Cleve

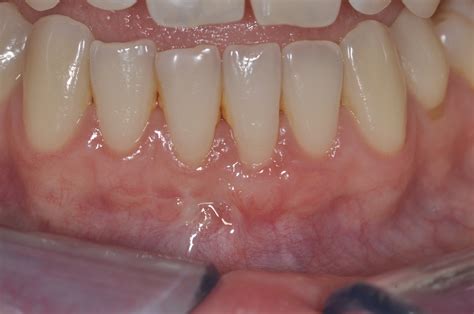
Receding Gum Line

Receding Gum Line

Discovering that your teeth seem longer than they used to can be a startling experience. Often, this is the first sign of a receding gum line, a condition where the gum tissue surrounding your teeth wears away or pulls back, exposing more of the tooth or the tooth's root. While it might seem like a simple cosmetic issue at first, it is actually a significant oral health concern that, if left untreated, can lead to tooth sensitivity, decay, and eventually, tooth loss. Understanding the root causes, symptoms, and potential treatment options is the first step in protecting your smile for the long term.

What Exactly Is a Receding Gum Line?

A receding gum line occurs when the gum tissue margin surrounding the teeth wears away or pulls back, exposing the tooth root. Unlike enamel, which covers the crown of your tooth, the root is covered by cementum, a much softer material that is highly susceptible to decay and sensitivity. When gums recede, “pockets” or gaps form between the teeth and gum line, making it easy for disease-causing bacteria to build up. If left untreated, the supporting tissue and bone structures of the teeth can be severely damaged.

Primary Causes of Gum Recession

Gum recession does not happen overnight; it is usually a gradual process driven by a variety of factors. Identifying the cause is crucial for stopping further progression.

  • Aggressive Toothbrushing: Brushing too hard or using a hard-bristled toothbrush can wear down the enamel on your teeth and cause your gums to recede.
  • Poor Oral Hygiene: Inadequate brushing and flossing allow plaque to turn into tartar, a hardened substance that can only be removed by a professional dental cleaning. This buildup leads to gum disease (gingivitis or periodontitis), a leading cause of recession.
  • Hormonal Changes: Fluctuations in hormone levels, especially during puberty, pregnancy, or menopause, can make gums more sensitive and vulnerable to recession.
  • Tobacco Products: Smoking or chewing tobacco makes it difficult for gums to heal and creates sticky plaque that adheres to teeth.
  • Grinding and Clenching: Also known as bruxism, this habit puts too much force on the teeth, which can cause the gums to recede over time.
  • Genetics: Just like the color of your eyes, your gum tissue type is hereditary. Some people are simply born with thinner or more fragile gum tissue, making them more prone to recession.

Signs and Symptoms to Watch For

Recognizing the early warning signs can help you address the receding gum line before it requires invasive treatment. Common indicators include:

  • Tooth Sensitivity: Sudden pain or discomfort when consuming hot, cold, or sweet foods and drinks.
  • Visible Tooth Root: You may notice the tooth looks longer than it used to or notice a notch near the gum line.
  • Bleeding Gums: Bleeding after brushing or flossing is a hallmark sign of underlying inflammation.
  • Loose Teeth: As the support structure diminishes, teeth may begin to feel wobbly.
  • Bad Breath: Persistent halitosis can be a sign of bacteria buildup in the deep gum pockets.

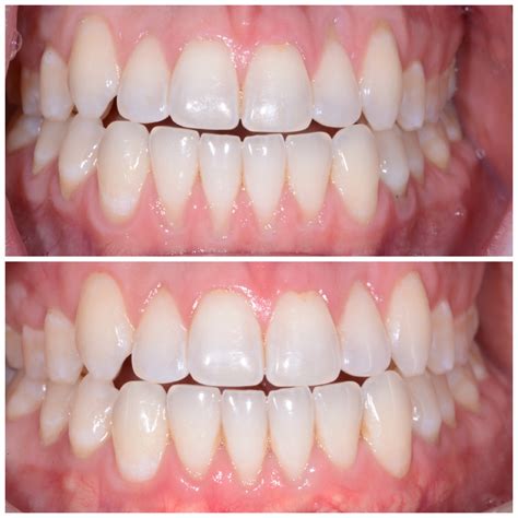
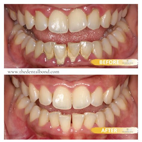
Comparison of Treatment Methods

Depending on the severity of the recession, a dentist may recommend various interventions. The following table outlines standard approaches for managing a receding gum line.

Treatment Level Description Goal
Mild Deep cleaning (scaling and root planing) Remove bacteria and tartar buildup to allow gums to reattach.
Moderate Antibiotics or topical gels Control remaining bacteria and reduce inflammation.
Severe Gum graft surgery Restore missing tissue and cover exposed roots.
Preventative Orthodontics or night guards Fix alignment or prevent damage from clenching.

💡 Note: Always consult with a periodontist if you suspect your gum recession is advanced, as they specialize in treating the structures that support the teeth.

Effective Prevention Strategies

Preventing a receding gum line is significantly easier than treating it. By adopting a proactive approach, you can maintain your gum health for a lifetime.

  • Use a Soft-Bristled Brush: Always use a soft-bristled toothbrush and adopt a gentle, circular brushing motion.
  • Schedule Regular Cleanings: Visit your dentist at least twice a year for professional cleanings to remove plaque that regular brushing misses.
  • Quit Tobacco Use: Eliminating smoking and chewing tobacco significantly improves blood flow to the gums and overall oral health.
  • Maintain a Balanced Diet: A diet rich in vitamins and minerals supports healthy gum tissue and overall immune function.
  • Wear a Night Guard: If you suffer from bruxism, ask your dentist about a custom-fitted night guard to protect your teeth and gums from excessive pressure.

💡 Note: If you have noticed an increase in sensitivity, switching to a toothpaste specifically designed for sensitive teeth can help manage discomfort while you schedule your dental appointment.

The Importance of Professional Intervention

Many patients attempt to treat gum issues with “natural” remedies found online. While some herbal mouth rinses can help manage inflammation, they cannot reverse the physical recession of the tissue. A professional diagnosis is vital because recession is often accompanied by periodontitis, which requires specific tools—such as ultrasonic scalers—to clean the subgingival area. Ignoring the physical loss of tissue will not stop the underlying process; it only allows the condition to progress to the point where surgical intervention becomes the only viable option to save the tooth.

Addressing a receding gum line promptly is essential for maintaining both the appearance and the structural integrity of your smile. By understanding the causes, such as aggressive brushing, genetics, and poor oral hygiene, you can take control of your dental health through consistent, gentle care. While professional treatments like deep cleanings or grafting are available for advanced cases, prevention remains your most powerful tool. Prioritize regular dental checkups and maintain a disciplined oral hygiene routine to prevent further tissue loss. Taking these steps today ensures that your gums remain a firm, healthy foundation for your teeth, protecting your oral health and your smile for years to come.

Related Terms:

  • gum regrowth by yourself
  • receding gum line treatment cost
  • what causes receding gum line
  • gingival recession
  • regrow gums before and after
  • Signs of Receding Gums