Rp

Right Lateral Decubitus

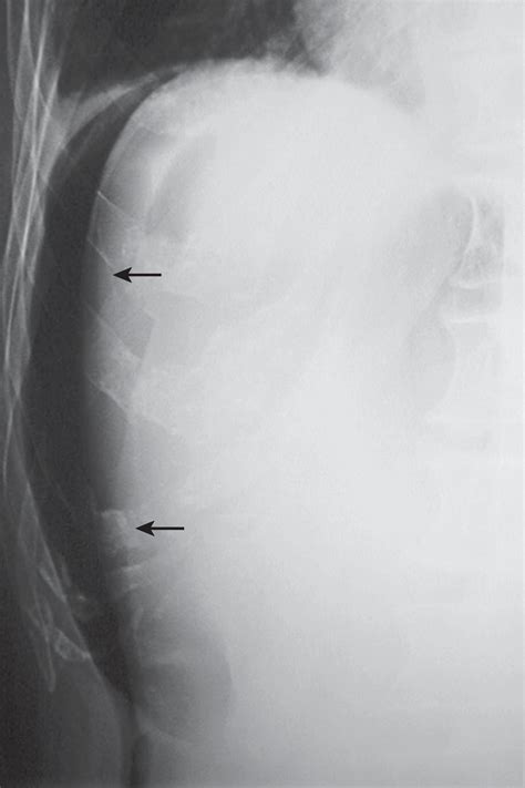
Right Lateral Decubitus

In the vast landscape of medical diagnostics and clinical positioning, the Right Lateral Decubitus (RLD) position stands as a foundational technique used across various specialties. Whether you are a radiologist aiming to capture specific internal anatomy or a surgeon preparing for a specialized procedure, understanding the mechanics and applications of this position is essential. At its core, this position describes a patient lying on their right side, a simple adjustment that can drastically alter how fluid, air, and organs are visualized or accessed within the body. By leveraging gravity, medical professionals can achieve clearer diagnostic images and improve patient safety during complex interventions.

Understanding the Right Lateral Decubitus Position

The Right Lateral Decubitus position is defined by the patient resting their right side against the examination table or bed. This positioning is not merely about comfort; it is a calculated maneuver to shift internal contents. When a patient is placed in the RLD position, organs such as the heart, lungs, and abdominal viscera shift according to gravitational forces. This effect is frequently utilized in diagnostic imaging—such as X-rays, CT scans, and echocardiograms—to differentiate between air-fluid levels or to move bowel gas away from a specific region of interest.

Beyond diagnostics, this position is a standard practice in clinical settings to prevent complications and improve procedural access. For instance, in an emergency, it can be used to manage airway issues or facilitate specific types of drainage. Proper execution of the RLD position requires careful attention to patient alignment to ensure that the hips and shoulders are stacked correctly, preventing discomfort or potential musculoskeletal strain during the procedure.

Common Clinical Applications of RLD

The utility of the Right Lateral Decubitus position spans multiple medical disciplines. Its primary role is to manipulate the anatomy to obtain a better view or to ensure patient stability. Below are some of the most common applications:

  • Radiographic Imaging: It is frequently used in chest X-rays to detect small amounts of pleural effusion or pneumothorax that might not be visible in an upright or supine position.
  • Echocardiography: Placing a patient in the RLD position helps move the heart closer to the chest wall, allowing for improved acoustic windows, particularly when trying to visualize the left ventricle or mitral valve.
  • Abdominal Imaging: It helps in shifting bowel loops, which can obscure the visualization of the gallbladder, kidneys, or other retroperitoneal structures.
  • Procedural Sedation and Recovery: Often referred to as a "recovery position" in specific contexts, it helps maintain airway patency by allowing secretions to drain out of the mouth, reducing the risk of aspiration.

Comparison of Decubitus Positions

To understand why the Right Lateral Decubitus is chosen, it helps to compare it with other common decubitus positions. Each position serves a distinct purpose based on the clinical requirement.

