Cleve

Pulsatile Tinnitus Causes

Pulsatile Tinnitus Causes

Hearing a rhythmic thumping, whooshing, or heartbeat sound in your ear can be incredibly unsettling. Unlike common tinnitus, which often sounds like a steady ringing or buzzing, pulsatile tinnitus is characterized by a sound that mimics your own heartbeat. Understanding pulsatile tinnitus causes is the first essential step toward finding relief and addressing any potential underlying health concerns. Because this condition is frequently linked to blood flow changes near the ear, it is rarely just a simple, harmless nuisance; rather, it often serves as a symptom of an underlying issue that warrants investigation by a healthcare professional.

Understanding What Pulsatile Tinnitus Is

Pulsatile tinnitus is a rare form of tinnitus that is synchronized with your pulse. People often describe the sensation as hearing their heart beating in their ear, a rhythmic "whooshing" (bruit) that matches their heartbeat, or a thumping noise. Because it is tied to blood flow, the sound can sometimes change or stop if you press on the jugular vein in your neck or move your head, which is a key diagnostic clue for physicians.

Unlike subjective tinnitus, which is often related to hearing loss or nerve damage, pulsatile tinnitus is typically objective—meaning a doctor might be able to hear the sound themselves using a stethoscope placed near your ear or neck. This objectivity is a crucial indicator that the cause is likely related to vascular issues or mechanical changes in blood flow.

Common Pulsatile Tinnitus Causes

The underlying triggers for pulsatile tinnitus are diverse, ranging from benign structural changes to more complex vascular conditions. Because the blood vessels in the head and neck are located very close to the inner ear, even minor changes in blood flow can become audible.

1. Vascular Conditions

The most frequent culprits are issues involving the blood vessels. These can include:

  • Turbulent Blood Flow: As blood moves through veins or arteries, it typically flows smoothly. If a vessel narrows (stenosis) or becomes twisted, the blood flow can become turbulent, creating a “whooshing” sound.
  • Atherosclerosis: The buildup of cholesterol and plaque in the arteries near the ear can stiffen vessels, restricting blood flow and creating turbulence.
  • High Blood Pressure (Hypertension): Increased pressure can make the flow of blood through the carotid artery louder, making it more audible to your ear.
  • Arteriovenous Malformations (AVMs): These are abnormal connections between arteries and veins that can create high-pressure, turbulent flow.

2. Structural and Anatomical Issues

Sometimes, the structure of your skull or nearby anatomy can affect your perception of sound:

  • Venous Sinus Stenosis: Narrowing of the venous sinuses—the large veins that drain blood from the brain—is a very common cause of pulsatile tinnitus.
  • Dehiscence of the Superior Canal: A tiny hole in the bone covering the inner ear can make normal bodily sounds, including blood flow, seem significantly louder.
  • Glomus Tumors: Though usually benign, these are vascular tumors that grow near the middle ear and can cause a loud, rhythmic thumping sound.

3. Other Potential Factors

  • Anemia: Severe anemia can increase the heart rate and blood volume flow, which sometimes leads to pulsatile tinnitus.
  • Thyroid Conditions: An overactive thyroid can increase heart rate and overall blood flow.
  • Medications: Certain drugs, particularly those that affect blood pressure, can sometimes contribute to the condition.

Comparison of Common Causes

The following table summarizes some of the most frequently identified causes and how they generally manifest in patients.

Cause Category Specific Condition Typical Sound Description
Vascular Stenosis (Narrowing) Whooshing, rhythmic
Vascular Hypertension Pulsing, matches heartbeat
Structural Glomus Tumor Strong, thumping, pulsing
Systemic Anemia Whooshing, especially during activity

💡 Note: While these are common causes, pulsatile tinnitus is a symptom, not a disease. It is important to avoid self-diagnosis and consult with an ENT (Ear, Nose, and Throat) specialist or a neurologist for a proper evaluation.

When to See a Doctor

Because pulsatile tinnitus can sometimes indicate serious vascular issues, you should seek medical attention if you experience this symptom. It is especially critical to see a doctor if the tinnitus is accompanied by other neurological symptoms, such as:

  • Sudden hearing loss.
  • Dizziness or vertigo.
  • Headaches or changes in vision.
  • Weakness or numbness in the face or limbs.
  • If the sound is extremely loud or causing significant distress.

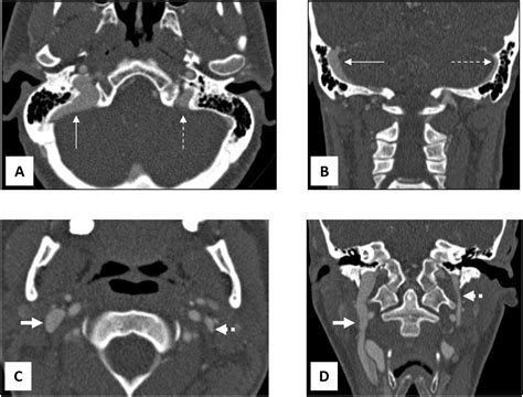
During your appointment, a specialist will likely perform a physical examination of your ears and neck. They may order imaging tests, such as an MRI, MRA (Magnetic Resonance Angiography), or CT scan, to visualize the blood vessels and structures near your ear. These imaging techniques are the "gold standard" for uncovering the precise pulsatile tinnitus causes that may be affecting you.

Diagnostic Approach and Management

The treatment for pulsatile tinnitus depends entirely on the underlying cause. Once the cause is identified, the treatment can be highly effective. For example, if the cause is high blood pressure, managing that pressure through lifestyle changes or medication often resolves the sound. If the cause is a structural issue, such as a narrowing of a vein, a medical professional might suggest interventions ranging from monitoring to, in specific cases, minor surgical procedures to correct the blood flow.

It is important to remember that for many patients, once the anxiety surrounding the sound is managed and the underlying medical concern is treated, the condition becomes much more manageable or disappears entirely. Patience is key, as diagnostic tests can take time to pinpoint the exact issue.

💡 Note: Never ignore persistent, one-sided pulsatile tinnitus. While it is often treatable, it should always be investigated to rule out conditions that require prompt medical attention.

Finding the root cause of your pulsatile tinnitus is a journey that requires collaboration with healthcare professionals. By understanding that this condition is often linked to vascular, structural, or systemic health factors, you are better equipped to advocate for the right testing and treatment. While the rhythmic noise can be distracting or stressful, remember that identifying the specific cause—whether it is a simple fix like managing blood pressure or addressing a structural anomaly—is the most effective way to quiet the sound. Taking proactive steps to consult with a specialist ensures you are on the right path toward resolving the underlying issue and improving your quality of life.

Related Terms:

  • unilateral pulsatile tinnitus causes
  • pulsatile tinnitus causes mayo clinic
  • heart beat in ear
  • pulsatile tinnitus cks
  • pulsatile tinnitus dangerous
  • pulsatile tinnitus radiology