Cleve

Severe Bilateral Foraminal Stenosis

Severe Bilateral Foraminal Stenosis

Receiving a diagnosis of Severe Bilateral Foraminal Stenosis can be an overwhelming experience, often accompanied by chronic pain and uncertainty about your physical future. This condition, which occurs when the small openings (foramina) in your spine narrow significantly on both sides, can compress the exiting nerve roots. When this compression becomes severe, it often leads to debilitating symptoms that affect your quality of life. Understanding the anatomical nature of this condition is the first step toward reclaiming your comfort and mobility. By exploring the root causes, diagnostic processes, and treatment pathways available today, patients can make informed decisions to manage their health effectively.

Understanding the Anatomy of Your Spine

The human spine is a complex structure composed of vertebrae, discs, and nerves. The foramina are small, bony portals located on the left and right sides of each vertebral level. These spaces act as gateways for the nerve roots to exit the spinal cord and travel to your limbs and organs. When we speak of Severe Bilateral Foraminal Stenosis, we are describing a scenario where both the left and right openings are narrowed to a point that leaves very little room for the nerve roots to pass through without being pinched.

The narrowing is typically caused by age-related degeneration. As the spine ages, several factors contribute to this "clogging" of the foraminal tunnels:

  • Osteophytes (Bone Spurs): The body’s attempt to stabilize the spine often results in bony growths that protrude into the canal space.
  • Disc Bulging or Herniation: As discs lose hydration, they may lose height or bulge outward, directly encroaching on the foraminal opening.
  • Facet Joint Hypertrophy: The joints connecting the vertebrae can enlarge due to arthritis, taking up space meant for the nerves.
  • Ligamentum Flavum Thickening: Over time, the ligaments that support the spine can thicken and stiffen, further narrowing the available space.

Recognizing the Symptoms of Severe Foraminal Stenosis

Because the condition is bilateral, patients often feel symptoms on both sides of the body, though the severity may vary. The most common indicators that you are dealing with significant nerve compression include:

  • Radiculopathy: Sharp, electric-shock-like pain that travels from the back down into the buttocks, legs, or arms.
  • Numbness and Tingling: A persistent "pins and needles" sensation (paresthesia) in the extremities.
  • Muscle Weakness: Difficulty gripping objects, walking, or maintaining balance due to disrupted nerve signals.
  • Positional Pain: Increased discomfort when standing or walking, often relieved by sitting or leaning forward (which temporarily opens the foraminal spaces).
Symptom Category Typical Presentation Impact
Sensory Numbness, burning, tingling Reduced sensation in extremities
Motor Weakness, atrophy Difficulty with fine motor skills
Functional Activity intolerance Limited ability to stand or walk long distances

⚠️ Note: If you experience sudden loss of bowel or bladder control, or extreme weakness in both legs, seek emergency medical care immediately, as these may be signs of Cauda Equina Syndrome.

Diagnostic Procedures

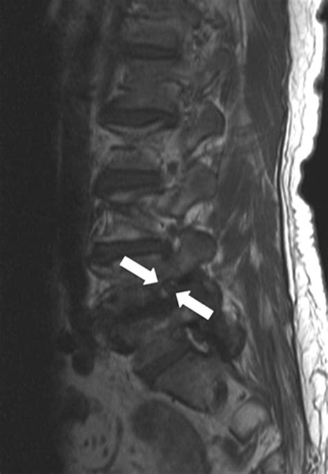
To confirm Severe Bilateral Foraminal Stenosis, medical professionals rely on advanced imaging and clinical evaluation. Physical examinations typically focus on testing reflexes, muscle strength, and dermatomal sensitivity to identify which nerve roots are being compromised. Once a clinical suspicion is formed, imaging is utilized to provide a roadmap of the spinal canal.

The gold standard for diagnosis is an MRI (Magnetic Resonance Imaging) scan. Unlike X-rays, which only show bone, an MRI provides a detailed cross-sectional view of soft tissues, nerves, and discs. It allows the surgeon to visualize the exact degree of narrowing at each level of the spine. In cases where an MRI is not possible, a CT myelogram may be used to see how the spinal fluid flows around the nerves.

Treatment Pathways

Treatment for this condition is generally tiered, starting with conservative management before moving toward surgical intervention. For many, a combination of lifestyle adjustments and targeted therapies can provide significant relief.

Conservative Management

  • Physical Therapy: Focused on core stabilization and “opening” the neural pathways through specific flexion exercises.
  • Anti-inflammatory Medications: Non-steroidal anti-inflammatory drugs (NSAIDs) to reduce swelling around the affected nerve roots.
  • Epidural Steroid Injections: Minimally invasive procedures that deliver anti-inflammatory medication directly into the epidural space to quiet the nerve irritation.

Surgical Options

When conservative methods fail to provide adequate pain relief or when there is progressive neurological deficit (loss of strength or reflex), surgery may be recommended. The goal of surgery is decompression—physically removing the bone spurs or disc material that is squeezing the nerve. Modern techniques like micro-decompression or minimally invasive lumbar decompression (MILD) allow surgeons to clear the foraminal path with smaller incisions, less muscle damage, and faster recovery times.

💡 Note: Always consult with a board-certified spine surgeon to discuss whether you are a candidate for minimally invasive techniques, as your specific anatomy will dictate the safest surgical approach.

Managing Life with Spinal Stenosis

Living with chronic spinal conditions requires a proactive approach to body mechanics. Adjusting your daily routine can prevent further irritation of the nerves. Ergonomic workstations, proper lifting techniques, and low-impact cardiovascular exercises like swimming or cycling can help maintain spinal health without putting excessive load on the vertebrae. Consistent communication with your healthcare provider is vital to ensure that your treatment plan evolves alongside your symptoms.

Taking control of your health when facing a diagnosis like Severe Bilateral Foraminal Stenosis involves patience, education, and a disciplined approach to physical therapy. While the diagnosis is serious, modern medical advancements offer numerous pathways to reduce pain and restore your functional independence. By focusing on accurate diagnosis, adhering to prescribed therapeutic exercises, and exploring surgical options only when necessary, you can effectively manage the limitations imposed by your spine and improve your overall quality of life. Always prioritize listening to your body’s signals and maintaining open dialogue with your medical team to ensure the best possible long-term outcomes.

Related Terms:

  • severe neural foraminal narrowing bilaterally
  • severe bilateral foraminal narrowing surgery
  • severe bilateral neural foraminal narrowing
  • severe bilateral neural foramen narrowing
  • severe bilateral foraminal stenosis surgery
  • bilateral foraminal stenosis treatment options