Cleve

Root Canal Before And After

Root Canal Before And After

If you have been told that you need an endodontic procedure, you might feel a wave of anxiety. However, understanding the root canal before and after process is the best way to demystify the treatment and alleviate your fears. Far from the painful experience often depicted in pop culture, a modern root canal is a highly routine procedure designed to save your natural tooth, eliminate infection, and restore your oral health. By clearing out the diseased pulp and sealing the tooth, dentists can prevent the need for more invasive measures like extractions or implants.

What Exactly Happens During a Root Canal?

Dental examination

A root canal is essentially a deep cleaning of the internal structure of your tooth. When decay or trauma reaches the nerve (the pulp), it becomes inflamed or infected. If left untreated, this can lead to an abscess, severe pain, and potential bone loss in the jaw. The procedure involves removing the damaged pulp, disinfecting the internal canals, and filling them with a biocompatible material called gutta-percha.

Here is what you can expect throughout the treatment:

  • Diagnosis: Your dentist will take X-rays to determine the extent of the infection and ensure a root canal is the appropriate path.
  • Anesthesia: You will receive a local anesthetic to ensure the area is completely numb. Most patients report feeling no pain during the actual cleaning.
  • Cleaning: A small hole is made in the crown of the tooth, and the infected pulp is carefully removed.
  • Filling: The canals are shaped and sealed with a rubber-like material to prevent future bacterial invasion.
  • Restoration: Usually, a crown is placed over the tooth to provide structural integrity and protect it from fracturing.

💡 Note: While many patients worry about pain, the truth is that the root canal procedure actually relieves the pain caused by the infection, rather than causing it.

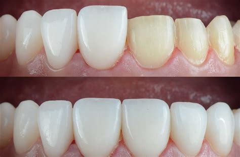
Comparing the Condition Before and After Treatment

Visualizing the root canal before and after transformation helps patients understand why this procedure is so beneficial. Before the procedure, the tooth is often compromised, sensitive, and actively fighting an infection. After the procedure, the tooth is structurally sound, infection-free, and aesthetically restored.

Feature Before Root Canal After Root Canal
Pain Level Severe, throbbing, or intermittent Minimal soreness; pain is eliminated
Tooth Function Difficulty chewing/biting Full functionality restored
Infection Status Active bacteria inside the pulp Sterile and sealed environment
Visual Appearance Possible discoloration or decay Natural-looking, often protected by a crown

Recovery and Post-Operative Care

Once the anesthetic wears off, it is normal to experience some mild discomfort or tenderness in the treated area for a few days. This is simply the body’s natural response to the procedure. To ensure the best results, you should follow your dentist’s post-treatment guidelines closely.

Effective recovery tips include:

  • Avoid chewing hard foods: Stick to soft foods for the first few days until the final crown is placed.
  • Maintain oral hygiene: Continue to brush and floss gently around the treated tooth to prevent new plaque buildup.
  • Manage discomfort: Over-the-counter anti-inflammatory medications are usually sufficient to manage any post-operative sensitivity.
  • Follow-up appointments: Never skip your follow-up visit, as your dentist needs to ensure the tooth is healing correctly and finalize the restoration.

Long-term Benefits of Saving Your Tooth

Opting for a root canal rather than an extraction is almost always the preferred clinical choice. Preserving your natural tooth structure is better for your jawbone health and the alignment of your surrounding teeth. When you look at the root canal before and after, the most significant difference is the longevity of your smile. A properly treated and crowned tooth can last a lifetime with consistent dental hygiene and regular check-ups.

💡 Note: If you notice persistent swelling or pain that does not subside after a week, contact your endodontist immediately, as this could indicate a rare complication that needs prompt attention.

Choosing the Right Professional

While many general dentists perform root canals, complex cases are often referred to an endodontist—a dentist who specializes specifically in treating the interior of the tooth. These specialists use advanced imaging, such as CBCT (Cone Beam Computed Tomography), to visualize the root anatomy with incredible precision. Ensuring that the treatment is thorough the first time is key to the long-term success of the procedure.

When you focus on the restorative outcome, the decision to undergo a root canal becomes an investment in your long-term health. By addressing the root cause of the discomfort, you stop the spread of infection and protect your overall dental architecture. The transformation from an infected, painful tooth to a pain-free, fully functional one is one of the most rewarding experiences in modern dentistry. With advanced technology and effective pain management, there is no reason to fear the process. If you are experiencing symptoms such as prolonged sensitivity to hot or cold, pain when biting, or localized swelling, contact your dentist to discuss whether a root canal is the right solution for your specific needs, and look forward to the relief that comes with restoring your dental health.

Related Terms:

  • pictures of infected root canal
  • next step after root canal
  • diagram of a root canal
  • root canal treatment stage 1
  • root canal treatment pictures
  • picture of a root canal