Cleve

Root Canal Crown

Root Canal Crown

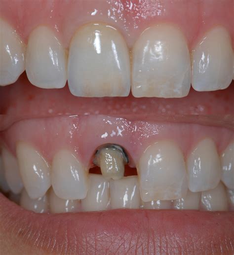
If you have recently undergone a root canal procedure, you might have heard your dentist emphasize the importance of getting a root canal crown shortly after. Many patients often ask why an additional procedure is necessary once the root canal itself is completed. The truth is that a root canal cleans out the infection, but it leaves the tooth vulnerable. Understanding the role of a crown in the restorative process is essential for ensuring your tooth remains functional and healthy for years to come. By sealing and protecting the treated area, the crown serves as the final, critical step in saving your natural tooth from extraction.

Why Is a Root Canal Crown Necessary?

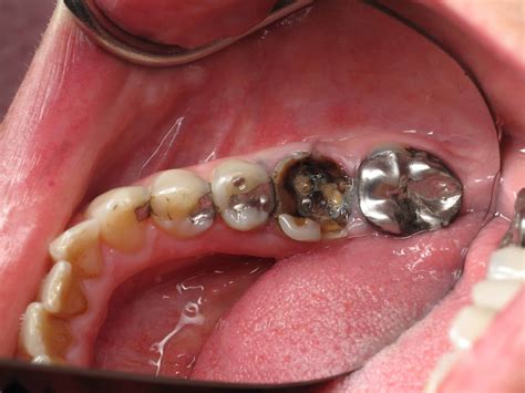
When a dentist performs a root canal, they remove the infected or inflamed pulp from inside the tooth. While this relieves pain and eliminates bacteria, it also compromises the structural integrity of the tooth. A tooth that has undergone a root canal is essentially "dead" because it no longer has a blood supply, making it brittle and prone to fracture over time.

Furthermore, because the dentist must remove a significant amount of tooth structure to access the inner chambers, the tooth is often weakened from the inside out. A root canal crown acts like a protective helmet, covering the entire visible portion of the tooth. It provides the necessary strength to withstand the forces of biting and chewing, preventing the tooth from cracking or splitting under pressure.

  • Protection: Prevents the brittle tooth from fracturing under biting forces.
  • Sealing: Acts as a barrier against bacteria, preventing future infections inside the root canals.
  • Durability: Restores the tooth to its original shape, size, and strength.
  • Aesthetics: Modern crowns can be color-matched to your natural teeth, ensuring a seamless smile.

The Procedure: What to Expect

The process of placing a crown usually occurs in two main phases. Once your endodontist has successfully finished the root canal, your general dentist will prepare the tooth for the permanent restoration. During your first visit for the crown, the dentist will:

  1. Prepare the tooth: They will file down the surface of the tooth to make room for the crown to fit snugly.
  2. Take an impression: Using digital scanners or traditional dental putty, the dentist creates a precise model of your tooth.
  3. Fit a temporary crown: You will wear a temporary cap to protect the tooth while the permanent one is being fabricated in a laboratory.
  4. Placement: On your second visit, the dentist will remove the temporary crown, check the fit of the permanent one, and cement it securely into place.

💡 Note: If you experience sensitivity or notice that your temporary crown feels loose, contact your dental office immediately to prevent contamination of the treated tooth.

Comparison of Crown Materials

Choosing the right material for your root canal crown depends on the location of the tooth and your specific aesthetic preferences. Below is a breakdown of common materials used in modern dentistry:

Material Best Used For Pros Cons
Zirconia Molars Extremely durable, natural look Can be abrasive to opposing teeth
Porcelain-Fused-to-Metal (PFM) Molars/Premolars Strong and reliable Dark line can be visible at the gum
All-Ceramic Front Teeth Superior aesthetics Less durable than metal-based options
Gold Alloy Back Teeth Longest lifespan, minimal wear Not aesthetically pleasing

Maintaining Your Restored Tooth

Once your root canal crown is placed, it is important to remember that although the crown itself cannot get a cavity, the tooth underneath is still susceptible to gum disease and decay at the gum line. Maintaining excellent oral hygiene is the best way to ensure the longevity of your restoration.

To keep your crown in optimal condition, consider the following habits:

  • Brush twice daily: Use non-abrasive toothpaste to keep the crown surface clean.
  • Floss diligently: Pay extra attention to the gum line around the crown to remove plaque buildup.
  • Avoid hard foods: Refrain from chewing ice, hard candies, or using your teeth to open packages.
  • Routine checkups: Visit your dentist every six months for professional cleanings and examinations.

⚠️ Note: If you grind your teeth at night, ask your dentist about a custom night guard to protect your crown from excessive wear and pressure.

Final Thoughts on Dental Restoration

Investing in a root canal crown is one of the most effective ways to preserve your natural smile. While the initial root canal treats the internal infection, the crown addresses the long-term structural needs of the tooth. By opting for this restorative path, you avoid the complications of a cracked tooth and the potentially higher costs of tooth replacement options like implants or bridges. With proper care, modern crowns can last for many years, providing you with both comfort and functionality. If you have recently had a root canal, prioritize scheduling your crown placement to ensure your tooth remains a healthy, permanent part of your dental anatomy.

Related Terms:

  • root canal cap
  • root canal without crown
  • root canal crown pain
  • root canal after crown
  • root canal crown fell out
  • root canal crown fell off