Cleve

Root Canal After Care

Root Canal After Care

Undergoing a dental procedure can feel daunting, but understanding the steps you need to take once the anesthesia wears off is the best way to ensure a smooth recovery. Proper root canal after care is not merely a suggestion; it is a critical component of saving your tooth and preventing further infection. While the procedure itself is designed to relieve the pain caused by an infected tooth, the days immediately following the treatment require patience, diligence, and adherence to your dentist's post-operative instructions.

Understanding the Healing Process After a Root Canal

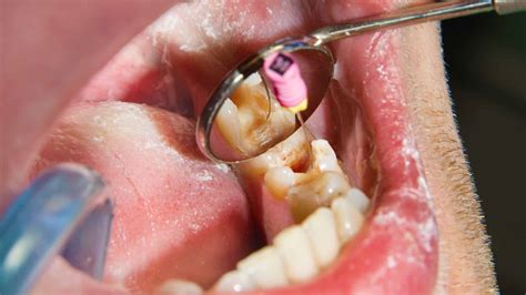
A root canal involves removing the infected pulp from inside your tooth, cleaning it, disinfecting it, and then filling and sealing the space. Because this is a surgical procedure, it is completely normal to experience some degree of sensitivity or mild discomfort as the area heals. Your body needs time to repair the tissues around the tooth, and your root canal after care routine is focused on minimizing irritation during this period.

Most patients can resume their normal activities almost immediately. However, it is essential to manage your expectations regarding pain and swelling. If you feel fine right after the procedure, that is great, but do not be alarmed if you notice tenderness the next day. This is a common part of the healing process and usually subsides within a few days.

Essential Root Canal After Care Tips

To ensure your recovery is as comfortable and swift as possible, follow these evidence-based strategies. Consistent root canal after care will protect your treated tooth and help you return to your normal routine faster.

  • Wait until numbness wears off: Do not eat or drink anything until the anesthesia has completely worn off. Because your mouth will be numb, you risk biting your tongue or cheek without realizing it.
  • Follow pain management instructions: Your dentist may recommend over-the-counter pain relievers like ibuprofen or acetaminophen. Follow the dosage instructions strictly. If stronger medication was prescribed, take it exactly as directed.
  • Stick to soft foods: For the first 24 to 48 hours, choose soft foods that require minimal chewing. Avoid crunchy, sticky, or extremely hot/cold foods that could irritate the treated area.
  • Maintain oral hygiene: Continue to brush and floss gently around the treated tooth. Keeping the area clean is vital to prevent secondary infections.
  • Avoid chewing on the treated tooth: Until your tooth is fully restored with a permanent filling or crown, try to chew on the opposite side of your mouth.

⚠️ Note: If you experience severe, throbbing pain that is not relieved by medication, or if you develop a fever or significant swelling, contact your dentist immediately, as these can be signs of a complication.

What to Eat and What to Avoid

Your diet during the initial phase of root canal after care plays a significant role in comfort. The goal is to avoid putting unnecessary stress on the sensitive tooth.

Recommended Foods Foods to Avoid
Yogurt and Smoothies Crunchy nuts and seeds
Mashed potatoes Sticky candies or gum
Soup (lukewarm) Hard crusty bread
Scrambled eggs Ice cubes or very hot coffee

Managing Discomfort and Swelling

It is common to have mild tenderness in the gum area around the treated tooth. This can sometimes be managed by placing a cold compress on the outside of your cheek for 10-15 minutes at a time during the first day. Keeping your head elevated while sleeping can also help reduce inflammation. If your dentist prescribed antibiotics, it is crucial to finish the entire course, even if you feel better before they are gone. Stopping early can allow the infection to return.

The Importance of Permanent Restoration

Many patients mistakenly believe that once the pain is gone, the treatment is finished. However, root canal after care is only one part of the journey. In most cases, a root-canalled tooth is more brittle and needs a permanent restoration—usually a crown—to protect it from fracture and ensure its long-term functionality. Avoiding this step can lead to the tooth breaking, rendering the initial root canal unsuccessful.

ℹ️ Note: If your dentist placed a temporary filling, it is vital to return for your follow-up appointment to have it replaced with a permanent restoration. A temporary filling is not designed to last for a long period and can leak, leading to re-infection.

When to Call Your Dentist

While minor discomfort is normal, certain signs indicate that you need to contact your dental professional. Pay close attention to your recovery and reach out if you experience any of the following:

  • An uneven bite, where the treated tooth feels "high" when you close your mouth.
  • An allergic reaction to medication, such as hives or rashes.
  • The temporary filling or crown comes out.
  • Pain that intensifies rather than subsiding after three days.
  • Swelling inside or outside the mouth that seems to be spreading.

Long-Term Success and Maintenance

Long-term root canal after care is identical to excellent general oral hygiene. Once the tooth is permanently restored, it requires the same care as your other natural teeth. Daily brushing, flossing, and regular professional dental cleanings are the cornerstones of keeping your treated tooth healthy for years to come. Remember that while a root canal cleans the inside of the tooth, it does not make the tooth immune to decay. Maintaining a healthy mouth through routine check-ups is the best way to safeguard your dental investment and ensure the longevity of the treated tooth.

By diligently following these after-care instructions, you can significantly improve your comfort level and ensure the success of your procedure. While the initial few days require attention to detail regarding food choices and pain management, the long-term result is a healthy, functioning tooth. Remember that your dentist is your best resource; if you ever feel that something is not right during your recovery, do not hesitate to reach out to their office for professional guidance. Taking these steps seriously will lead to a faster recovery and better overall dental health for the future.

Related Terms:

  • root canal after care instructions
  • recovery time for root canal
  • healing time for root canal
  • root canal treatment recovery time
  • Related searches root canal procedure
  • Baby Root Canal