Cleve

Reverse Shoulder Surgery

Reverse Shoulder Surgery

When chronic shoulder pain becomes a persistent shadow in your daily life, making even the simplest tasks like reaching for a shelf or combing your hair feel like a monumental challenge, it is time to consider medical interventions. For many individuals suffering from severe rotator cuff tears or advanced shoulder arthritis, traditional surgical options may not provide the relief they need. This is where Reverse Shoulder Surgery comes into play, a revolutionary orthopedic procedure that has transformed the lives of countless patients by restoring mobility and significantly reducing pain. Unlike conventional total shoulder replacement, this procedure shifts the mechanics of the shoulder joint, offering a robust solution for those with compromised muscle function.

Understanding Reverse Shoulder Surgery

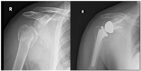
To understand why this procedure is so effective, it is helpful to first visualize the anatomy of a healthy shoulder. In a natural shoulder, the head of the humerus (the upper arm bone) acts as a ball, while the glenoid (the shoulder socket) acts as a socket. In Reverse Shoulder Surgery, the surgeons essentially flip this structure: they attach a metal ball to the shoulder socket and fix a plastic cup to the top of the humerus. By reversing the anatomy, the procedure relies on the powerful deltoid muscle rather than the damaged rotator cuff to lift the arm. This shift is what makes it a game-changer for patients who have lost the functional integrity of their rotator cuff muscles.

Who is a Candidate for the Procedure?

Not every shoulder issue requires such a specialized intervention. Orthopedic surgeons generally recommend this surgery for patients who have reached a point where conservative treatments—such as physical therapy, cortisone injections, and non-steroidal anti-inflammatory medications—have failed to provide adequate relief. Common indications include:

  • Rotator Cuff Tear Arthropathy: A condition where a massive rotator cuff tear leads to long-term joint destruction.
  • Failed Previous Replacements: Patients who have previously undergone shoulder surgery that did not yield the desired results.
  • Severe Fractures: Complex fractures in the shoulder joint in elderly patients where bone healing is unlikely.
  • Chronic Shoulder Instability: When the shoulder joint repeatedly dislocates due to severe structural damage.
  • Advanced Osteoarthritis: Especially in patients who have concurrent rotator cuff weakness.

⚠️ Note: It is essential to consult with an orthopedic surgeon specializing in shoulder reconstruction to determine if your specific anatomy and health status make you a viable candidate for this surgery.

The Surgical Process and Recovery

The surgery itself typically takes several hours and is performed under general or regional anesthesia. During the procedure, the surgeon carefully removes the damaged surfaces of the joint and prepares the bone to accept the prosthetic components. Once the new "reverse" joint is securely in place, the incision is closed, and the arm is placed in a sling to initiate the protection phase of healing.

Recovery Phase Typical Focus
Phase 1 (Weeks 0-6) Protection, sling usage, and passive range of motion.
Phase 2 (Weeks 6-12) Active motion, regaining strength, and weaning off the sling.
Phase 3 (Months 3-6) Advanced strengthening and return to daily activities.

Recovery following Reverse Shoulder Surgery is a marathon, not a sprint. The success of the outcome is heavily dependent on the patient's commitment to a structured physical therapy program. In the initial weeks, the primary goal is protecting the repair. As the healing progresses, patients slowly incorporate exercises to re-educate the deltoid muscle to perform the heavy lifting that the rotator cuff previously handled. Most patients notice a significant reduction in pain within the first few months, while functional gains continue to improve for up to a year post-surgery.

Managing Expectations and Potential Risks

While the procedure is highly successful, it is important to be realistic about expectations. The goal is to reduce pain and restore enough function for activities of daily living, such as reaching overhead to wash hair or reaching behind the back. It is generally not intended to return patients to high-impact contact sports or heavy lifting. As with any major surgery, there are inherent risks to consider, including infection, stiffness, nerve damage, or potential implant loosening over many years. Discussing these factors openly with your healthcare provider will ensure you are well-prepared for the journey ahead.

Living a Better Quality of Life

The primary driver for seeking Reverse Shoulder Surgery is the desire to regain independence. The psychological and physical toll of chronic pain can lead to withdrawal and decreased activity levels. By restoring the mechanics of the shoulder, patients often find they can return to hobbies like gardening, swimming, or simply playing with their grandchildren without the constant reminder of joint discomfort. The transformation in quality of life is the true measure of the procedure's success.

Choosing to undergo major surgery is never an easy decision, but the advancements in orthopedic technology have made this specific intervention one of the most reliable ways to restore shoulder function. By understanding the shift in anatomy that this procedure provides, you can better appreciate how it bypasses damaged tissues to leverage the strength of the remaining healthy muscles. Through careful preparation, a dedicated approach to physical therapy, and consistent follow-up care with your surgeon, you can achieve a significant improvement in your mobility and overall comfort. While the road to recovery requires patience and consistent effort, the reward of a pain-free, functional shoulder is well worth the dedication, allowing you to return to the activities that bring you joy and fulfillment in your daily life.

Related Terms:

  • reverse shoulder replacement surgery recovery
  • why reverse shoulder replacement surgery
  • does reverse shoulder replacement work
  • shoulder replacement reversal surgery
  • full reverse shoulder replacement
  • complete reversal shoulder replacement