Cleve

Sacral Dimpling In Newborn

Sacral Dimpling In Newborn

When you first hold your newborn baby, you likely spend time examining every tiny detail—from their little fingers and toes to the soft skin on their back. It is during this thorough inspection that many parents notice a small, shallow indentation just above the baby's gluteal crease. This feature is known as sacral dimpling in newborn infants, and it is a relatively common finding. While it might look like a simple aesthetic quirk, understanding what it is and when it warrants a medical evaluation is crucial for peace of mind. Most of the time, a sacral dimple is entirely harmless, but because of its location near the base of the spine, doctors take a systematic approach to ensure it is not linked to any underlying spinal abnormalities.

What is a Sacral Dimple?

A sacral dimple is a small depression or pit located in the skin at the base of the spine, specifically in the sacral region, just above the buttocks. These are present at birth, making them a congenital feature. For the vast majority of infants, these dimples are benign—meaning they are completely harmless and require no medical intervention. They are often referred to as "simple" or "benign" sacral dimples.

In most cases, the base of the dimple is visible, meaning you can easily see the bottom of the pit, and it is located squarely in the midline of the body, just above the gluteal crease. These characteristics typically indicate that the dimple is a normal variation of skin development and not a sign of a deeper structural issue.

Distinguishing Benign Dimples from High-Risk Dimples

The primary concern for pediatricians is determining whether the dimple is a "simple" dimple or a "complex" dimple. A complex dimple may be a marker for occult spinal dysraphism, a group of conditions where the spinal cord does not form correctly. Pediatricians use specific clinical criteria to differentiate between the two.

When assessing sacral dimpling in newborn babies, healthcare providers look for specific "red flags." If one or more of these markers are present, further diagnostic imaging is usually recommended to rule out spinal issues.

💡 Note: A pediatrician is the best person to evaluate your baby's dimple; do not attempt to probe or clean inside the dimple excessively, as this could cause irritation or infection.

Feature Simple (Benign) Dimple Complex (High-Risk) Dimple
Location Midline, low near the crease High up or off-center
Visibility Base is clearly visible Base is not visible (deep)
Size Small (usually less than 5mm) Large (greater than 5mm)
Associated Findings None Tufts of hair, skin tags, or discoloration

Risk Factors and Associated Skin Markers

Beyond the dimple itself, doctors look for other cutaneous (skin) markers in the same area that might suggest an underlying spinal abnormality. These markers are technically known as "lumbosacral skin lesions." If a baby has a dimple accompanied by one or more of the following, it is considered high-risk:

  • Hypertrichosis: A patch of excess hair or a "tuft" of hair growing over the dimple or the lower back.
  • Skin Tags: Small, flesh-colored growths of skin near the dimple.
  • Dermal Sinus Tract: An opening that appears to go deep into the skin, which may be difficult to see to the bottom of.
  • Hemangiomas: Red or purple birthmarks in the sacral area.
  • Asymmetry: The dimple is not located directly in the center of the spine.

If these markers are present, the risk of conditions like tethered cord syndrome—where the spinal cord is abnormally attached to the surrounding tissues—is increased. This is why a simple physical exam by a pediatrician or neonatologist is standard practice during the initial newborn checkup.

The Diagnostic Process: What to Expect

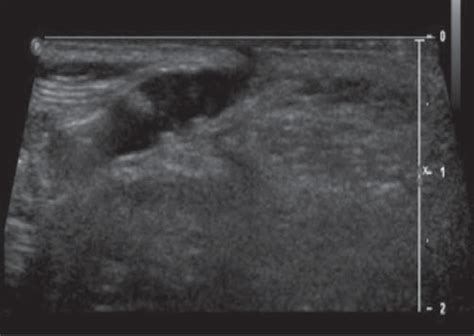
If your pediatrician determines that the sacral dimpling in newborn warrants investigation, they will likely order imaging. The goal of this imaging is to visualize the spinal cord and ensure there are no physical impediments or abnormalities.

The most common diagnostic steps include:

  • Spinal Ultrasound: This is the gold-standard first test for infants younger than 4 to 6 months. It is safe, non-invasive, does not use radiation, and provides a clear picture of the spinal cord and surrounding structures.
  • MRI (Magnetic Resonance Imaging): If the ultrasound is inconclusive, or if the baby is slightly older (as the bones in the lower spine harden, making ultrasound less effective), an MRI may be ordered. This provides a more detailed, high-resolution view of the spine.

Most babies with a benign dimple will not require these tests. However, if they are ordered, remember that they are done purely as a precaution to ensure your baby’s nervous system is developing perfectly.

💡 Note: The procedure for a spinal ultrasound is painless, and your baby will likely be swaddled and calmed during the process, making it a very low-stress experience for them.

When to Consult a Specialist

If your pediatrician finds any of the "red flag" markers mentioned earlier, they may refer you to a pediatric neurosurgeon. While this might sound alarming, it is standard procedure. A pediatric neurosurgeon specializes in the development of the spine and nervous system. They will perform a thorough assessment to determine if any intervention is necessary. In the vast majority of cases, even when a specialist is involved, they confirm that the findings are benign and that no treatment is needed. Being proactive in these situations ensures that if any minor issue does exist, it can be managed early on.

Understanding Long-Term Implications

Parents often worry if a sacral dimple will affect their child’s physical development, such as crawling or walking. It is important to know that simple sacral dimples do not cause pain, developmental delays, or physical limitations. They are purely a dermatological feature. Even in the rare event that a spinal abnormality is identified, early detection and management usually lead to excellent long-term outcomes, allowing children to live completely normal, healthy, and active lives.

Moving forward, simply keep an eye on the area during bath time to ensure the skin remains clean and clear of any unusual irritation. If you ever notice changes in the area—such as redness, drainage, or if you feel a hard bump under the skin that was not there before—you should always consult your pediatrician for a follow-up assessment.

Understanding the nature of a sacral dimple helps to transform a source of parental anxiety into a well-managed aspect of routine newborn care. Because most of these dimples are simple, benign features, they generally require nothing more than a standard checkup by your pediatrician to rule out any underlying structural concerns. By paying attention to the specific characteristics of the dimple—such as its location, depth, and the presence of associated skin markers—doctors can confidently provide you with the correct guidance. Ultimately, this common anatomical feature is rarely a cause for alarm, and the vast majority of infants grow up completely unaffected by its presence. Keeping your healthcare provider involved is the best way to ensure your child remains healthy as they reach all of their important developmental milestones.

Related Terms:

  • sacral dimple in newborn photo
  • sacral dimple without a base
  • sacral dimple in newborn causes
  • closed sacral dimple newborn
  • sacral dimple newborn spina bifida
  • sacral dimple pictures baby