Rp

Renal Calculi Pictures

Renal Calculi Pictures

Experiencing the intense pain of a kidney stone is a situation no one wants to face. When you are suddenly struck by sharp, localized discomfort, curiosity about what is happening inside your body often leads to a search for renal calculi pictures. Visualizing these formations can help patients and curious individuals alike understand the physical reality of the condition. While the term "renal calculi" might sound clinical, it is simply the medical name for what most people know as kidney stones—hard, crystalline mineral deposits that form within the kidneys.

What Are Renal Calculi?

Renal calculi are solid masses made of crystals that originate in the kidneys. These stones form when urine becomes overly concentrated, allowing minerals like calcium, oxalate, and uric acid to crystallize and stick together. Over time, these small crystals can grow into larger stones that may cause blockages, severe pain, and discomfort as they travel through the urinary tract.

When searching for renal calculi pictures, you will notice that these stones come in a variety of shapes, sizes, and colors. Some appear as tiny, grain-like particles, while others can be as large as a golf ball, although stones of that size are rare. Understanding their appearance is often the first step in recognizing the severity of a potential urological issue.

Visual Characteristics and Types of Kidney Stones

The appearance of a kidney stone is largely determined by its chemical composition. Because different minerals create different crystalline structures, their visual characteristics vary significantly. When looking at high-quality renal calculi pictures, you can often identify the type of stone based on its color and texture.

  • Calcium Oxalate Stones: These are the most common type. They often appear as jagged, spiked, or irregular dark brown or black masses. Their sharp edges are often what cause extreme pain during passage.
  • Calcium Phosphate Stones: These tend to be smoother than oxalate stones and are often lighter in color, appearing white or pale yellow.
  • Uric Acid Stones: These are typically reddish-brown or orange and have a smoother, more rounded appearance compared to calcium-based stones.
  • Struvite Stones: Often related to chronic urinary tract infections, these stones can grow quite large and may look like jagged, beige-colored rocks.
  • Cystine Stones: These are rare and are caused by a genetic disorder. They often look yellowish or crystalline, similar to sugar crystals.
Stone Type Common Appearance Typical Texture
Calcium Oxalate Dark brown/black Jagged, spiky, rough
Uric Acid Reddish-brown/Orange Smooth, rounded
Struvite Beige/White Irregular, hard

⚠️ Note: If you have passed a stone, it is highly recommended to save it in a clean container and bring it to your doctor. Analyzing the stone's composition is the best way to prevent future occurrences through dietary or medical adjustments.

Why Understanding Renal Calculi Is Important

Seeing renal calculi pictures can be a sobering experience, but it also serves as a strong motivator for lifestyle changes. Many kidney stones are entirely preventable with proper hydration and nutritional adjustments. By understanding how these stones form and what they look like, you can better appreciate why your doctor emphasizes drinking plenty of water and monitoring your intake of specific foods.

Symptoms often associated with these formations include:

  • Severe pain in the side and back, just below the ribs.
  • Pain that radiates to the lower abdomen and groin.
  • Pink, red, or brown urine (hematuria).
  • Persistent urge to urinate or pain during urination.
  • Nausea and vomiting.

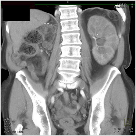
Diagnostic Imaging and Identification

While looking at pictures online provides a general idea, medical professionals use advanced imaging to identify renal calculi within the body. These diagnostic tools are far more accurate than a visual inspection alone.

Common diagnostic methods include:

  • Non-contrast CT Scans: The gold standard for detecting stones, as they provide high-resolution images of the entire urinary tract.
  • Ultrasound: A non-invasive method that uses sound waves to visualize stones within the kidney.
  • KUB X-ray: A standard X-ray of the kidney, ureter, and bladder, though it may miss smaller, less dense stones.

💡 Note: Always consult with a healthcare provider for an accurate diagnosis. Never attempt to self-diagnose based solely on photographic comparisons, as other conditions can mimic the symptoms of kidney stones.

Preventative Measures and Dietary Management

Preventing the formation of future stones is a primary goal for anyone who has suffered from this condition. Since most stones are formed from mineral buildup, the prevention strategy usually involves diluting your urine and changing your diet.

Key lifestyle tips include:

  • Increase Fluid Intake: Aim to produce at least 2.5 liters of urine daily. Water is the best choice.
  • Moderate Sodium Intake: High salt intake can increase the amount of calcium in your urine, leading to stone formation.
  • Balanced Calcium Consumption: Contrary to popular belief, you should not eliminate calcium from your diet. In fact, adequate dietary calcium can help prevent certain types of stones by binding with oxalates in the intestines.
  • Limit Animal Protein: Reducing your intake of red meat and poultry can lower the risk of uric acid stones.

Reflecting on the nature of these internal deposits highlights the incredible importance of kidney health. Whether you are researching because you are currently in pain or simply wanting to understand your own body better, visualizing the reality of renal calculi pictures reinforces the necessity of hydration and proactive health management. Kidney stones are a common, albeit painful, condition, but with proper medical oversight and lifestyle adjustments, you can significantly reduce your chances of experiencing them again. Always prioritize medical advice from a qualified urologist, and treat any sudden, sharp symptoms with the urgency they require to ensure quick recovery and long-term health.

Related Terms:

  • picture of kidney stone pain
  • kidney full of stones picture
  • kidney stones look like pictures
  • 5 millimeter kidney stone pictures
  • kidney stone real image
  • pics of kidney stones passed