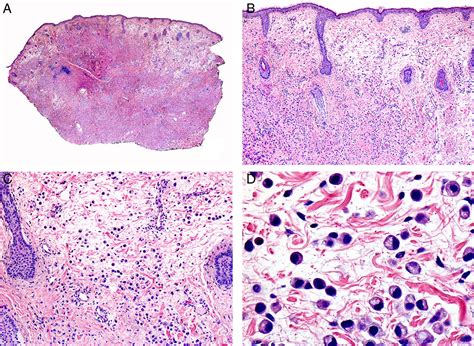
Signet ring carcinoma is a rare and aggressive form of cancer characterized by the unique appearance of its cells under a microscope. These cancer cells contain large vacuoles of mucin that push the cell nucleus to the periphery, creating a distinct shape that resembles a signet ring—a type of ring traditionally used to seal documents with wax. While it can occur in various parts of the body, it is most frequently diagnosed in the gastrointestinal tract, particularly the stomach.
Understanding Signet Ring Carcinoma

Unlike other types of adenocarcinoma, signet ring carcinoma is known for its tendency to infiltrate surrounding tissues rapidly. The mucin-producing nature of these cells allows them to spread through the walls of the affected organ and into the lymphatic system or the peritoneal cavity (the space within the abdomen). Because the cells do not always form a distinct, solid mass, this cancer can be more challenging to detect during routine screenings like endoscopies, as it may present as a thickening of the organ wall rather than a clearly defined tumor.
Primary Locations and Incidence
While the stomach is the most common site for this diagnosis, it can manifest elsewhere. Understanding where this cancer originates is crucial for diagnosis and staging.
- Stomach (Gastric): The most common site. It is often associated with a worse prognosis compared to other gastric cancers due to its aggressive, diffuse nature.
- Colon and Rectum: Colorectal signet ring cell carcinoma is rarer but generally carries a poorer prognosis than conventional colorectal adenocarcinoma.
- Breast: Though rare, this specific histological subtype can occur within the breast tissue.
- Bladder and Lung: Even rarer, these sites can occasionally harbor this aggressive cell type.
Common Symptoms to Monitor
Symptoms often depend heavily on the location of the tumor. Because this cancer is often diffuse, symptoms may not appear until the disease has progressed significantly.
| Location | Common Symptoms |
|---|---|
| Stomach | Abdominal pain, unexplained weight loss, difficulty swallowing, persistent indigestion, feeling full after eating very little. |
| Colon | Changes in bowel habits, blood in stool, abdominal cramping, fatigue due to anemia. |
| General | Persistent nausea, vomiting, unexplained fatigue, and abdominal swelling. |
⚠️ Note: These symptoms are often non-specific and can be caused by many other less serious conditions. However, persistent symptoms should always be evaluated by a healthcare professional to rule out malignancies.
Diagnostic Procedures
Diagnosing signet ring carcinoma requires a combination of imaging and tissue analysis. Because the cells can infiltrate tissue layers diffusely, imaging tests alone are often insufficient.
- Endoscopy/Colonoscopy: Allows doctors to visualize the lining of the stomach or colon and take biopsies of suspicious areas.
- Biopsy and Histopathology: This is the gold standard for diagnosis. A pathologist examines tissue samples under a microscope to identify the characteristic signet ring cells.
- Computed Tomography (CT) Scans: Used to stage the cancer and determine if it has spread to other organs or lymph nodes.
- Endoscopic Ultrasound (EUS): Particularly useful for gastric cases, as it helps determine the depth of the tumor invasion into the stomach wall.
Treatment Approaches
Treatment for signet ring carcinoma is highly personalized based on the stage, location, and the patient’s overall health. Because of the aggressive nature of these cells, a multi-modal approach is typically required.
Surgical Intervention
Surgery is often the primary treatment if the cancer is localized. Depending on the location, this may involve removing a portion or the entirety of the affected organ (such as a gastrectomy for stomach cancer) and surrounding lymph nodes.
Chemotherapy and Targeted Therapy
Chemotherapy is frequently used either before surgery (neoadjuvant) to shrink the tumor or after surgery (adjuvant) to eliminate remaining microscopic cancer cells. Targeted therapies may also be explored depending on the genetic profile of the cancer cells, though this is an evolving area of oncology research.
💡 Note: The therapeutic plan is often managed by a multidisciplinary team, including oncologists, surgeons, and radiologists, to ensure comprehensive care.
Prognosis and Factors Affecting Outcomes
The prognosis for patients with signet ring carcinoma is generally guarded. This is primarily because the cancer is often diagnosed at a later stage due to its subtle early presentation and invasive nature. However, it is essential to remember that these are statistical averages. Individual outcomes vary significantly based on:
- Stage at Diagnosis: Early detection is the single most significant factor for survival.
- Overall Health: The patient’s physical fitness and ability to tolerate aggressive treatments like chemotherapy and surgery.
- Genetic Factors: Certain mutations or molecular characteristics of the tumor can influence how well it responds to different therapies.
Support and Coping
Receiving a diagnosis of such an aggressive malignancy can be overwhelming. Engaging with support systems is just as important as the physical treatment. Patients are encouraged to seek support groups, consult with oncology social workers, and maintain open communication with their healthcare team to manage both physical symptoms and emotional well-being throughout the treatment process.
Navigating a diagnosis of signet ring carcinoma requires vigilance, advanced diagnostic capabilities, and a comprehensive treatment plan tailored to the individual. While this subtype of cancer is recognized for its aggressive, infiltrative behavior and potential for rapid spread, medical science continues to advance in surgical techniques and systemic therapies. Early recognition of symptoms, prompt medical evaluation, and adherence to multidisciplinary treatment pathways remain the most effective tools for managing this condition. Patients should maintain close contact with their medical team, ask detailed questions about their specific diagnosis, and prioritize their overall health and support structures while undergoing treatment.
Related Terms:
- metastatic signet ring cell carcinoma
- what is signet ring cancer
- signet ring cell colon cancer
- signet ring cell carcinoma causes
- invasive signet ring cell carcinoma
- signet ring cell carcinoma genetic