Position Description Primary Diagnostic Use
Right Lateral Decubitus Patient lies on the right side. Visualizing free air or fluid on the left side of the chest/abdomen.
Left Lateral Decubitus Patient lies on the left side. Visualizing the heart better or free air/fluid on the right side.
Supine Patient lies flat on their back. General screening and trauma assessment.
Prone Patient lies face down. Specific surgical access or lung ventilation strategies.

⚠️ Note: Always ensure the patient is stabilized with pillows or bolsters if they are to remain in the Right Lateral Decubitus position for an extended duration to prevent pressure injuries and nerve impingement.

Technical Considerations for Imaging

When performing imaging in the Right Lateral Decubitus position, technicians must be precise with beam angulation and patient orientation. If the goal is to detect a pleural effusion, the patient is placed so that the side being examined is the "down" side. This allows the fluid to gravitate to the dependent portion of the thoracic cavity, where it is more easily identified against the chest wall. Conversely, if searching for free intraperitoneal air (pneumoperitoneum), the patient is often placed so that the potential air space is at the highest point.

Proper documentation is equally important. Radiographic films or digital images must be clearly marked as "Right Lateral Decubitus" to ensure that the interpreting radiologist understands the orientation of the anatomy. Failure to label correctly can lead to diagnostic errors, especially when distinguishing between various types of opacities or lucencies on a scan.

Patient Safety and Comfort

While the Right Lateral Decubitus position is standard, patient comfort and safety should never be compromised. Prolonged positioning can lead to complications such as nerve palsy or pressure sores. It is recommended to follow these guidelines:

  • Alignment: Keep the spine straight to prevent unnecessary strain on the lumbar vertebrae.
  • Padding: Use foam pads or pillows between the knees and under the head to ensure neutral alignment.
  • Monitoring: Continuously monitor respiratory status, especially in patients who are sedated or have underlying pulmonary conditions.
  • Assistance: Use mechanical lifts or sufficient staff when positioning elderly or bariatric patients to prevent injury.

⚠️ Note: In patients with severe respiratory distress, the lateral decubitus position should be utilized with extreme caution and continuous pulse oximetry monitoring to ensure the patient maintains adequate oxygen saturation.

Procedural Nuances and Best Practices

Mastering the Right Lateral Decubitus requires recognizing how gravity interacts with specific pathologies. For example, during an ultrasound-guided procedure, this position might be used to displace the liver or gallbladder into a more favorable position for needle entry. The clinician must have a clear understanding of the patient's anatomy to maximize the efficacy of this position. If the positioning is incorrect by even a few degrees, the target organ might move behind bony structures like the ribs, making the procedure significantly more difficult or even impossible.

Furthermore, medical professionals should communicate clearly with the patient throughout the process. Since the RLD position can feel vulnerable or disorienting, explaining the necessity of the position often helps the patient remain calm, which in turn leads to less patient movement and higher quality diagnostic results. In high-stakes environments like the ICU or the operating room, this level of communication is a critical component of high-quality patient care.

In summary, the Right Lateral Decubitus position is far more than a simple shift in orientation; it is a deliberate and essential tool in the clinician’s repertoire. Whether utilized to enhance the diagnostic yield of an X-ray, improve the clarity of an echocardiogram, or ensure patient safety during a procedure, the effective application of this position relies on a deep understanding of human anatomy and physics. By following standardized protocols, utilizing appropriate support for patient comfort, and ensuring clear labeling in medical imaging, healthcare providers can leverage this position to deliver more accurate diagnoses and safer, more efficient care. Mastery of these fundamentals is a hallmark of skilled clinical practice, ensuring that every patient receives the best possible diagnostic outcome.

Related Terms:

  • what is lateral decubitus position
  • left lateral decubitus definition
  • dorsal lateral decubitus positioning
  • left lateral decubitus abdomen xray
  • lateral decubitus position image
  • e left lateral decubitus position