Cleve

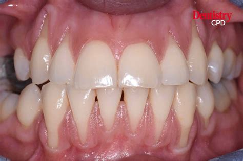
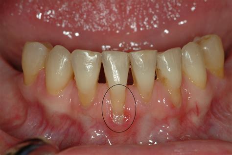
Recession Of Gingiva

Recession Of Gingiva

Have you ever noticed your teeth looking slightly longer than usual, or perhaps felt a sudden, sharp sensitivity when consuming a hot cup of coffee or a cold scoop of ice cream? If so, you might be experiencing a common dental condition known as the recession of gingiva. Often referred to simply as gum recession, this process involves the gum tissue surrounding the teeth pulling away, wearing down, or pulling back, thereby exposing more of the tooth or its root. While it might seem like a minor cosmetic issue, it is a significant dental concern that, if left unaddressed, can lead to serious oral health complications, including tooth decay and even tooth loss.

Understanding the Causes of Gingival Recession

The recession of gingiva does not happen overnight; it is usually a gradual process. Recognizing the underlying cause is the first step in both prevention and treatment. The most common contributors include:

  • Aggressive Tooth Brushing: Ironically, trying to keep your teeth too clean can be harmful. Brushing too hard or using a toothbrush with stiff bristles can wear away the gum tissue over time.
  • Periodontal Diseases: Bacterial gum infections are perhaps the most significant cause. These infections destroy the gum tissue and the supporting bone that holds your teeth in place.
  • Poor Oral Hygiene: Inadequate brushing and flossing allow plaque to turn into calculus (tartar), which can only be removed by a professional cleaning. This buildup irritates the gums and causes them to recede.
  • Genetic Predisposition: Some individuals are simply more susceptible to gum disease or have naturally thin gum tissue, making them more prone to recession regardless of their oral hygiene habits.
  • Hormonal Changes: Fluctuations in female hormones during puberty, pregnancy, and menopause can make gums more sensitive and vulnerable to recession.
  • Tobacco Use: Smoking or chewing tobacco makes it difficult for gums to heal and adhere properly to the tooth surface.
  • Grinding and Clenching: The excessive force exerted on teeth from bruxism can place strain on the gums, leading to recession.

Identifying the Signs and Symptoms

Because the recession of gingiva often occurs slowly, many people do not notice it until the symptoms become obvious. Being proactive is essential for early detection. Watch out for the following warning signs:

  • Increased sensitivity to hot, cold, or sweet foods and drinks.
  • Teeth that appear longer than before.
  • Visible roots of the teeth.
  • Gums that are red, swollen, or bleed easily after brushing or flossing.
  • Chronic bad breath (halitosis).
  • Loose teeth, which may indicate advanced stages of periodontal disease.

When to Seek Professional Dental Advice

If you notice any of the aforementioned symptoms, it is imperative to schedule an appointment with your dentist or a periodontist immediately. Early intervention is the key to preventing the progression of gum recession. A professional can assess the depth of the recession, determine the underlying cause, and create a personalized treatment plan to restore your gum health.

⚠️ Note: Do not ignore gum sensitivity or visible root exposure, as these are often indicators that the protective barrier of your tooth is compromised, making it highly susceptible to cavities and structural damage.

Treatment Options for Gum Recession

The treatment approach for the recession of gingiva depends largely on the severity of the condition. For mild cases, the dentist may simply recommend changes in oral hygiene practices and more frequent professional cleanings to remove plaque and tartar buildup.

Severity Common Treatment Approaches
Mild Deep cleaning (scaling and root planing), lifestyle adjustments, and monitoring.
Moderate Antibiotics, medicated mouthwash, and specialized cleaning techniques.
Severe Surgical interventions such as gum grafting, Pinhole Surgical Technique, or tissue regeneration.

Preventive Strategies to Maintain Gum Health

While some factors like genetics are beyond your control, there are many proactive measures you can take to prevent the recession of gingiva and maintain a healthy, beautiful smile. Consistently following these habits can significantly reduce your risk:

  • Use a Soft-Bristled Toothbrush: Always opt for a soft-bristled brush and use gentle, circular motions when brushing. Avoid back-and-forth scrubbing.
  • Practice Proper Brushing Techniques: Consult your dental hygienist to ensure you are using the correct technique to clean your teeth without traumatizing your gums.
  • Floss Daily: Flossing removes plaque from areas that your toothbrush cannot reach, preventing the buildup of harmful bacteria that leads to gum disease.
  • Quit Tobacco Products: Stopping the use of tobacco improves blood circulation to the gums, facilitating better healing and overall health.
  • Visit Your Dentist Regularly: Routine dental checkups allow for the early detection and management of gum disease before it leads to significant recession.
  • Wear a Mouthguard: If you grind or clench your teeth at night, ask your dentist about a custom-made night guard to protect your teeth and gums from the excessive pressure.

💡 Note: While over-the-counter products for sensitivity can provide temporary relief, they do not treat the underlying issue of receding gums. Always consult a dental professional to address the root cause.

Final Perspectives on Gingival Health

Maintaining the integrity of your gums is just as important as keeping your teeth white and free of cavities. The recession of gingiva is a clear signal from your body that your oral health requires attention. By understanding the causes, recognizing the symptoms, and adopting a disciplined routine of oral hygiene, you can protect your gum tissue and ensure a healthy, long-lasting smile. Remember, consistency is the ultimate key; regular brushing, flossing, and professional dental exams are your best defenses against the progression of this condition. Prioritizing your gingival health today will prevent more complex and costly dental procedures in the future, allowing you to enjoy optimal oral wellness throughout your life.

Related Terms:

  • how common is gum recession
  • gingival recession types
  • types of gum recession
  • definition of gingival recession
  • what causes teeth recession
  • gum recession symptoms and treatment