Cleve

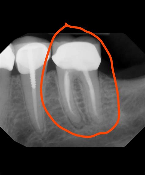
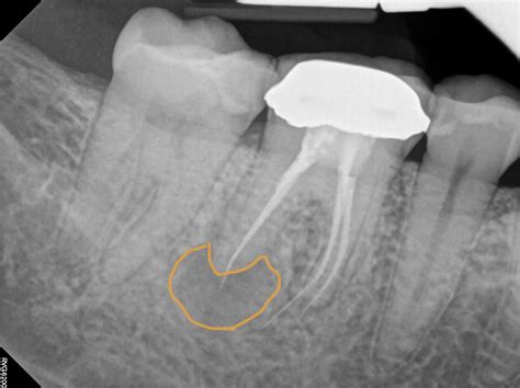
Root Abscess Pictures

Root Abscess Pictures

A root abscess, clinically known as a periapical abscess, is a painful condition that requires immediate dental attention. Many people search for root abscess pictures online to understand what this condition looks like, often because they are experiencing discomfort and are worried about the state of their oral health. Understanding the symptoms, causes, and visual indicators of a dental abscess is crucial for recognizing when a minor toothache has escalated into a serious infection that needs professional treatment.

What Exactly Is a Root Abscess?

A root abscess is a localized collection of pus caused by a bacterial infection at the root of a tooth. This infection typically occurs when bacteria enter the tooth through deep cavities, fractures, or failed dental work, reaching the pulp—the inner part of the tooth that contains blood vessels and nerves. As the body attempts to fight this infection, it sends white blood cells to the area, resulting in the formation of pus. If this pus cannot drain, it forms an abscess, leading to intense pain and potentially serious complications.

When searching for root abscess pictures, you will often notice a common visual sign: a small, pimple-like bump on the gums near the affected tooth, known as a fistula. While not all abscesses present this way, it is a hallmark sign that the body is trying to drain the infection.

Common Symptoms and Visual Indicators

Before an abscess becomes visually apparent, you will likely experience several uncomfortable symptoms. Recognizing these early warning signs can help you seek treatment before the condition worsens.

  • Severe, persistent toothache: This is often described as a throbbing, sharp, or gnawing pain that may radiate to the jaw, neck, or ear.
  • Sensitivity: Increased sensitivity to hot or cold temperatures.
  • Gum swelling: The gums near the affected tooth may appear red, swollen, or tender.
  • The "Pimple" on the gums: A small, bump on the gums (fistula) that may periodically release a foul-tasting fluid or pus.
  • Facial swelling: In advanced cases, the infection can cause swelling in the face, cheek, or neck.
  • Fever: A systemic reaction indicating the infection is spreading.

It is important to understand the progression of these symptoms, as they often correlate with what you might see in medical imagery regarding tooth infections.

Symptom Stage Key Clinical Observation
Early Stage Localized pain, slight sensitivity to percussion.
Intermediate Stage Increased pain, localized gum swelling, potential heat sensitivity.
Advanced Stage Fistula (pimples on gums), facial swelling, potential systemic fever.

Why You Should Not Ignore a Root Abscess

Searching for root abscess pictures can be alarming, but it is necessary to realize that a dental abscess will not heal on its own. Ignoring the symptoms or attempting to treat it with home remedies can lead to severe health issues. The infection can spread to the jawbone, surrounding soft tissues, and, in rare but extreme cases, to other parts of the body, including the bloodstream, which can become life-threatening.

Professional dental intervention is the only way to treat a root abscess effectively. A dentist will typically perform an X-ray to confirm the diagnosis and determine the extent of the infection. Treatment options generally include:

  • Incision and drainage: Making a small incision in the abscess to drain the pus.
  • Root canal treatment: Removing the infected pulp from the tooth and sealing the root canal to prevent further infection.
  • Tooth extraction: If the tooth is too damaged to be saved, it may need to be removed.
  • Antibiotics: Prescribed to help control the infection, particularly if it has spread or if you have a weakened immune system.

⚠️ Note: Antibiotics alone will not cure a root abscess. They are only used to manage the infection while the underlying cause—the infected tooth—is treated by a dental professional.

Preventing Future Infections

Maintaining excellent oral hygiene is the best defense against developing a root abscess. By preventing the conditions that allow bacteria to enter the tooth structure, you drastically reduce your risk. Consistent habits include:

  • Brushing twice daily: Use a fluoride toothpaste to strengthen tooth enamel.
  • Flossing daily: This removes plaque from between the teeth where a toothbrush cannot reach, preventing decay.
  • Regular dental check-ups: Visiting your dentist every six months allows for the early detection and treatment of cavities before they become deep enough to reach the pulp.
  • Limiting sugary foods: Bacteria feed on sugars and produce acids that erode tooth enamel, leading to cavities.

If you suspect you have a dental abscess, do not wait for the pain to subside or look for further root abscess pictures to compare your symptoms. Instead, contact a dentist immediately. Prompt action is the most effective way to save your tooth and prevent a localized infection from becoming a systemic medical emergency. Your dentist is equipped to provide the necessary treatment to relieve your pain and restore your oral health, ensuring you can return to your normal routine without the fear of worsening symptoms.

Related Terms:

  • aortic root abscess treatment
  • abscess on root of tooth
  • apical root abscess
  • cracked root tooth cause abscess
  • periapical abscess meaning
  • periapical abscess symptoms