Mayo

Que Es Un Quiste

Que Es Un Quiste

Cuando notamos una protuberancia inusual debajo de la piel o experimentamos molestias inexplicables en nuestro cuerpo, una de las primeras preguntas que surge es que es un quiste. Esta inquietud es sumamente común, ya que los quistes son formaciones muy frecuentes que pueden aparecer en prácticamente cualquier parte del cuerpo. Comprender su naturaleza es fundamental para no caer en el pánico innecesario, aunque siempre es necesario contar con una evaluación médica adecuada para descartar cualquier patología subyacente.

¿Qué es un quiste exactamente?

En términos médicos, un quiste se define como una bolsa o cápsula cerrada, similar a un saco, que se forma en los tejidos del cuerpo. Esta estructura está claramente definida y contiene un material específico en su interior, que puede ser líquido, semilíquido o gaseoso. Es crucial diferenciar que, a diferencia de los tumores sólidos, la gran mayoría de los quistes son benignos y no representan una amenaza de cáncer, aunque su tamaño o ubicación pueden llegar a ser molestos o dolorosos.

Los quistes se forman debido a diversas causas, como la obstrucción de los conductos de las glándulas, la acumulación de células muertas, o incluso procesos inflamatorios crónicos. Dependiendo del lugar donde se desarrollen, pueden ser detectables al tacto o requerir pruebas de imagen para ser identificados.

Tipos comunes de quistes

No existe un único tipo de quiste, sino una amplia variedad que clasifica según su origen, contenido y localización. A continuación, mencionamos algunos de los tipos más frecuentes:

  • Quistes sebáceos: Se originan en las glándulas sebáceas de la piel y suelen contener una sustancia grasa llamada queratina. Son comunes en el rostro, el cuello y el torso.
  • Quistes sinoviales: Aparecen frecuentemente cerca de las articulaciones o tendones, comúnmente en la muñeca, y contienen un líquido viscoso transparente.
  • Quistes ováricos: Se forman dentro o sobre la superficie de los ovarios. Muchos desaparecen por sí solos, pero algunos requieren tratamiento si causan síntomas.
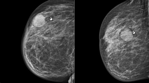
  • Quistes mamarios: Son sacos llenos de líquido dentro de la mama. Son muy comunes y generalmente benignos.
  • Quistes pilonidales: Se localizan cerca del coxis y pueden volverse dolorosos si se infectan.

Esta tabla resume las diferencias básicas de ubicación y contenido:

Tipo de Quiste Ubicación Común Contenido Típico
Sebáceo Piel (rostro, espalda) Queratina/Sebo
Sinovial Articulaciones/Tendones Líquido sinovial
Ovárico Ovarios Líquido/Sangre
Ganglión Muñeca/Manos Líquido gelatinoso

Causas y factores de riesgo

Entender que es un quiste también implica conocer por qué aparecen. Las causas pueden ser tan diversas como la propia anatomía humana. Entre los factores más comunes destacan:

  • Bloqueos de conductos: Cuando un conducto por el que debe drenar una sustancia (como el sebo de la piel) se bloquea, el fluido se acumula y forma el quiste.
  • Infecciones: Algunas infecciones crónicas pueden generar encapsulamiento de tejido.
  • Traumatismos: Lesiones previas en la piel o tejidos pueden desencadenar la formación de quistes.
  • Condiciones genéticas: Algunos síndromes hereditarios predisponen a la aparición de múltiples quistes.

⚠️ Note: No intente nunca drenar o reventar un quiste por su cuenta. Esto puede introducir bacterias en la cápsula, provocando una infección grave o un absceso que requerirá tratamiento médico urgente.

¿Cómo identificar si tengo un quiste?

Los síntomas varían drásticamente según el tamaño y la ubicación del quiste. Muchas personas pueden tener un quiste pequeño durante años sin siquiera saberlo. Sin embargo, cuando se presentan síntomas, los más comunes incluyen:

  • Protuberancia visible o palpable: Es la señal más clara, especialmente en los quistes cutáneos.
  • Dolor o sensibilidad: Suele ocurrir si el quiste crece rápidamente, comprime estructuras nerviosas o si se infecta.
  • Enrojecimiento e inflamación: Indican que el quiste podría estar infectado.
  • Limitación del movimiento: Común en quistes sinoviales grandes localizados cerca de articulaciones.

Diagnóstico y tratamiento

Aunque un médico experimentado puede identificar muchos quistes mediante una simple inspección física y palpación, en ocasiones se requieren pruebas adicionales para confirmar el diagnóstico y asegurar que no se trata de otra patología. Las herramientas de diagnóstico incluyen ecografías, resonancias magnéticas o tomografías computarizadas. En casos donde existe duda sobre el contenido, el médico puede realizar una biopsia o aspiración con aguja fina.

Respecto al tratamiento, no todos los quistes requieren intervención. Si el quiste es asintomático, pequeño y no presenta signos de malignidad, el médico puede optar por el seguimiento periódico. En casos necesarios, las opciones incluyen:

  • Drenaje: Aspiración del contenido del quiste mediante una aguja.
  • Extirpación quirúrgica: Es el método más efectivo, especialmente para evitar recidivas, ya que implica la eliminación de la cápsula completa.
  • Tratamiento antibiótico: Únicamente se aplica si el quiste se ha infectado y presenta formación de pus.

⚠️ Note: La extirpación quirúrgica es un procedimiento sencillo y ambulatorio en la mayoría de los casos, pero siempre debe ser realizada por personal médico calificado para asegurar la correcta remoción de la pared del quiste y evitar que vuelva a formarse.

En definitiva, aprender sobre que es un quiste es un paso fundamental para gestionar nuestra salud con calma y conocimiento. Estas formaciones son, en la inmensa mayoría de los casos, benignas y manejables. La clave para la tranquilidad radica en no ignorar los cambios físicos que notamos y buscar asesoramiento profesional ante cualquier duda, especialmente si el quiste aumenta de tamaño, causa dolor o muestra signos de infección. La medicina moderna cuenta con técnicas eficaces para tratarlos, permitiendo mejorar la calidad de vida y eliminar las molestias asociadas de manera rápida y segura.

Related Terms:

  • que es un quiste tirogloso
  • quiste de erupción
  • que es un quiste aracnoideo
  • que es el quiste
  • que son quistes
  • que es un quiste coloide