Cleve

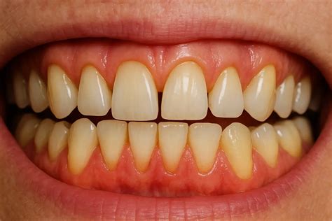
Signs Of Receding Gums

Signs Of Receding Gums

Have you ever looked in the mirror and noticed that your teeth seem to be getting longer? While it might seem like a natural part of aging, it is often one of the most prominent signs of receding gums. Gum recession is a condition where the tissue surrounding your teeth pulls back or wears away, exposing more of the tooth or its root. Because this process happens slowly, many people do not realize it is happening until they experience tooth sensitivity or aesthetic concerns. Understanding the early indicators of this condition is crucial for preserving your oral health and preventing further complications like tooth loss.

What Are the Early Signs of Receding Gums?

Identifying gum recession early can save you from complex dental procedures down the road. The condition rarely happens overnight; instead, it progresses through subtle changes in your mouth. Being vigilant about your dental health during daily brushing can help you catch these changes before they become severe.

Common symptoms include:

  • Increased tooth sensitivity: If hot or cold drinks cause sharp pain, it is often because the protective enamel of the root is exposed.
  • Visible tooth elongation: You might notice the teeth appear longer than they used to, as the gum line moves away from the crown.
  • Notched areas at the gum line: You may feel a small "dent" or groove near where the gum meets the tooth.
  • Bleeding or swollen gums: Especially after brushing or flossing, inflammation is a major red flag.
  • Loose teeth: As the gums pull away, the structural support for the teeth weakens, which can lead to movement.

⚠️ Note: If you notice any of these signs, avoid aggressive brushing, as it can worsen the recession by further damaging delicate tissue.

Common Causes of Gum Recession

To address the signs of receding gums, it is essential to understand why this occurs in the first place. Often, a combination of lifestyle habits and biological factors contributes to the condition. By identifying the root cause, you can make necessary adjustments to your daily routine.

The following factors are frequently responsible:

Factor Impact on Gums
Aggressive Brushing Wears down the protective enamel and pushes gums away from the base.
Periodontal Disease Bacterial infections destroy gum tissue and supporting bone.
Genetics Some people are born with thinner or more fragile gum tissue.
Tobacco Use Smoking and vaping restrict blood flow to the gums, impeding healing.
Teeth Grinding Excessive force on the teeth can shift the gums and loosen the teeth.

How to Prevent Further Recession

Once you have identified the signs of receding gums, you should focus on preventative maintenance. While you cannot "grow back" gum tissue that has already receded, you can certainly halt the progression. The most effective approach involves a mix of professional care and improved home hygiene.

1. Switch to a Soft-Bristled Toothbrush

Many people believe that harder bristles clean better, but in reality, medium or hard bristles are highly abrasive. Using a soft-bristled brush protects your enamel and prevents irritation of the gum line. When brushing, use gentle, circular motions rather than harsh horizontal scrubbing.

2. Maintain Consistent Oral Hygiene

Daily flossing is non-negotiable. Plaque buildup between the teeth creates pockets where bacteria thrive, which eventually leads to inflammation and recession. By keeping these areas clean, you minimize the risk of periodontal disease.

3. Address Teeth Grinding

If you wake up with a sore jaw or headaches, you might be grinding your teeth at night (bruxism). Ask your dentist about a custom-fitted night guard to protect your teeth and gums from the stress of clenching.

4. Regular Professional Cleanings

Even with perfect home care, tartar can build up in places a toothbrush cannot reach. Professional dental cleanings remove this hardened bacteria, preventing the chronic inflammation that causes gums to recede.

💡 Note: Always consult with a dental professional before starting any new treatment plan, especially if you suspect underlying periodontitis.

When to See a Professional

While minor issues can be managed with better hygiene, certain signs of receding gums require immediate intervention. If you notice persistent bad breath, deep pockets forming between your teeth and gums, or teeth that feel loose, you should schedule an appointment immediately. A dentist can evaluate the severity of the recession using a periodontal probe and determine if you require specialized treatments, such as scaling and root planing, or, in more advanced cases, gum grafting surgery.

Ignoring these symptoms can lead to more than just tooth sensitivity. As the gums recede, the roots of your teeth lose protection against decay and structural damage. Over time, the bone supporting your teeth may also start to degrade. By keeping a close watch on your mouth and responding to the early indicators of trouble, you can protect your smile for years to come. Remember that consistent, gentle oral care and regular checkups remain your best defense against gum-related issues. If you are ever in doubt about the health of your gums, do not hesitate to seek an expert opinion to keep your oral health in its best possible condition.

Related Terms:

  • receding gum on capped tooth
  • extreme receding gums
  • gums starting to recede
  • receding gums on bottom teeth
  • early signs of gum recession
  • pictures of receding gum lines