Cleve

Severe Aortic Stenosis

Severe Aortic Stenosis

The human heart is a complex, tireless engine that relies on four primary valves to maintain a unidirectional flow of oxygen-rich blood throughout the body. Among these, the aortic valve acts as the critical gateway between the left ventricle and the aorta. When this valve becomes narrowed or constricted, a condition known as Severe Aortic Stenosis develops, significantly impeding blood flow and forcing the heart to work exponentially harder to meet the body's metabolic demands. Understanding the implications, symptoms, and treatment pathways for this condition is vital, as early intervention often dictates the long-term prognosis for affected patients.

Understanding the Mechanics of Severe Aortic Stenosis

Illustration of a heart with a narrowed aortic valve

At its core, Severe Aortic Stenosis occurs when the aortic valve leaflets stiffen, thicken, or fuse together, often due to calcium deposits. In a healthy heart, the valve opens fully during contraction to allow blood to exit the heart. In a stenotic state, the opening is severely restricted, creating a pressure gradient between the left ventricle and the aorta. Over time, this chronic overexertion leads to left ventricular hypertrophy, where the heart muscle thickens to compensate for the resistance, eventually risking heart failure if left unaddressed.

Common Symptoms and Warning Signs

Patients often live for years with mild or moderate stenosis without significant symptoms. However, as the narrowing reaches the “severe” classification, the heart can no longer compensate for the obstruction. The classic triad of symptoms associated with this condition includes:

  • Exertional Chest Pain (Angina): A feeling of pressure or tightness during physical activity.
  • Syncope: Episodes of fainting or dizziness, often occurring during or immediately after exercise.
  • Dyspnea: Shortness of breath, particularly during exertion or when lying flat.
  • Fatigue: A general, overwhelming sense of exhaustion due to reduced cardiac output.

Diagnostic Approaches

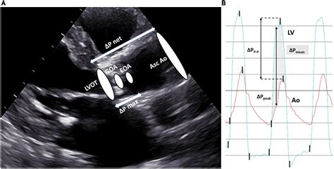
Physicians typically diagnose Severe Aortic Stenosis through a combination of physical examinations and advanced imaging technologies. The most common diagnostic tool is the echocardiogram, which provides a real-time visualization of the valve’s movement and measures the severity of the obstruction.

Diagnostic Method What it Measures
Transthoracic Echocardiogram (TTE) Valve area, pressure gradient, and left ventricular function.
Cardiac Catheterization Direct pressure measurements inside the heart chambers.
Cardiac MRI or CT Detailed structural anatomy and extent of valve calcification.

⚠️ Note: If you experience unexplained fainting or sudden onset chest pain, seek immediate medical attention, as these symptoms in the context of known valve disease require urgent clinical evaluation.

Treatment Pathways: Surgical vs. Minimally Invasive

Once a diagnosis of Severe Aortic Stenosis is confirmed, the focus shifts to restoring proper blood flow. Treatment is generally reserved for symptomatic patients or those with evidence of declining heart function. The two primary surgical approaches are:

  • Surgical Aortic Valve Replacement (SAVR): The traditional approach involving open-heart surgery to remove the damaged valve and replace it with a mechanical or biological prosthetic.
  • Transcatheter Aortic Valve Replacement (TAVR): A less invasive procedure where a new valve is delivered via a catheter, usually through the femoral artery in the leg, suitable for patients at varying levels of surgical risk.

The Importance of Ongoing Monitoring

Even for patients who are not immediately eligible for surgery, active surveillance is essential. Regular appointments with a cardiologist allow for the monitoring of the pressure gradient and the assessment of heart function over time. Lifestyle modifications, such as managing blood pressure and maintaining a heart-healthy diet, play a supportive role, though they cannot reverse the structural calcification of the valve itself.

💡 Note: Always consult with a multidisciplinary "Heart Team," including both interventional cardiologists and cardiac surgeons, to determine the most appropriate treatment path based on your specific anatomy and overall health status.

Recovery and Long-Term Outlook

Following intervention, most patients report a significant improvement in their quality of life and exercise tolerance. While recovery time depends on the chosen procedure—with TAVR generally offering a shorter hospital stay—long-term follow-up remains a cornerstone of care. Patients with mechanical valves may require lifelong blood-thinning medication, while those with bioprosthetic valves will need regular imaging to ensure the integrity of the new valve.

Managing this condition effectively requires a balance of clinical vigilance and patient awareness. By recognizing the early warning signs of Severe Aortic Stenosis and engaging with a dedicated cardiac care team, patients can mitigate the risks of severe heart failure and improve their overall life expectancy. While the diagnosis may feel overwhelming, the advancements in modern cardiology have transformed the landscape of treatment, offering viable options that cater to patients of various ages and health backgrounds. Staying informed and adhering to a structured follow-up plan are the most powerful tools a patient has in their journey toward maintaining cardiovascular health and vitality.

Related Terms:

  • severe aortic stenosis symptoms
  • severe aortic stenosis life expectancy
  • severe aortic stenosis treatment
  • severe aortic stenosis gradient
  • severe aortic stenosis icd
  • severe aortic stenosis causes