Cleve

Shattered Talus Bone

Shattered Talus Bone

Suffering a shattered talus bone is a serious medical event that can significantly impact your mobility and long-term joint health. The talus is a uniquely shaped bone that sits between your shinbone (tibia), fibula, and heel bone (calcaneus), forming the foundation of your ankle joint. Unlike many other bones in the body, the talus lacks a robust direct blood supply, making it notoriously difficult to heal after a severe fracture. When this bone is shattered—often referred to in medical terms as a comminuted fracture—it requires immediate orthopedic intervention and often complex surgical reconstruction to restore proper alignment and function.

Understanding the Talus Bone Anatomy

The talus plays a crucial role in transferring your body weight from the leg to the foot. Because it is covered in cartilage on most of its surfaces, it acts as a smooth hinge for ankle movement and allows for side-to-side rotation of the foot. When a shattered talus bone occurs, the integrity of these smooth surfaces is compromised. The complexity of this injury arises not only from the bone breakage but from the potential damage to the surrounding blood vessels and ligaments that are essential for the bone’s viability.

Common Causes of a Shattered Talus

Fractures of this magnitude are rarely the result of minor mishaps. Because the talus is protected by heavy ligaments and the surrounding bones, it requires a significant amount of force to break it into multiple pieces. Common scenarios include:

  • High-impact motor vehicle accidents: Often caused by the dashboard slamming into the foot during a crash.
  • Falls from significant heights: Landing directly on the feet can drive the heel bone up into the talus, causing it to shatter.
  • Extreme sports: Snowboarding, downhill mountain biking, and skydiving are activities where high-velocity impacts occur.

Symptoms and Initial Warning Signs

The immediate aftermath of a shattered talus bone is unmistakable. Patients typically experience agonizing pain, swelling that spreads across the ankle, and an inability to bear any weight on the affected limb. Other signs include:

  • Visible deformity or misalignment of the ankle.
  • Numbness or tingling in the foot (potentially indicating nerve pressure).
  • Extensive bruising, often appearing within hours of the injury.
  • Cold or pale foot, suggesting compromised circulation.

Diagnostic Procedures

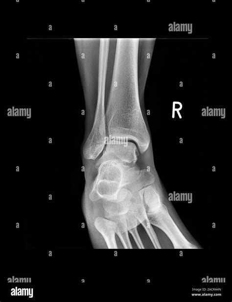
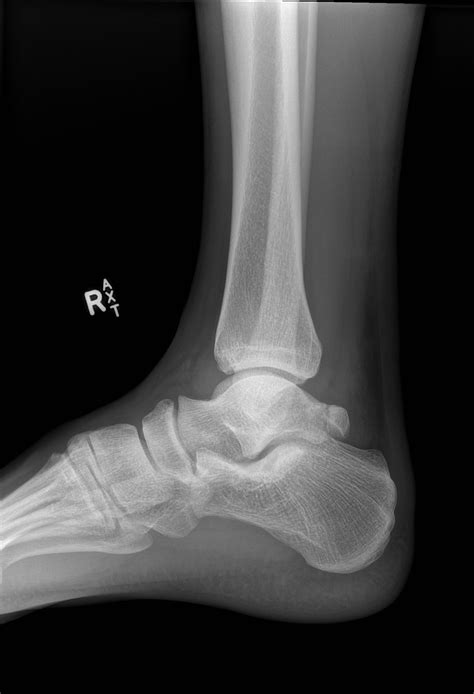
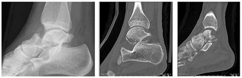
To determine the severity of a shattered talus bone, orthopedic surgeons rely on high-resolution imaging. Standard X-rays provide the initial view, but they are rarely enough to see the full extent of a comminuted fracture. A CT scan is almost always required to map out the fragments in 3D, allowing the surgeon to plan the reconstruction. MRI scans may also be used to evaluate the health of the soft tissues and the status of the blood supply to the bone fragments.

Diagnostic Tool Purpose in Talus Injury
X-Ray Initial assessment of major displacements.
CT Scan Detailed mapping of bone fragments and joint surface damage.
MRI Evaluating ligament damage and blood flow status.

⚠️ Note: If you suspect a major ankle injury, keep the foot elevated and immobilized, and seek emergency medical care immediately to prevent further vascular damage.

Surgical Treatment and Reconstruction

Because the talus relies on a delicate network of blood vessels, surgery for a shattered talus bone is highly specialized. The surgeon must carefully navigate the area to avoid further damaging the remaining blood supply. The goals of surgery are to:

  1. Bring the bone fragments back into their anatomical position (reduction).
  2. Use internal fixation devices, such as small plates and specialized screws, to hold the bone together while it heals.
  3. Restore the smooth contours of the joint surface to prevent future arthritis.

The Long Road to Recovery

Recovery is a marathon, not a sprint. Following surgery, patients are typically placed in a non-weight-bearing cast or boot for several weeks. Physical therapy begins as soon as the surgeon deems it safe, focusing on gentle range-of-motion exercises to prevent stiffness. Because of the risk of osteonecrosis (bone death due to lack of blood supply), doctors will monitor the healing process with frequent follow-up imaging for many months.

💡 Note: Smoking significantly delays bone healing and increases the risk of complications; quitting is highly recommended during the recovery phase.

Potential Long-Term Complications

Even with expert treatment, a shattered talus bone carries a high risk for post-traumatic arthritis. Because the talus is almost entirely covered in articular cartilage, any disruption to that surface can lead to chronic pain and stiffness over time. In some cases, if the bone does not heal properly or if the blood supply is permanently disrupted, additional procedures such as an ankle fusion or ankle replacement may be necessary in the future to manage chronic pain.

Rehabilitation Strategies

Successful rehabilitation depends on patient compliance with weight-bearing restrictions. Patients will usually transition through the following phases:

  • Immobilization: Total rest and non-weight bearing to allow the initial healing of bone fragments.
  • Gentle Range of Motion: Focused movements to prevent scar tissue formation around the ankle joint.
  • Strengthening: Rebuilding the muscles of the calf and foot to support the joint.
  • Gait Training: Learning to walk with a normal pattern using assistive devices before transitioning to full weight-bearing.

A shattered talus bone represents one of the most challenging orthopedic injuries to treat, requiring a blend of precise surgical skill and diligent post-operative care. While the process of healing can be lengthy and demanding, early diagnosis and specialized surgical intervention significantly improve the chances of restoring mobility and managing long-term pain. Through consistent physical therapy and close monitoring by your medical team, it is possible to regain a functional level of activity, though patience remains the most important component of the recovery journey. As you progress, always communicate openly with your physician regarding your pain levels and functional goals to ensure that your treatment plan is adjusted for your unique recovery path.

Related Terms:

  • closed fracture of talus
  • fractured talus recovery time
  • closed treatment of talus fracture
  • talus fracture signs and symptoms
  • talus fracture what is causes
  • closed fracture of left talus