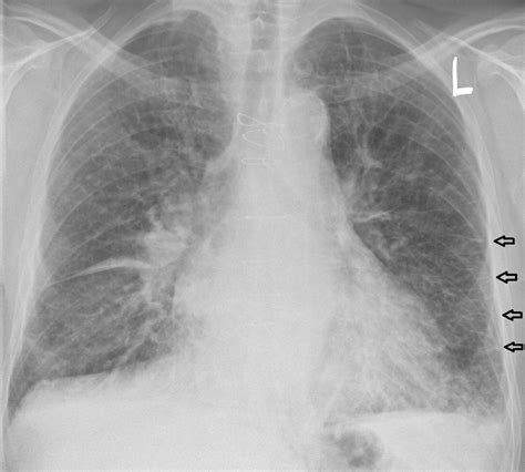
  • Cephalization: The redistribution of pulmonary blood flow to the upper lobes, which is one of the earliest signs of increased pulmonary venous pressure.
  • Kerley B Lines: These are short, horizontal lines perpendicular to the pleural surface at the lung bases, representing thickened interlobular septa due to interstitial edema.
  • Peribronchial Cuffing: This appears as a thickening of the bronchial walls, giving them a "donut" or "cuff-like" appearance on cross-section.
  • Pleural Effusions: Fluid collecting in the pleural space, often bilateral but potentially unilateral, commonly seen in congestive heart failure.
  • Bat-wing Opacities: In more severe cases, bilateral central alveolar opacities sparing the periphery of the lungs, indicating profound alveolar flooding.
Finding Clinical Significance Progression Level
Cephalization Increased pulmonary venous pressure Mild
Kerley B Lines Interstitial fluid accumulation Moderate
Alveolar Infiltrates Alveolar fluid flooding Severe

⚠️ Note: Always correlate the radiographic findings with clinical history, such as orthopnea, paroxysmal nocturnal dyspnea, and peripheral edema, as chest X-rays may lag behind the clinical presentation by several hours.

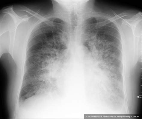
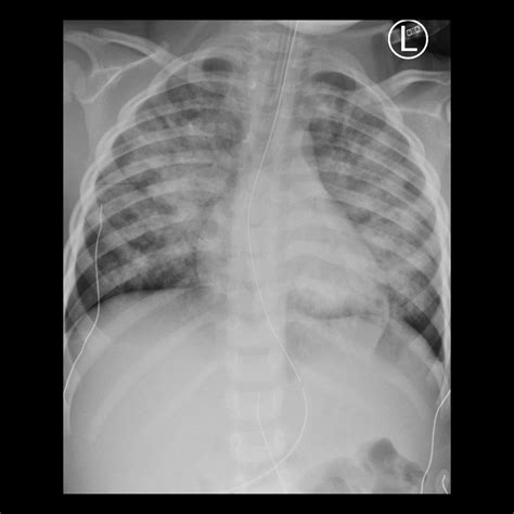
Differentiating Cardiogenic from Non-Cardiogenic Edema

While the Pulmonary Edema Cxr is excellent at confirming the presence of fluid, determining the etiology is equally important. Cardiogenic pulmonary edema is typically associated with a widened cardiothoracic ratio (cardiomegaly) and vascular redistribution. In contrast, non-cardiogenic pulmonary edema, often seen in Acute Respiratory Distress Syndrome (ARDS), usually presents with a normal heart size, patchy or peripheral infiltrates, and an absence of pleural effusions.

Clinicians utilize the X-ray in conjunction with lab tests like Brain Natriuretic Peptide (BNP) to make a definitive diagnosis. If the heart shadow is enlarged, it strongly suggests a cardiac origin, whereas a normal-sized heart with widespread bilateral infiltrates warrants an investigation into sepsis, transfusion-related lung injury, or other non-cardiac triggers.

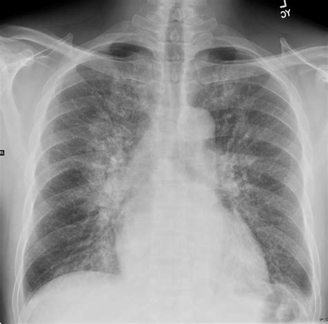
Technical Considerations in Imaging

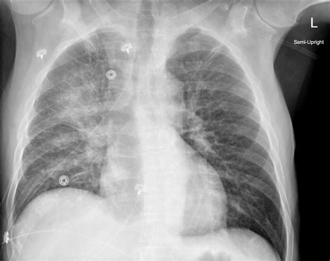
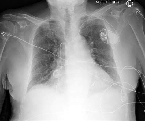
To obtain an accurate Pulmonary Edema Cxr, technical factors must be optimized. Portable bedside chest X-rays, common in critical care settings, are often performed in an anteroposterior (AP) projection. This projection can artificially magnify the heart size, making it difficult to differentiate mild cardiomegaly from normal variants. Therefore, standardized positioning is vital for consistent interpretation.

High-quality images allow for the visualization of delicate structures such as the fissures. Increased fluid in the interlobar fissures, known as a "fissural thickening," is another reliable indicator of interstitial pulmonary edema. Furthermore, the quality of inspiration affects the appearance of the lung fields; poor inspiration can create an artificial appearance of crowding of the bronchovascular markings, potentially mimicking mild congestion.

💡 Note: In cases where the X-ray is ambiguous, point-of-care ultrasound (POCUS) can serve as an excellent adjunct to confirm the presence of B-lines, providing real-time data on hemodynamic status.

Clinical Management and Monitoring

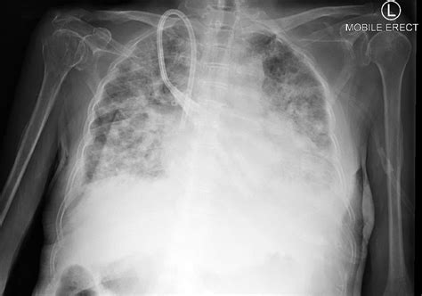
Once the Pulmonary Edema Cxr confirms the diagnosis, management usually involves the administration of loop diuretics, vasodilators, and oxygen therapy. The imaging serves as a baseline to monitor the patient's response to therapy. Following treatment, a repeat chest X-ray is often ordered to observe the "clearing" of the lung fields, which usually occurs as the patient achieves a negative fluid balance.

Persistent opacities despite adequate diuresis may suggest complications such as pneumonia, lung collapse, or a non-cardiogenic component to the pulmonary edema. Regular assessment through imaging ensures that the treatment plan is effectively targeting the underlying cause of the fluid overload.

In summary, the diagnostic power of the chest X-ray remains unmatched for its accessibility and speed in clinical environments. By identifying specific signs like cephalization, Kerley B lines, and alveolar opacities, healthcare providers can swiftly categorize the severity of pulmonary edema. While the Pulmonary Edema Cxr is a cornerstone of diagnosis, it must be interpreted alongside clinical symptoms and hemodynamic markers to ensure accurate patient care. Through systematic evaluation and an understanding of the radiographic progression of fluid accumulation, clinicians can effectively manage fluid overload and improve patient outcomes in high-stress, acute care settings.

Related Terms:

  • pulmonary edema vs pneumonia cxr
  • pulm edema x ray
  • pulmonary congestion on cxr
  • pulmonary edema vs normal cxr
  • chest x ray pulmonary oedema
  • chest xray showing pulmonary edema