Cleve

Root Canal On Front Tooth

Root Canal On Front Tooth

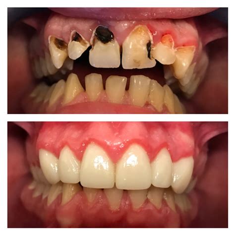
Discovering that you need a root canal on front tooth can be an unsettling experience, primarily because of the visibility of your smile. Many people associate root canal therapy with back molars, but performing this procedure on front teeth—known as incisors or canines—is actually a routine task for endodontists. The primary goal is to save your natural tooth, alleviate pain, and restore functionality, ensuring that your smile remains intact and aesthetically pleasing.

Why Does a Front Tooth Need a Root Canal?

A root canal becomes necessary when the soft tissue inside the tooth, called the pulp, becomes infected or inflamed. This often happens due to deep decay, repeated dental procedures, faulty crowns, or trauma to the face. Because front teeth have only one root and one canal, the procedure is often faster and less complex than it is for molars.

Common symptoms that indicate you might need treatment include:

  • Persistent, throbbing pain in the tooth.
  • Sensitivity to extreme temperatures (hot or cold) that lingers after the stimulus is removed.
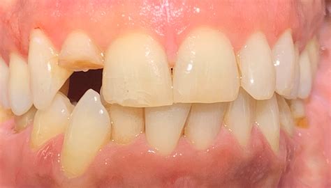
  • Discoloration or darkening of the tooth.
  • Tenderness or swelling in the gums near the affected tooth.
  • A pimple-like bump (abscess) appearing on the gums.

The Step-by-Step Procedure Explained

When you undergo a root canal on front tooth, the procedure follows a systematic approach designed to clean the interior of the tooth and seal it to prevent future infections. Here is how the process generally unfolds in a dental office:

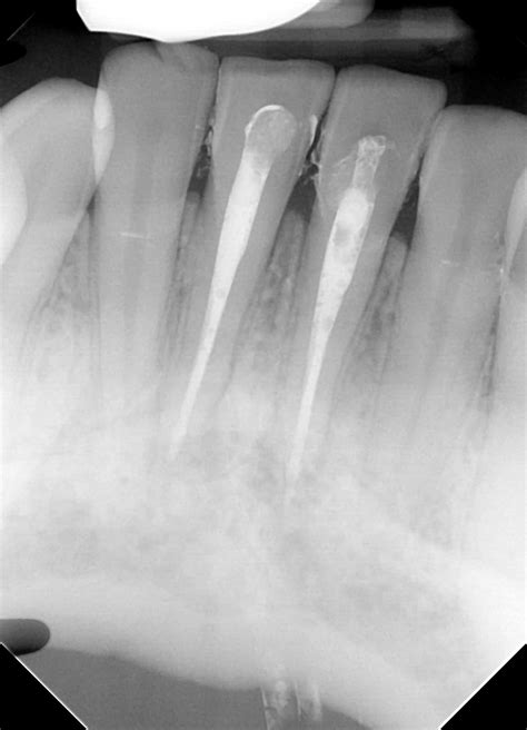
  1. Diagnosis and Anesthesia: Your dentist will take X-rays to visualize the internal structure of the tooth. A local anesthetic is administered to ensure the area is completely numb.
  2. Accessing the Pulp: A small hole is created on the back side of the front tooth to gain access to the pulp chamber. This keeps the front of the tooth intact for cosmetic purposes.
  3. Cleaning and Shaping: The infected pulp is carefully removed using specialized instruments. The canal is then cleaned and shaped to prepare it for a filling material.
  4. Filling and Sealing: The hollow canal is filled with a biocompatible material called gutta-percha. This seals the tooth to prevent bacteria from re-entering.
  5. Restoration: The access hole is sealed with a temporary or permanent filling. Often, a crown or veneer may be recommended later to improve the appearance and strength of the tooth.

💡 Note: While a front tooth root canal is usually less complex, you may still experience mild sensitivity for a few days following the procedure. Over-the-counter pain relievers are typically sufficient to manage any discomfort.

What to Expect: Recovery and Maintenance

Recovery after a root canal on front tooth is typically quick. Most patients return to their normal daily activities the next day. However, it is essential to follow specific aftercare guidelines to ensure the tooth remains healthy for years to come.

Timeframe What to Expect Recommended Action
First 24 Hours Numbness and minor tenderness. Avoid chewing on the treated tooth; eat soft foods.
First Week Slight soreness or mild swelling. Practice gentle oral hygiene; avoid sticky or hard foods.
Long Term Normal tooth function. Maintain regular brushing, flossing, and dental checkups.

Addressing Common Concerns

A major concern for patients is whether a root canal on front tooth will cause the tooth to turn dark or gray over time. While this can happen due to internal debris or the material used, modern techniques have significantly reduced the risk. If color changes do occur, your dentist can suggest cosmetic solutions such as internal bleaching, porcelain veneers, or a crown to match your natural tooth shade.

Additionally, patients often worry about the success rate of the procedure. Root canal therapy has a very high success rate, often exceeding 95%. When performed by a skilled professional, a treated front tooth can last a lifetime, provided it is properly maintained with good oral hygiene practices.

Choosing the Right Treatment Provider

When searching for a dental clinic, look for a practitioner who explains the procedure clearly and makes you feel comfortable. Whether you visit a general dentist or an endodontist (a specialist in root canals), the priority should be the preservation of your natural tooth structure. During your consultation, do not hesitate to ask about the potential for discoloration and the types of final restorations available to ensure your smile remains natural-looking.

Always keep in mind that avoiding treatment can lead to more severe complications, such as the spread of infection to surrounding teeth or even the jawbone. If you suspect you have an issue, seeking early intervention is the most effective way to minimize the complexity of the treatment and protect your smile’s aesthetics.

Taking care of your dental health is an investment in your overall well-being. By addressing a root canal on front tooth promptly, you effectively stop the pain and protect the integrity of your smile. With advancements in modern dentistry, the procedure is efficient, comfortable, and highly successful. Remember to prioritize consistent oral hygiene, including daily brushing and flossing, and keep up with your regular dental appointments. By staying proactive and following the professional advice provided by your dentist, you can ensure that your front teeth remain healthy, functional, and visually appealing for many years to come.

Related Terms:

  • root canal treatment front teeth
  • front tooth root canal cost
  • root canal bottom front tooth
  • root canal procedure front tooth
  • root canal front lower tooth
  • root canal treatment front tooth